购物车
  • 全部删除
  • TargetMol
    您的购物车当前为空

Anti-VDAC1 Antibody (9P313)

一键复制产品信息
Rating icon 还可以
产品编号 TMAC-04230
别名 YNL2441C, YNL055C, Voltage-dependent anion-selective channel protein 1, Voltage dependent anion selective channel protein 1, Voltage dependent anion channel 1, VDAC-1, VDAC, Porin 31HM, Porin 31HL, POR1, Plasmalemmal porin, Outer mitochondrial membrane protein porin 1, OMP2, N2441, Mitochondrial Porin, MGC111064, hVDAC1

Anti-VDAC1 Antibody (9P313) 是一种 Rabbit 抗体,靶向 VDAC1。Anti-VDAC1 Antibody (9P313) 可用于 ICC/IF,IHC,WB。

Anti-VDAC1 Antibody (9P313)

Anti-VDAC1 Antibody (9P313)

一键复制产品信息
Rating icon 还可以
产品编号 TMAC-04230 别名 YNL2441C, YNL055C, Voltage-dependent anion-selective channel protein 1, Voltage dependent anion selective channel protein 1, Voltage dependent anion channel 1, VDAC-1, VDAC, Porin 31HM, Porin 31HL, POR1, Plasmalemmal porin, Outer mitochondrial membrane protein porin 1, OMP2, N2441, Mitochondrial Porin, MGC111064, hVDAC1

Anti-VDAC1 Antibody (9P313) 是一种 Rabbit 抗体,靶向 VDAC1。Anti-VDAC1 Antibody (9P313) 可用于 ICC/IF,IHC,WB。

规格价格库存数量
50 μL
¥ 1,480
5日内发货
100 μL
¥ 2,490
5日内发货
大包装 & 定制
加入购物车
TargetMol 的所有产品仅用作科学研究或药证申报,不能被用于人体,我们不向个人提供产品和服务。请您遵守承诺用途,不得违反法律法规规定用于任何其他用途。
实验操作小课堂
常见问题解答
查看更多
联系我们获取更多批次信息
资源下载

