购物车
  • TargetMol
    您的购物车当前为空

Anti-VCAN Antibody (9D241)

Synonyms: Versican core protein, VCAN, PG-M, Large fibroblast proteoglycan, Glial hyaluronate-binding protein (GHAP), CSPG2, Chondroitin sulfate proteoglycan core protein 2 (Chondroitin sulfate proteoglycan 2)
货号 TMAC-04252 一键复制产品信息
Rating icon 还可以

Anti-VCAN Antibody (9D241) 是一种 Rabbit 抗体,靶向 VCAN。Anti-VCAN Antibody (9D241) 可用于 IHC,WB。

Anti-VCAN Antibody (9D241)

一键复制产品信息
Rating icon 还可以
货号 TMAC-04252

别名 Versican core protein, VCAN, PG-M, Large fibroblast proteoglycan, Glial hyaluronate-binding protein (GHAP), CSPG2, Chondroitin sulfate proteoglycan core protein 2 (Chondroitin sulfate proteoglycan 2)

Anti-VCAN Antibody (9D241) 是一种 Rabbit 抗体,靶向 VCAN。Anti-VCAN Antibody (9D241) 可用于 IHC,WB。

Anti-VCAN Antibody (9D241)
规格价格库存数量
50 μL
¥ 1,480
5日内发货
100 μL
¥ 2,495
5日内发货
库存状态实时更新,以官网显示为准,现货产品可直接加购物车下单
大包装 & 定制
加入购物车

TargetMol的所有产品仅用作科学研究或药证申报,不能被用于人体,我们不向个人提供产品和服务。请您遵守承诺用途,不得违反法律法规规定用于任何其他用途。

实验操作小课堂
常见问题解答
查看更多

资源下载:产品操作手册

产品介绍


生物活性
产品描述
Anti-VCAN Antibody (9D241) is a Rabbit antibody targeting VCAN. Anti-VCAN Antibody (9D241) can be used in IHC,WB.
别名
Versican core protein, VCAN, PG-M, Large fibroblast proteoglycan, Glial hyaluronate-binding protein (GHAP), CSPG2, Chondroitin sulfate proteoglycan core protein 2 (Chondroitin sulfate proteoglycan 2)
Ig Type
IgG
克隆号
9D241
反应种属
Human,Mouse
验证活性
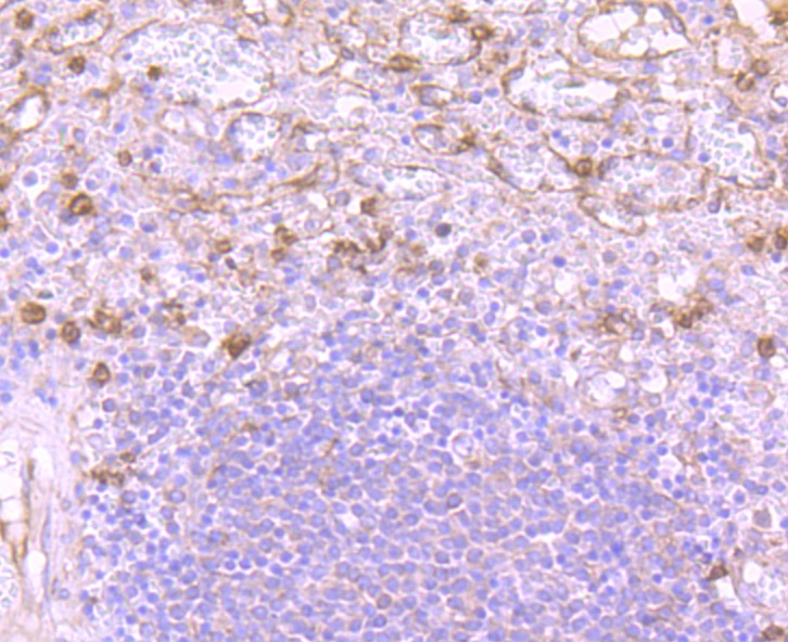
1. Immunohistochemical analysis of paraffin-embedded human spleen tissue using anti-Versican antibody. Counter stained with hematoxylin.
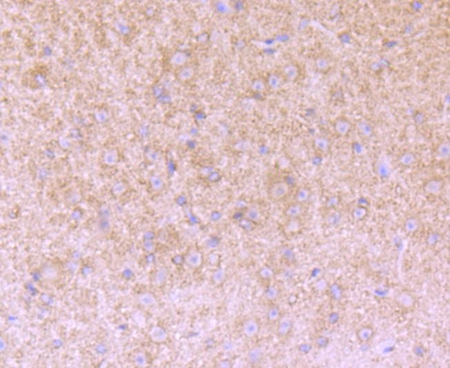
2. Immunohistochemical analysis of paraffin-embedded mouse brain tissue using anti-Versican antibody. Counter stained with hematoxylin.
verifiedActivityverifiedActivity
应用IHCWB
推荐剂量
IHC: 1:50-200
抗体种类
Monoclonal
宿主来源Rabbit
构建方式Recombinant Antibody
纯化方式ProA affinity purified
性状Liquid
缓冲液1*TBS (pH7.4), 1%BSA, 40%Glycerol. Preservative: 0.05% Sodium Azide.
研究背景Versican (chondroitin sulfate proteoglycan 2) is a large extracellular matrix proteoglycan involved in cell growth and differentiation. Important as a structural molecule, versican creates loose and hydrated matrices during key events in development and disease. The protein contains hyaluronic acid and glycosminoglycan-binding domains, epidermal growth factor-like repeats, a lectin-like sequence and a complement regulatory protein-like domain. Splice variants differ greatly in length and degree of modification by glycosaminoglycan chains. Accumulation around smooth muscle cells in lesions of atherosclerosis, suggests a role for versican in atherogenesis. Versican, differentially expressed in human melanoma, plays a role in tumor development and may be a reliable marker for clinical diagnosis. The organization of HA- and versican-rich pericellular matrices may faciliatate migration and mitosis by diminishing cell surface adhesivity and affecting cell shape through steric exclusion and the viscous properties of HA proteoglycan gels. The human verisican gene maps to chromosome 5q14.3.
偶联与修饰
偶联
Unconjugated
抗原信息
免疫原
Recombinant Protein
Uniprot ID
化学信息
分子量Theoretical: 373/265/182/74 kDa.
储存&溶解度
储存方式Store at -20°C or -80°C for 12 months. Avoid repeated freeze-thaw cycles.
运输方式Shipping with blue ice.

计算器

  • 稀释 计算器
  • 配液 计算器
Related Tags: buy Anti-VCAN Antibody (9D241) | purchase Anti-VCAN Antibody (9D241) | Anti-VCAN Antibody (9D241) cost | order Anti-VCAN Antibody (9D241) | Anti-VCAN Antibody (9D241) molecular weight