购物车
  • TargetMol
    您的购物车当前为空

Beta-Actin Loading Control Antibody (1W773)

Synonyms: β-Actin Protein, β-actin, Beta-Actin, Actin Cytoplasmic 1, ACTB
货号 TMAB-00215 一键复制产品信息
Rating icon 还可以

Beta-Actin Loading Control Antibody (1W773) 是一种 Mouse 抗体,靶向 Beta-Actin。Beta-Actin Loading Control Antibody (1W773) 可用于 IF, IHC-Fr, IHC-P, WB。

Beta-Actin Loading Control Antibody (1W773)

一键复制产品信息
Rating icon 还可以
货号 TMAB-00215

别名 β-Actin Protein, β-actin, Beta-Actin, Actin Cytoplasmic 1, ACTB

Beta-Actin Loading Control Antibody (1W773) 是一种 Mouse 抗体,靶向 Beta-Actin。Beta-Actin Loading Control Antibody (1W773) 可用于 IF, IHC-Fr, IHC-P, WB。

Beta-Actin Loading Control Antibody (1W773)
规格价格库存数量
100 μL
¥ 565
5日内发货
200 μL
¥ 970
5日内发货
500 μL
¥ 2,260
5日内发货
1 mL
¥ 4,270
5日内发货
库存状态实时更新,以官网显示为准,现货产品可直接加购物车下单
大包装 & 定制
加入购物车

