购物车
  • 全部删除
  • TargetMol
    您的购物车当前为空

Goat Anti-Rabbit IgG H&L Secondary Antibody-HRP

一键复制产品信息
Rating icon 还可以
产品编号 TMAB-02008H
别名 Immunoglobulin G, Goat Anti-Rabbit IgG H&L (HRP)

Goat Anti-Rabbit IgG H&L Secondary Antibody-HRP 是一种 HRP-conjugated Goat 抗体,靶向 IgG H&L。Goat Anti-Rabbit IgG H&L Secondary Antibody-HRP 可用于 ELISA,IHC-F,IHC-P,WB。

Goat Anti-Rabbit IgG H&L Secondary Antibody-HRP

Goat Anti-Rabbit IgG H&L Secondary Antibody-HRP

一键复制产品信息
Rating icon 还可以
产品编号 TMAB-02008H 别名 Immunoglobulin G, Goat Anti-Rabbit IgG H&L (HRP)

Goat Anti-Rabbit IgG H&L Secondary Antibody-HRP 是一种 HRP-conjugated Goat 抗体,靶向 IgG H&L。Goat Anti-Rabbit IgG H&L Secondary Antibody-HRP 可用于 ELISA,IHC-F,IHC-P,WB。

规格价格库存数量
100 μL
¥ 175
5日内发货
1 mL
¥ 1,190
5日内发货
大包装 & 定制
加入购物车
TargetMol 的所有产品仅用作科学研究或药证申报,不能被用于人体,我们不向个人提供产品和服务。请您遵守承诺用途,不得违反法律法规规定用于任何其他用途。
实验操作小课堂
常见问题解答
查看更多
选择批次:
浓度:2.0 mg/mL
联系我们获取更多批次信息

