购物车
  • TargetMol
    您的购物车当前为空

Anti-Vimentin Antibody (3N67)

Synonyms: vimentin, HEL113, CTRCT30
货号 TMAC-04261 一键复制产品信息
Rating icon 还可以

Anti-Vimentin Antibody (3N67) 是一种 Rabbit 抗体,靶向 Vimentin。Anti-Vimentin Antibody (3N67) 可用于 FCM,ICC/IF,IHC,IP,WB。

Anti-Vimentin Antibody (3N67)

一键复制产品信息
Rating icon 还可以
货号 TMAC-04261

别名 vimentin, HEL113, CTRCT30

Anti-Vimentin Antibody (3N67) 是一种 Rabbit 抗体,靶向 Vimentin。Anti-Vimentin Antibody (3N67) 可用于 FCM,ICC/IF,IHC,IP,WB。

Anti-Vimentin Antibody (3N67)
规格价格库存数量
50 μL
¥ 1,490
5日内发货
100 μL
¥ 2,490
5日内发货
库存状态实时更新,以官网显示为准,现货产品可直接加购物车下单
大包装 & 定制
加入购物车

TargetMol的所有产品仅用作科学研究或药证申报,不能被用于人体,我们不向个人提供产品和服务。请您遵守承诺用途,不得违反法律法规规定用于任何其他用途。

实验操作小课堂
常见问题解答
查看更多

资源下载:产品操作手册

产品介绍


生物活性
产品描述
Anti-Vimentin Antibody (3N67) is a Rabbit antibody targeting Vimentin. Anti-Vimentin Antibody (3N67) can be used in FCM,ICC/IF,IHC,IP,WB.
别名
vimentin, HEL113, CTRCT30
Ig Type
IgG
克隆号
3N67
反应种属
Human,Mouse,Rat
验证活性
1. Western blot analysis of Vimentin on different lysates using anti-Vimentin antibody at 1/1,000 dilution. Positive control: Lane 1: Hela, Lane 2: A549.
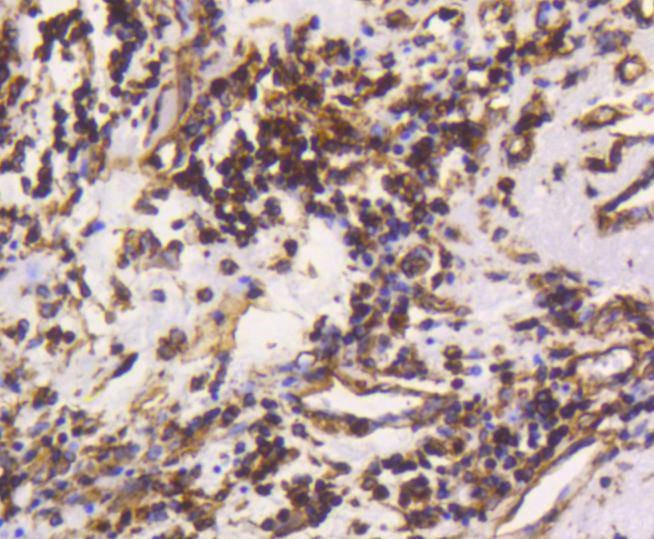
2. Immunohistochemical analysis of paraffin-embedded human breast carcinoma tissue using anti-Vimentin antibody. Counter stained with hematoxylin.
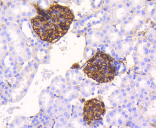
3. Immunohistochemical analysis of paraffin-embedded human kidney tissue using anti-Vimentin antibody. Counter stained with hematoxylin.
4. Immunohistochemical analysis of paraffin-embedded mouse colon tissue using anti-Vimentin antibody. Counter stained with hematoxylin.
5. Immunohistochemical analysis of paraffin-embedded mouse kidney tissue using anti-Vimentin antibody. Counter stained with hematoxylin.
6. ICC staining Vimentin in Hela cells (green). The nuclear counter stain is DAPI (blue). Cells were fixed in paraformaldehyde, permeabilised with 0.25% Triton X100/PBS.
7. ICC staining Vimentin in L6 cells (green). The nuclear counter stain is DAPI (blue). Cells were fixed in paraformaldehyde, permeabilised with 0.25% Triton X100/PBS.
8. ICC staining Vimentin in C2C12 cells (green). The nuclear counter stain is DAPI (blue). Cells were fixed in paraformaldehyde, permeabilised with 0.25% Triton X100/PBS.
9. ICC staining Vimentin in 293 cells (green). The nuclear counter stain is DAPI (blue). Cells were fixed in paraformaldehyde, permeabilised with 0.25% Triton X100/PBS.
10. Flow cytometric analysis of Hela cells with Vimentin antibody at 1/50 dilution (red) compared with an unlabelled control (cells without incubation with primary antibody; black). Alexa Fluor 488-conjugated goat anti rabbit IgG was used as the second antibody.
verifiedActivityverifiedActivityverifiedActivityverifiedActivityverifiedActivityverifiedActivityverifiedActivityverifiedActivityverifiedActivityverifiedActivity
应用FCMICC/IFIHCIPWB
推荐剂量
WB: 1:1000-5000; IHC: 1:100-500; ICC/IF: 1:100-500; FCM: 1:50-100
抗体种类
Monoclonal
宿主来源Rabbit
构建方式Recombinant Antibody
纯化方式ProA affinity purified
性状Liquid
缓冲液1*TBS (pH7.4), 1%BSA, 40%Glycerol. Preservative: 0.05% Sodium Azide.
研究背景Cytoskeletal intermediate filaments (IFs) constitute a diverse group of proteins that are expressed in a highly tissue-specific manner. Intermediate filaments are constructed from two-chain, a-helical, coiled-coil molecules arranged on an imperfect helical lattice and have been widely used as markers for distinguishing individual cell types within a tissue and identifying the origins of metastatic tumors. One such intermediate filament protein, Vimentin, is a general marker of cells originating in the mesenchyme. Vimentin is frequently coexpressed with other members of the intermediate filament family, such as the cytokeratins, in neoplasms including melanoma and breast carcinoma.
偶联与修饰
偶联
Unconjugated
抗原信息
免疫原
Recombinant Protein
Uniprot ID
化学信息
分子量Theoretical: 54 kDa.
储存&溶解度
储存方式Store at -20°C or -80°C for 12 months. Avoid repeated freeze-thaw cycles.
运输方式Shipping with blue ice.

计算器

  • 稀释 计算器
  • 配液 计算器
Related Tags: buy Anti-Vimentin Antibody (3N67) | purchase Anti-Vimentin Antibody (3N67) | Anti-Vimentin Antibody (3N67) cost | order Anti-Vimentin Antibody (3N67) | Anti-Vimentin Antibody (3N67) molecular weight