TargetMol的所有产品仅用作科学研究或药证申报,不能被用于人体,我们不向个人提供产品和服务。请您遵守承诺用途,不得违反法律法规规定用于任何其他用途。

实验操作小课堂
常见问题解答
查看更多

选择批次:
颜色: 无色透明
性状: Liquid
资源下载: COA产品操作手册

产品介绍


生物活性
产品描述
Beta-Actin Loading Control Antibody (1W773) is a Mouse antibody targeting Beta-Actin. Beta-Actin Loading Control Antibody (1W773) can be used in IF, IHC-Fr, IHC-P, WB.
别名
β-Actin Protein, β-actin, Beta-Actin, Actin Cytoplasmic 1, ACTB
Ig Type
IgG
克隆号
1W773
反应种属
Human,Mouse,Rat (predicted:Chicken,Dog,Rabbit,Hamster,Monkey)
验证活性
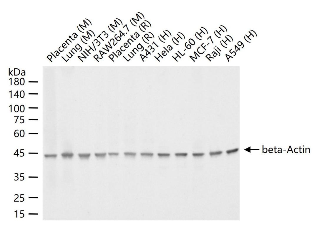
1. 25 μg total protein per Lane of various lysates probed with beta-Actin monoclonal antibody, unconjugated (TMAB-00215) at 1:1000 dilution and 4°C overnight incubation. Followed by conjugated secondary antibody incubation at RT for 60 min.
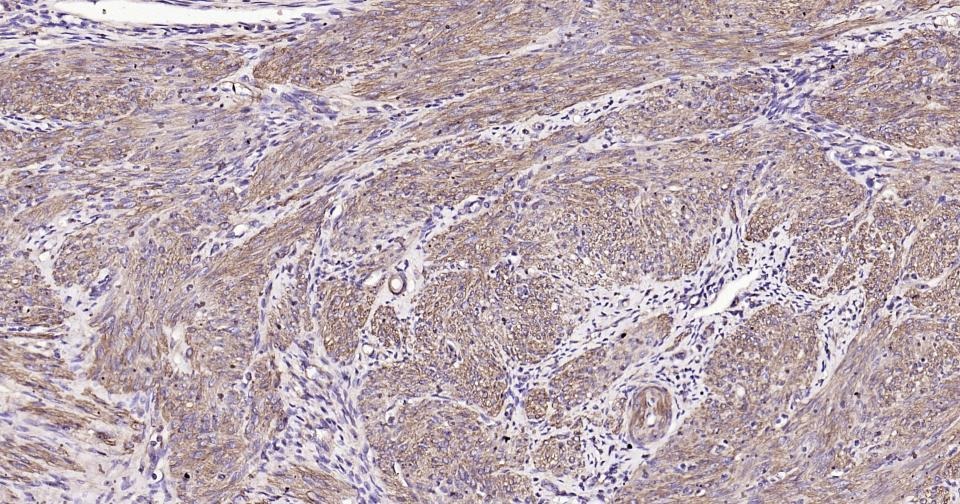
2. Paraformaldehyde-fixed, paraffin embedded Rat Uterus; Antigen retrieval by boiling in sodium citrate buffer (pH6.0) for 15 min; Antibody incubation with beta-Actin Monoclonal Antibody, Unconjugated (TMAB-00215) at 1:200 overnight at 4°C, followed by conjugation to the SP Kit (Mouse) and DAB staining.
3. Paraformaldehyde-fixed, paraffin embedded Human Uterus; Antigen retrieval by boiling in sodium citrate buffer (pH6.0) for 15 min; Antibody incubation with beta-Actin Monoclonal Antibody, Unconjugated (ascites of TMAB-00215) at 1:1500 overnight at 4°C, followed by conjugation to the SP Kit (Mouse) and DAB staining.
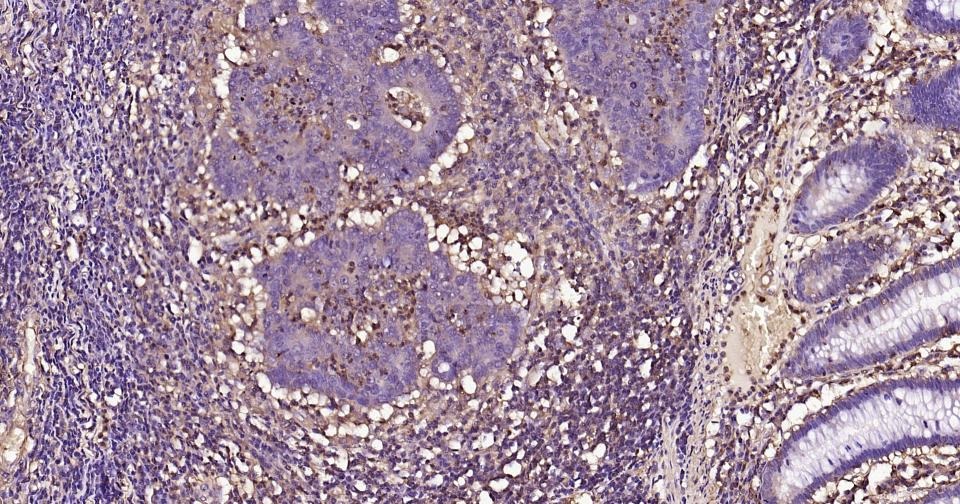
4. Paraformaldehyde-fixed, paraffin embedded Human Colon Cancer; Antigen retrieval by boiling in sodium citrate buffer (pH6.0) for 15 min; Antibody incubation with beta-Actin Monoclonal Antibody, Unconjugated (TMAB-00215) at 1:200 overnight at 4°C, followed by conjugation to the SP Kit (Mouse) and DAB staining.
5. Paraformaldehyde-fixed, paraffin embedded Rat Colon; Antigen retrieval by boiling in sodium citrate buffer (pH6.0) for 15 min; Antibody incubation with beta-Actin Monoclonal Antibody, Unconjugated (ascites of TMAB-00215) at 1:1500 overnight at 4°C, followed by conjugation to the SP Kit (Mouse) and DAB staining.
6. Paraformaldehyde-fixed, paraffin embedded Human Colon; Antigen retrieval by boiling in sodium citrate buffer (pH6.0) for 15 min; Antibody incubation with beta-Actin Monoclonal Antibody, Unconjugated (ascites of TMAB-00215) at 1:1500 overnight at 4°C, followed by conjugation to the SP Kit (Mouse) and DAB staining.
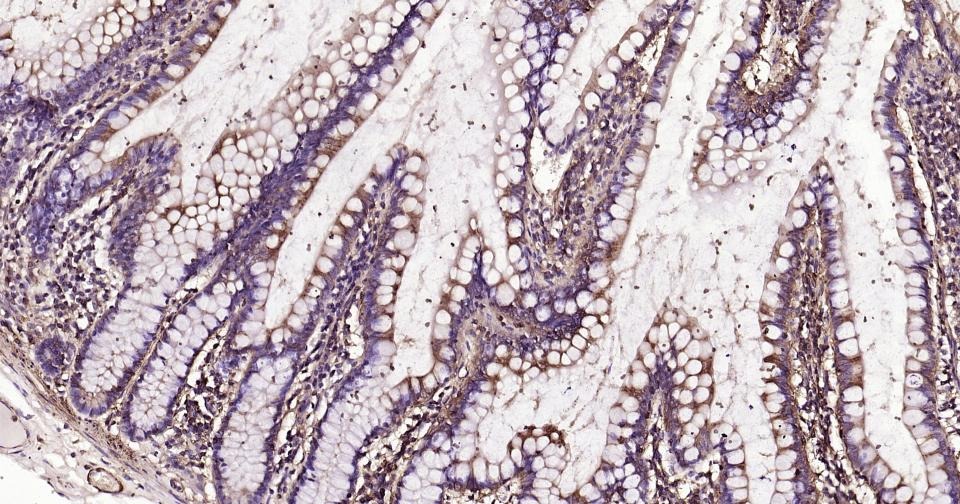
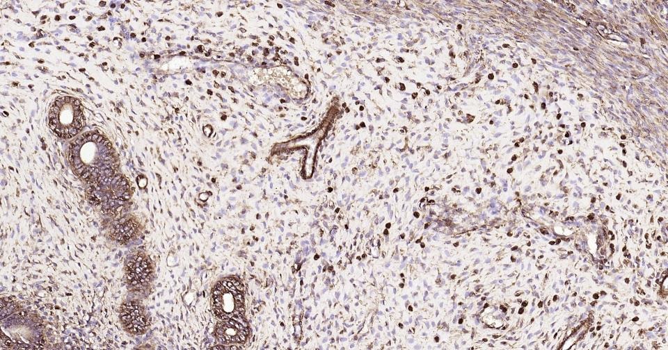