产品介绍

生物活性
产品描述
Goat Anti-Rabbit IgG H&L Secondary Antibody-HRP is a HRP-conjugated Goat antibody targeting IgG H&L. Goat Anti-Rabbit IgG H&L Secondary Antibody-HRP can be used in ELISA,IHC-F,IHC-P,WB.
别名Immunoglobulin G, Goat Anti-Rabbit IgG H&L (HRP)
Ig Type
IgG
交叉反应
Rabbit
验证活性
1. Paraformaldehyde-fixed, paraffin embedded (mouse pancreas); Antigen retrieval by boiling in sodium citrate buffer (pH6.0) for 15 min; Block endogenous peroxidase by 3% hydrogen peroxide for 20 minutes; Blocking buffer (normal goat serum) at 37°C for 30 min; Antibody incubation with (Glucagon) Polyclonal Antibody, Unconjugated at 1:200 overnight at 4°C, followed by operating according to SP Kit (Rabbit) (TMAB-02008H 1:300) instructionsand DAB staining.
2. Paraformaldehyde-fixed, paraffin embedded (rat pancreas); Antigen retrieval by boiling in sodium citrate buffer (pH6.0) for 15 min; Block endogenous peroxidase by 3% hydrogen peroxide for 20 minutes; Blocking buffer (normal goat serum) at 37°C for 30 min; Antibody incubation with (Glucagon) Polyclonal Antibody, Unconjugated at 1:200 overnight at 4°C, followed by operating according to SP Kit (Rabbit) (TMAB-02008H 1:300) instructionsand DAB staining.
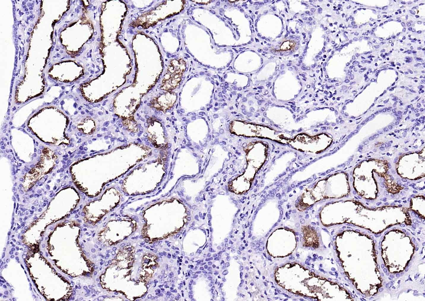