产品介绍

生物活性
产品描述
Anti-VDAC1 Antibody (9P313) is a Rabbit antibody targeting VDAC1. Anti-VDAC1 Antibody (9P313) can be used in ICC/IF,IHC,WB.
别名YNL2441C, YNL055C, Voltage-dependent anion-selective channel protein 1, Voltage dependent anion selective channel protein 1, Voltage dependent anion channel 1, VDAC-1, VDAC, Porin 31HM, Porin 31HL, POR1, Plasmalemmal porin, Outer mitochondrial membrane protein porin 1, OMP2, N2441, Mitochondrial Porin, MGC111064, hVDAC1
Ig Type
IgG
克隆号
9P313
交叉反应
Human,Mouse,Rat
验证活性
1. Western blot analysis of VDAC1 on different cell lysates using anti-VDAC1 antibody at 1/1,000 dilution. Positive control: Lane 1: Raji, Lane 2: HepG2, Lane 3: SW480.
2. Immunohistochemical analysis of paraffin-embedded human liver tissue using anti-VDAC1 antibody. Counter stained with hematoxylin.
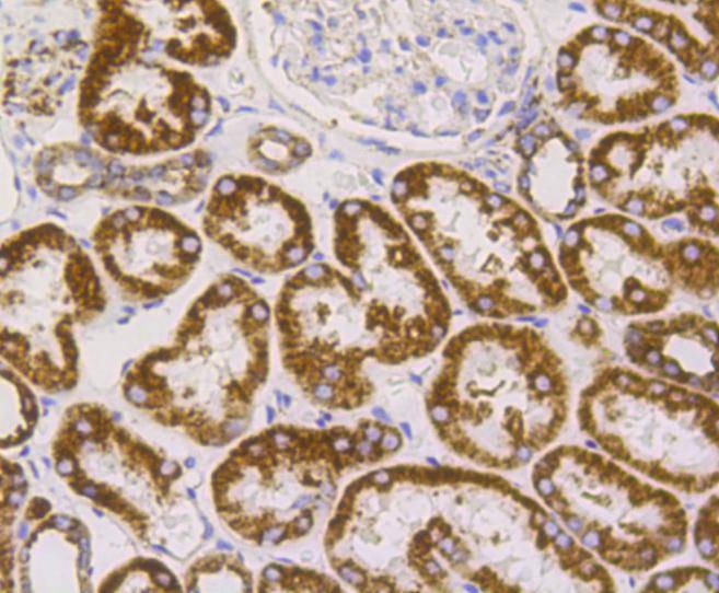
3. Immunohistochemical analysis of paraffin-embedded human kidney tissue using anti-VDAC1 antibody. Counter stained with hematoxylin.
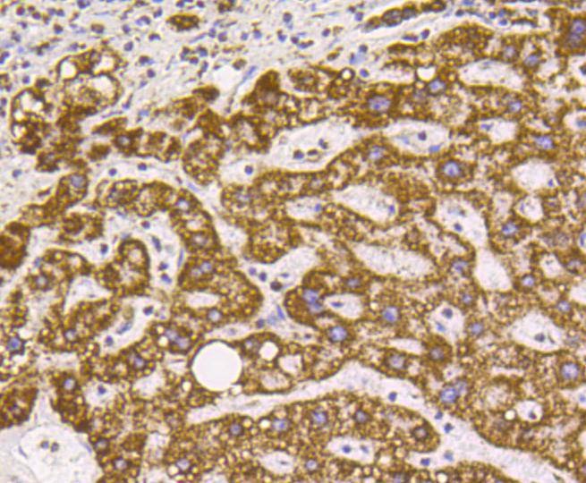
4. Immunohistochemical analysis of paraffin-embedded mouse liver tissue using anti-VDAC1 antibody. Counter stained with hematoxylin.
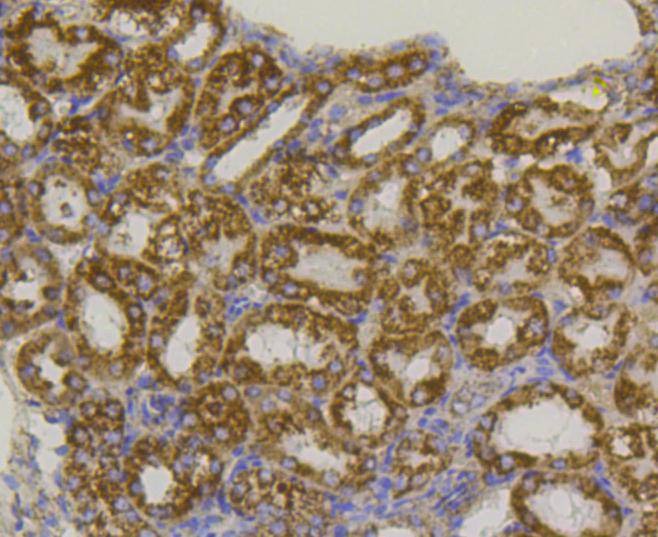
5. Immunohistochemical analysis of paraffin-embedded mouse kidney tissue using anti-VDAC1 antibody. Counter stained with hematoxylin.
verifiedActivityverifiedActivityverifiedActivityverifiedActivityverifiedActivity
应用ICC/IFIHCWB
推荐剂量
WB: 1:1000-2000; IHC: 1:100-200; ICC/IF: 1:50-200; IHF 1:50-200
抗体种类
Monoclonal
宿主来源Rabbit
构建方式Recombinant Antibody
纯化方式ProA affinity purified
性状Liquid
缓冲液1*TBS (pH7.4), 1%BSA, 40%Glycerol. Preservative: 0.05% Sodium Azide.
研究背景Voltage-dependent anion-selective channel (VDAC1) (also referred to as porin, isoform 1) is a small protein, originally discovered in the outer membrane of mitochondria where it constitutes the major pore-forming protein. The porin protein VDAC1 allows to the outer-most membrane of the mitochondrion free permeability to low molecular-weight solutes. VDAC1 has been shown to co-immunoprecipitate with the apoptotic protein Bcl-2 and suggested to be involved in forming the mitochondrial pore which releases cytochrome c during apoptosis.
偶联与修饰
偶联
Unconjugated
抗原信息
免疫原
Recombinant Protein
Uniprot ID
化学信息
分子量Theoretical: 31 kDa.
存储&运输
储存方式Store at -20°C or -80°C for 12 months. Avoid repeated freeze-thaw cycles.
运输方式Shipping with blue ice.

计算器

  • 稀释 计算器

评论列表

4个月前
5.0
Rating icon 很棒

评论内容

Related Tags: buy Anti-VDAC1 Antibody (9P313) | purchase Anti-VDAC1 Antibody (9P313) | Anti-VDAC1 Antibody (9P313) cost | order Anti-VDAC1 Antibody (9P313) | Anti-VDAC1 Antibody (9P313) molecular weight