7. Paraformaldehyde-fixed, paraffin embedded Human Small Intestine; Antigen retrieval by boiling in sodium citrate buffer (pH6.0) for 15 min; Antibody incubation with beta-Actin Monoclonal Antibody, Unconjugated (ascites of TMAB-00215) at 1:1500 overnight at 4°C, followed by conjugation to the SP Kit (Mouse) and DAB staining.
8. Paraformaldehyde-fixed, paraffin embedded Human Small Intestine; Antigen retrieval by boiling in sodium citrate buffer (pH6.0) for 15 min; Antibody incubation with beta-Actin Monoclonal Antibody, Unconjugated (TMAB-00215) at 1:1000 overnight at 4°C. Followed by conjugated Goat Anti-Mouse IgG antibody (green), DAPI (blue) was used to stain the cell nucleus.
9. Paraformaldehyde-fixed, paraffin embedded Human Colon; Antigen retrieval by boiling in sodium citrate buffer (pH6.0) for 15 min; Antibody incubation with beta-Actin Monoclonal Antibody, Unconjugated (TMAB-00215) at 1:1000 overnight at 4°C. Followed by conjugated Goat Anti-Mouse IgG antibody (green), DAPI (blue) was used to stain the cell nucleus.
verifiedActivityverifiedActivityverifiedActivityverifiedActivityverifiedActivityverifiedActivityverifiedActivityverifiedActivityverifiedActivity
应用IFIHC-FrIHC-PWB
推荐剂量
IF=1:200-2000; IHC-Fr=1:200-2000; IHC-P=1:200-2000; WB=1:1000-5000
抗体种类
Monoclonal
宿主来源Mouse
亚细胞定位Cytoplasm, cytoskeleton.
组织特异性Ubiquitously expressed in all eukaryotic cells.
构建方式Hybridoma Monoclonal Antibody
纯化方式Protein G purified
性状Liquid
缓冲液0.01M TBS (pH7.4) with 1% BSA, 0.02% Proclin300 and 50% Glycerol.
浓度1 mg/mL
研究背景Actin is a highly conserved protein and an essential component of cell cytoskeleton and plays an important role in cytoplasmic streaming, cell shape determination, cell division, organelle movement and extension growth. Preferentially expressed in young and expanding tissues, floral organ primordia, developing seeds and emerging inflorescence. Antibodies against plant Actin are useful as loading controls for Western Blotting.
抗原信息
免疫原
Synthetic MAP peptide: human beta-Actin
抗原种属
Human
基因名称
ACTB
基因ID
蛋白名称
Actin, cytoplasmic 1
Uniprot ID
研究领域
Actin,Actin,Beta Actin
功能
Actins are highly conserved proteins that are involved in various types of cell motility and are ubiquitously expressed in all eukaryotic cells.
化学信息
分子量Theoretical: 42 kDa. Actual: 42 kDa.
储存&溶解度
储存方式Store at -20°C or -80°C for 12 months. Avoid repeated freeze-thaw cycles.
运输方式Shipping with blue ice.

计算器

  • 稀释 计算器
  • 配液 计算器

关键词

Related Tags: buy Beta-Actin Loading Control Antibody (1W773) | purchase Beta-Actin Loading Control Antibody (1W773) | Beta-Actin Loading Control Antibody (1W773) cost | order Beta-Actin Loading Control Antibody (1W773) | Beta-Actin Loading Control Antibody (1W773) molecular weight