3. Paraformaldehyde-fixed, paraffin embedded (Human kidney cancer); Antigen retrieval by boiling in sodium citrate buffer (pH6.0) for 15 min; Block endogenous peroxidase by 3% hydrogen peroxide for 20 minutes; Blocking buffer (normal goat serum) at 37°C for 30 min; Antibody incubation with (ACE2) Polyclonal Antibody, Unconjugated at 1:200 overnight at 4°C, followed by operating according to SP Kit (Rabbit) (TMAB-02008H 1:300) instructionsand DAB staining.
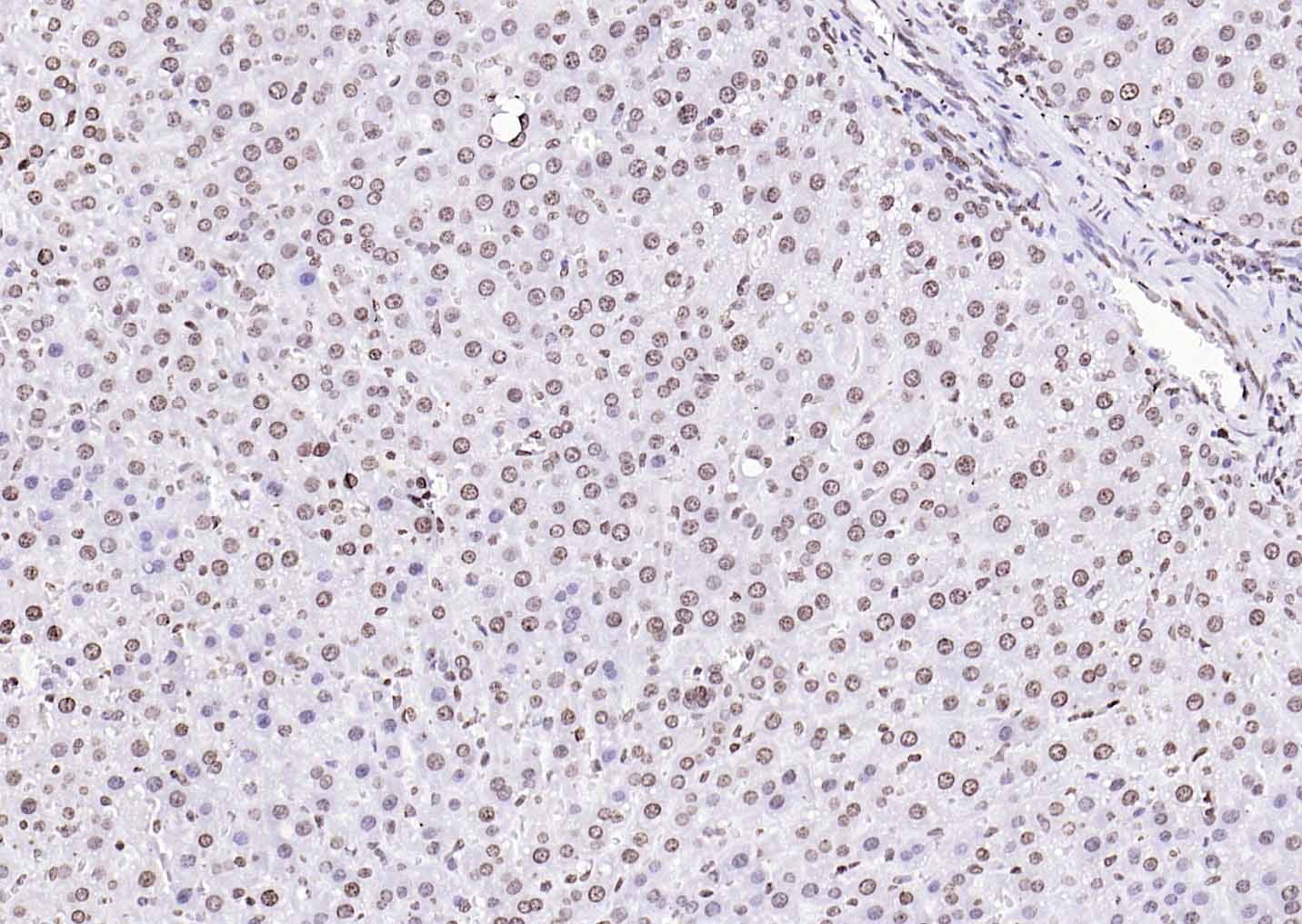
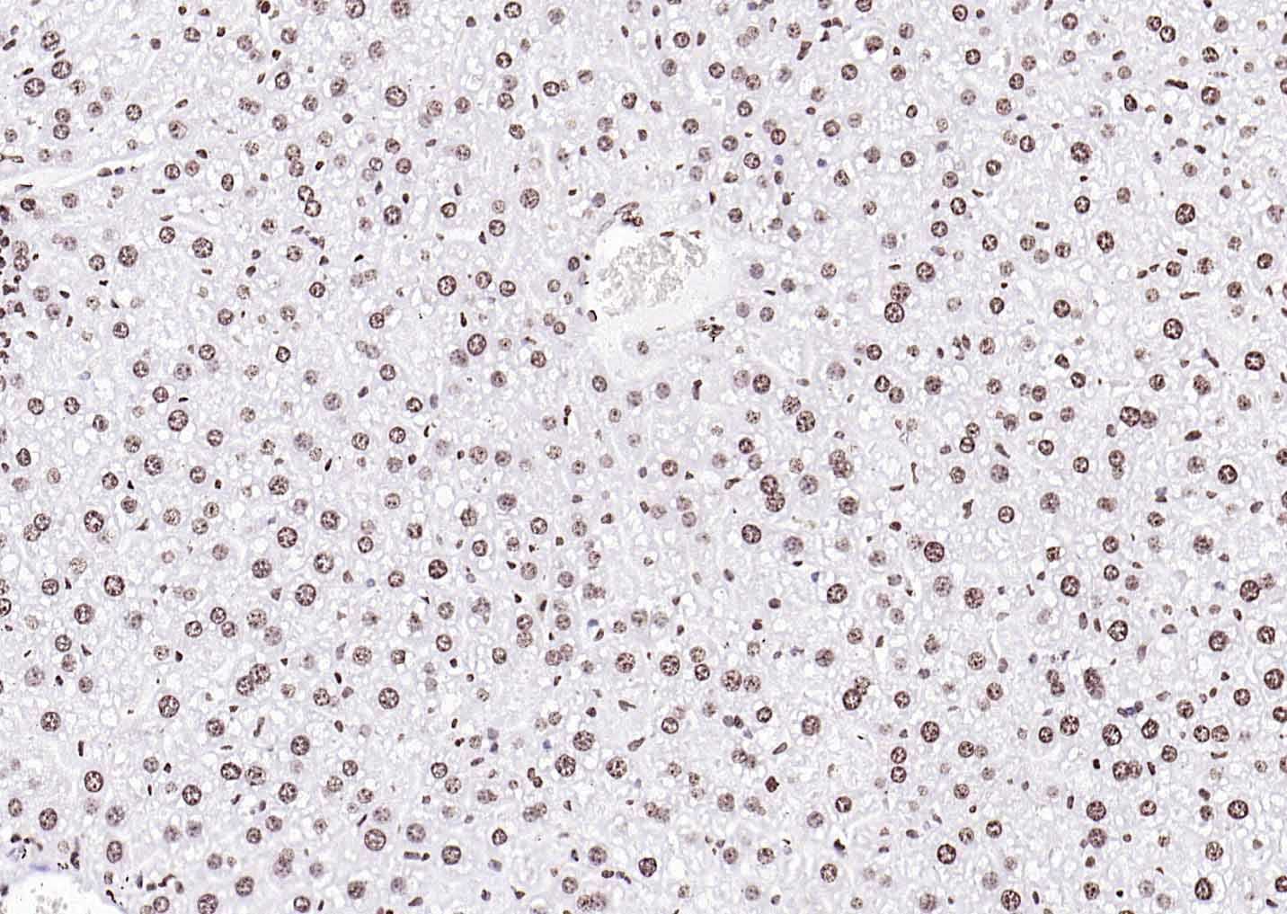
4. Paraformaldehyde-fixed, paraffin embedded (mouse liver); Antigen retrieval by boiling in sodium citrate buffer (pH6.0) for 15 min; Block endogenous peroxidase by 3% hydrogen peroxide for 20 minutes; Blocking buffer (normal goat serum) at 37°C for 30 min; Antibody incubation with (Histone H3 (Nuclear Loading Control)) Polyclonal Antibody, Unconjugated at 1:200 overnight at 4°C, followed by operating according to SP Kit (Rabbit) (TMAB-02008H 1:100) instructionsand DAB staining.
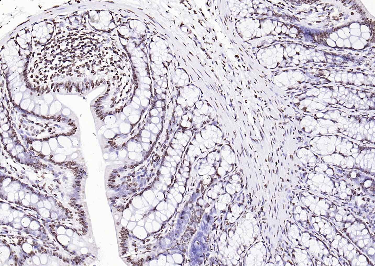
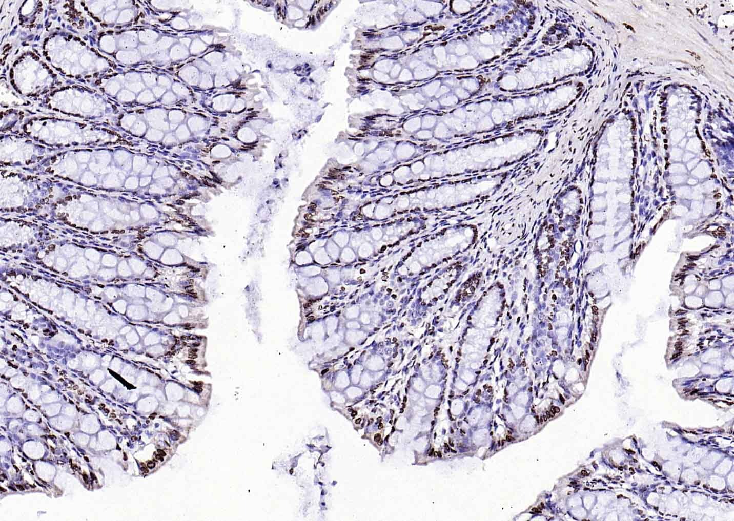
5. Paraformaldehyde-fixed, paraffin embedded (mouse colon); Antigen retrieval by boiling in sodium citrate buffer (pH6.0) for 15 min; Block endogenous peroxidase by 3% hydrogen peroxide for 20 minutes; Blocking buffer (normal goat serum) at 37°C for 30 min; Antibody incubation with (Histone H3 (Nuclear Loading Control)) Polyclonal Antibody, Unconjugated at 1:200 overnight at 4°C, followed by operating according to SP Kit (Rabbit) (TMAB-02008H 1:100) instructionsand DAB staining.
