购物车
  • TargetMol
    您的购物车当前为空

Anti-ZNRF2 Antibody (2E492)

Synonyms: ZNRF2_HUMAN, Znrf 2, Zinc/RING finger protein 2, RNF202, RING finger protein 202, Protein Ells2, E3 ubiquitin-protein ligase ZNRF2
货号 TMAC-04320 一键复制产品信息
Rating icon 还可以

Anti-ZNRF2 Antibody (2E492) 是一种 Rabbit 抗体,靶向 ZNRF2。Anti-ZNRF2 Antibody (2E492) 可用于 IHC,WB。

Anti-ZNRF2 Antibody (2E492)

一键复制产品信息
Rating icon 还可以
货号 TMAC-04320

别名 ZNRF2_HUMAN, Znrf 2, Zinc/RING finger protein 2, RNF202, RING finger protein 202, Protein Ells2, E3 ubiquitin-protein ligase ZNRF2

Anti-ZNRF2 Antibody (2E492) 是一种 Rabbit 抗体,靶向 ZNRF2。Anti-ZNRF2 Antibody (2E492) 可用于 IHC,WB。

Anti-ZNRF2 Antibody (2E492)
规格价格库存数量
50 μL
¥ 1,495
5日内发货
100 μL
¥ 2,495
5日内发货
库存状态实时更新,以官网显示为准,现货产品可直接加购物车下单
大包装 & 定制
加入购物车

TargetMol的所有产品仅用作科学研究或药证申报,不能被用于人体,我们不向个人提供产品和服务。请您遵守承诺用途,不得违反法律法规规定用于任何其他用途。

实验操作小课堂
常见问题解答
查看更多

资源下载:产品操作手册

产品介绍


生物活性
产品描述
Anti-ZNRF2 Antibody (2E492) is a Rabbit antibody targeting ZNRF2. Anti-ZNRF2 Antibody (2E492) can be used in IHC,WB.
别名
ZNRF2_HUMAN, Znrf 2, Zinc/RING finger protein 2, RNF202, RING finger protein 202, Protein Ells2, E3 ubiquitin-protein ligase ZNRF2
Ig Type
IgG
克隆号
2E492
反应种属
Human,Mouse,Rat
验证活性
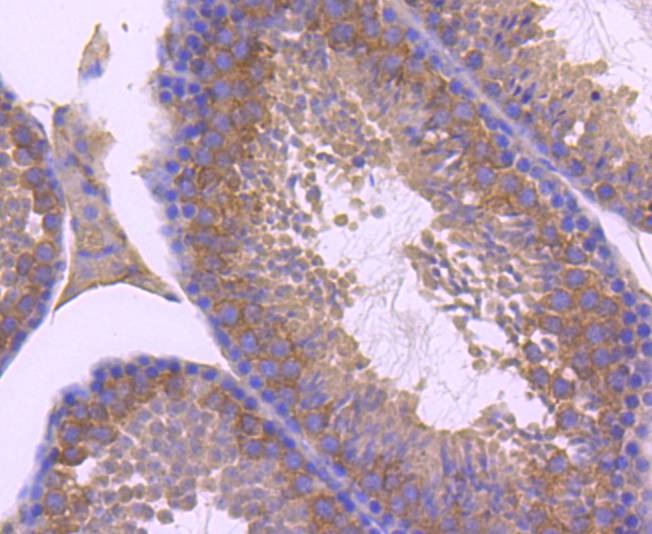
1. Immunohistochemical analysis of paraffin-embedded mouse testis tissue using anti-ZNRF2 antibody. Counter stained with hematoxylin.
verifiedActivity
应用IHCWB
推荐剂量
WB: 1:1000-2000; IHC: 1:50-200
抗体种类
Monoclonal
宿主来源Rabbit
构建方式Recombinant Antibody
纯化方式ProA affinity purified
性状Liquid
缓冲液1*TBS (pH7.4), 1%BSA, 40%Glycerol. Preservative: 0.05% Sodium Azide.
研究背景NF-E2 related factor 2 (Nrf2) is a member of the cap ??n?? collar family of basic leucine zipper transcription factors. By binding antioxidant response elements (AREs), Nrf2 activates the transcription of genes encoding antioxidant and phase II drug-metabolizing enzymes needed to protect cells against oxidative damage. Transcriptional targets regulated by Nrf2 include genes encoding glutathione S-transferases, superoxide dismutase-1, and heme oxygenase-1.
偶联与修饰
偶联
Unconjugated
抗原信息
免疫原
Recombinant Protein
Uniprot ID
化学信息
分子量Theoretical: 24 kDa.
储存&溶解度
储存方式Store at -20°C or -80°C for 12 months. Avoid repeated freeze-thaw cycles.
运输方式Shipping with blue ice.

计算器

  • 稀释 计算器
  • 配液 计算器
Related Tags: buy Anti-ZNRF2 Antibody (2E492) | purchase Anti-ZNRF2 Antibody (2E492) | Anti-ZNRF2 Antibody (2E492) cost | order Anti-ZNRF2 Antibody (2E492) | Anti-ZNRF2 Antibody (2E492) molecular weight