6. Paraformaldehyde-fixed, paraffin embedded (rat liver); Antigen retrieval by boiling in sodium citrate buffer (pH6.0) for 15 min; Block endogenous peroxidase by 3% hydrogen peroxide for 20 minutes; Blocking buffer (normal goat serum) at 37°C for 30 min; Antibody incubation with (Histone H3 (Nuclear Loading Control)) Polyclonal Antibody, Unconjugated at 1:200 overnight at 4°C, followed by operating according to SP Kit (Rabbit) (TMAB-02008H 1:100) instructionsand DAB staining.
7. Paraformaldehyde-fixed, paraffin embedded (rat colon); Antigen retrieval by boiling in sodium citrate buffer (pH6.0) for 15 min; Block endogenous peroxidase by 3% hydrogen peroxide for 20 minutes; Blocking buffer (normal goat serum) at 37°C for 30 min; Antibody incubation with (Histone H3 (Nuclear Loading Control)) Polyclonal Antibody, Unconjugated at 1:200 overnight at 4°C, followed by operating according to SP Kit (Rabbit) (TMAB-02008H 1:100) instructionsand DAB staining.
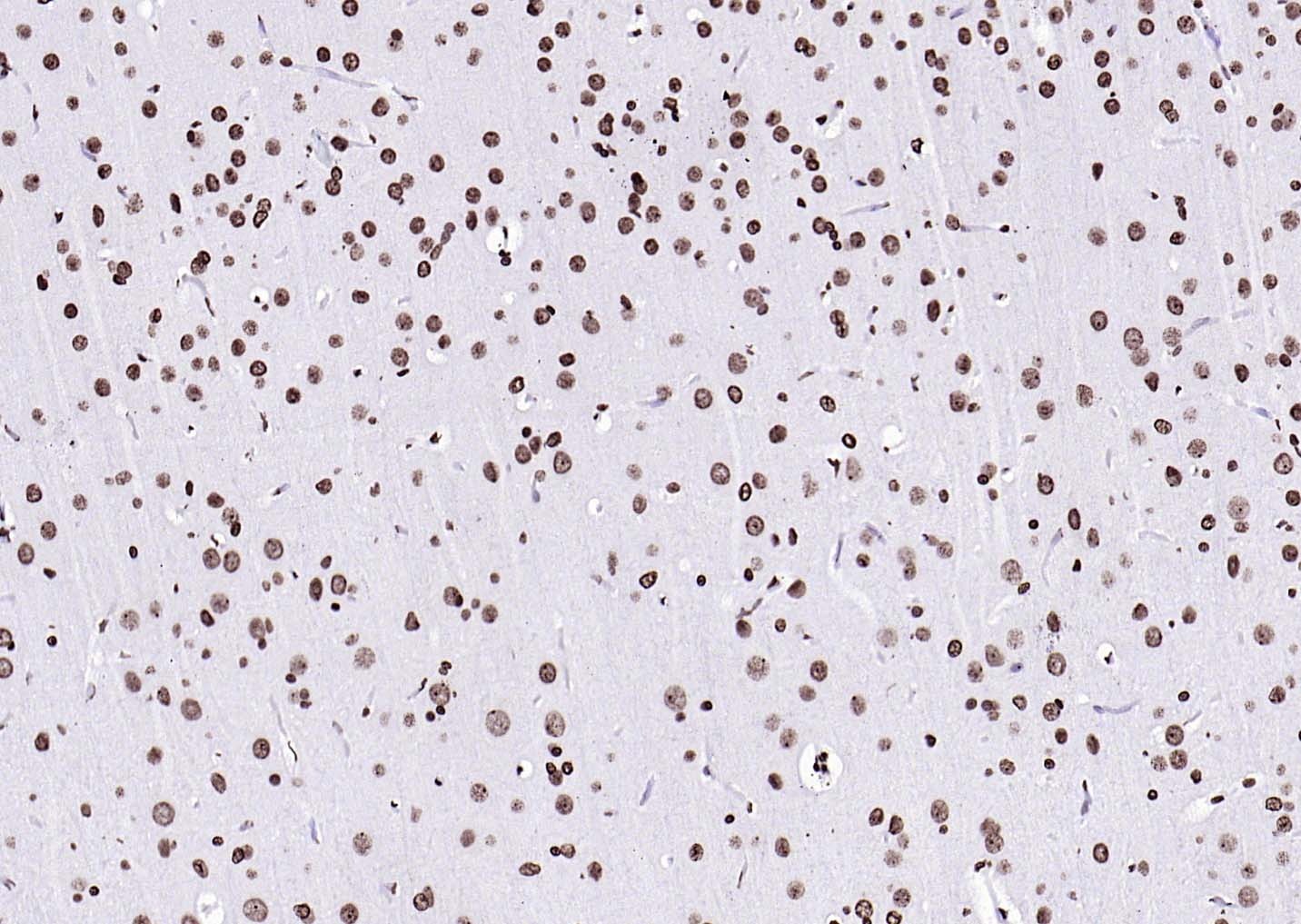
8. Paraformaldehyde-fixed, paraffin embedded (mouse brain); Antigen retrieval by boiling in sodium citrate buffer (pH6.0) for 15 min; Block endogenous peroxidase by 3% hydrogen peroxide for 20 minutes; Blocking buffer (normal goat serum) at 37°C for 30 min; Antibody incubation with (Histone H3 (Nuclear Loading Control)) Polyclonal Antibody, Unconjugated at 1:200 overnight at 4°C, followed by operating according to SP Kit (Rabbit) (TMAB-02008H 1:100) instructionsand DAB staining.
9. Paraformaldehyde-fixed, paraffin embedded (rat brain); Antigen retrieval by boiling in sodium citrate buffer (pH6.0) for 15 min; Block endogenous peroxidase by 3% hydrogen peroxide for 20 minutes; Blocking buffer (normal goat serum) at 37°C for 30 min; Antibody incubation with (Histone H3 (Nuclear Loading Control)) Polyclonal Antibody, Unconjugated at 1:200 overnight at 4°C, followed by operating according to SP Kit (Rabbit) (TMAB-02008H 1:100) instructionsand DAB staining.
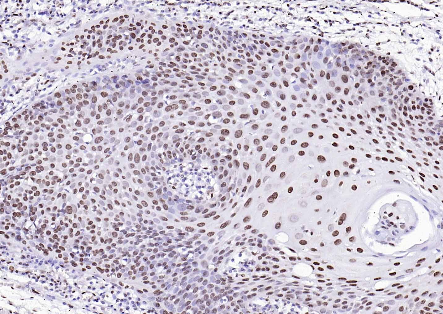
10. Paraformaldehyde-fixed, paraffin embedded (human laryngeal carcinoma); Antigen retrieval by boiling in sodium citrate buffer (pH6.0) for 15 min; Block endogenous peroxidase by 3% hydrogen peroxide for 20 minutes; Blocking buffer (normal goat serum) at 37°C for 30 min; Antibody incubation with (Histone H3 (Nuclear Loading Control)) Polyclonal Antibody, Unconjugated at 1:200 overnight at 4°C, followed by operating according to SP Kit (Rabbit) (TMAB-02008H 1:100) instructionsand DAB staining.
11. Immobilized rabbit IgG (nothing else) at 0.2μg/well can bind Goat Anti-Rabbit IgG H&L/HRP antibody (TMAB-02008H).
12. Sample:
Lane 1: SH-SY5Y (Human) Cell Lysate
Lane 2: MCF-7 (Human) Cell Lysate
Primary: Anti-GAPDH at 1/20000 dilution
Secondary: Goat Anti-Rabbit IgG H&L-HRP at 1/20000 dilution
Predicted band size: 38 kD
Observed band size: 38 kD
verifiedActivityverifiedActivityverifiedActivityverifiedActivityverifiedActivityverifiedActivityverifiedActivityverifiedActivityverifiedActivityverifiedActivityverifiedActivityverifiedActivity
应用ELISAIHC-FIHC-PWB
推荐剂量
WB: 1:2000-20000; IHC-P: 1:200-1000; IHC-F: 1:200-1000; ELISA: 1:2000-20000
抗体种类
Polyclonal
宿主来源Goat
构建方式Polyclonal Antibody
纯化方式Affinity purified by Protein G, nonspecific adsorbed
性状Liquid
缓冲液10 mM TBS (pH=7.4) with 1% BSA, 0.03% Proclin300 and 50% glycerol.
浓度2.0 mg/ml
研究背景Immunoglobulin G (IgG), is one of the most abundant proteins in serum with normal levels between 8-17 mg/mL in adult blood. IgG is important for our defence against microorganisms and the molecules are produced by B lymphocytes as a part of our adaptive immune response. The IgG molecule has two separate functions; to bind to the pathogen that elicited the response and to recruit other cells and molecules to destroy the antigen. The variability of the IgG pool is generated by somatic recombination and the number of specificities in an individual at a given time point is estimated to be 1011 variants.
抗原信息
免疫原
Native Rabbit IgG
颜色Transparent
物理性状Liquid
存储&运输
储存方式Store at -20°C or -80°C for 12 months. Avoid repeated freeze-thaw cycles.
运输方式Shipping with blue ice.

计算器

  • 稀释 计算器

评论列表

4个月前
5.0
Rating icon 很棒

评论内容

Related Tags: buy Goat Anti-Rabbit IgG H&L Secondary Antibody-HRP | purchase Goat Anti-Rabbit IgG H&L Secondary Antibody-HRP | Goat Anti-Rabbit IgG H&L Secondary Antibody-HRP cost | order Goat Anti-Rabbit IgG H&L Secondary Antibody-HRP