购物车
  • TargetMol
    您的购物车当前为空

Anti-ULK1 Antibody (6P282)

Synonyms: Unc-51-like kinase 1, Unc-51 like kinase 1(C. elegans), UNC51, Unc 51(C. elegans) like kinase 1, Unc 51 like kinase 1, UNC 51, ULK1, ULK 1, Serine/threonine protein kinase Unc51.1, Serine/threonine protein kinase ULK1, hATG1, Autophagy-related protein 1 homolog, ATG1A, ATG1, ATG 1
货号 TMAC-04195 一键复制产品信息
Rating icon 还可以

Anti-ULK1 Antibody (6P282) 是一种 Rabbit 抗体,靶向 ULK1。Anti-ULK1 Antibody (6P282) 可用于 IHC,WB。

Anti-ULK1 Antibody (6P282)

一键复制产品信息
Rating icon 还可以
货号 TMAC-04195

别名 Unc-51-like kinase 1, Unc-51 like kinase 1(C. elegans), UNC51, Unc 51(C. elegans) like kinase 1, Unc 51 like kinase 1, UNC 51, ULK1, ULK 1, Serine/threonine protein kinase Unc51.1, Serine/threonine protein kinase ULK1, hATG1, Autophagy-related protein 1 homolog, ATG1A, ATG1, ATG 1

Anti-ULK1 Antibody (6P282) 是一种 Rabbit 抗体,靶向 ULK1。Anti-ULK1 Antibody (6P282) 可用于 IHC,WB。

Anti-ULK1 Antibody (6P282)
规格价格库存数量
50 μL
¥ 1,480
5日内发货
100 μL
¥ 2,485
5日内发货
库存状态实时更新,以官网显示为准,现货产品可直接加购物车下单
大包装 & 定制
加入购物车

TargetMol的所有产品仅用作科学研究或药证申报,不能被用于人体,我们不向个人提供产品和服务。请您遵守承诺用途,不得违反法律法规规定用于任何其他用途。

实验操作小课堂
常见问题解答
查看更多

资源下载:产品操作手册

产品介绍


生物活性
产品描述
Anti-ULK1 Antibody (6P282) is a Rabbit antibody targeting ULK1. Anti-ULK1 Antibody (6P282) can be used in IHC,WB.
别名
Unc-51-like kinase 1, Unc-51 like kinase 1(C. elegans), UNC51, Unc 51(C. elegans) like kinase 1, Unc 51 like kinase 1, UNC 51, ULK1, ULK 1, Serine/threonine protein kinase Unc51.1, Serine/threonine protein kinase ULK1, hATG1, Autophagy-related protein 1 homolog, ATG1A, ATG1, ATG 1
Ig Type
IgG
克隆号
6P282
反应种属
Human,Mouse,Rat
验证活性
1. Western blot analysis of ULK1 on different cell lysate using anti-ULK1 antibody at 1/1,000 dilution. Positive control: Lane1: MCF-7, Lane2: Mouse spleen, Lane3: SH-SY5Y.
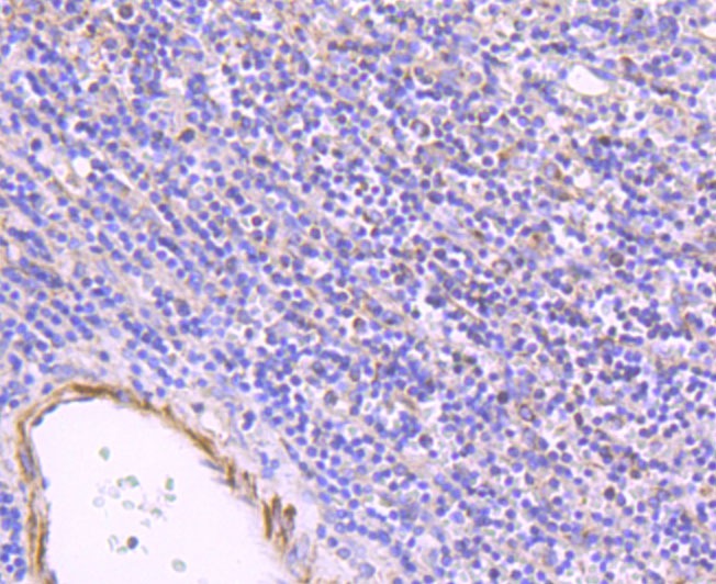
2. Immunohistochemical analysis of paraffin-embedded human spleen tissue using anti-ULK1 antibody. Counter stained with hematoxylin.
3. Immunohistochemical analysis of paraffin-embedded rat skeleton muscle tissue using anti-ULK1 antibody. Counter stained with hematoxylin.
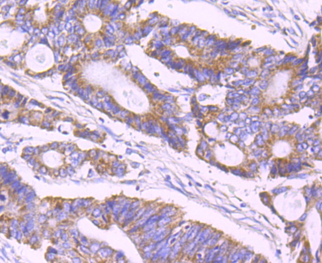
4. Immunohistochemical analysis of paraffin-embedded human colon cancer tissue using anti-ULK1 antibody. Counter stained with hematoxylin.
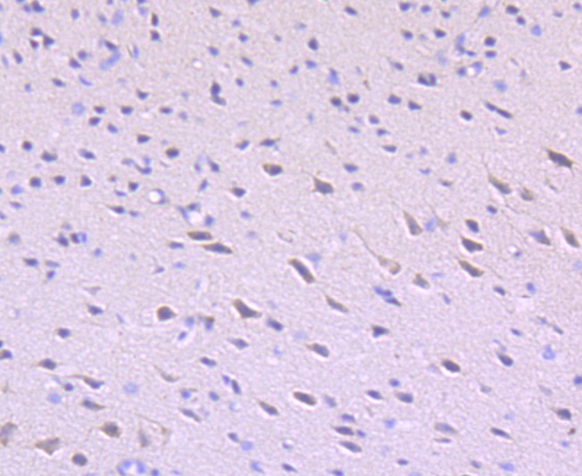
5. Immunohistochemical analysis of paraffin-embedded mouse brain tissue using anti-ULK1 antibody. Counter stained with hematoxylin.
verifiedActivityverifiedActivityverifiedActivityverifiedActivityverifiedActivity
应用IHCWB
推荐剂量
WB: 1:500-2000; IHC: 1:50-200
抗体种类
Monoclonal
宿主来源Rabbit
构建方式Recombinant Antibody
纯化方式ProA affinity purified
性状Liquid
缓冲液1*TBS (pH7.4), 1%BSA, 40%Glycerol. Preservative: 0.05% Sodium Azide.
研究背景Serine/threonine-protein kinase involved in autophagy in response to starvation. Acts upstream of phosphatidylinositol 3-kinase PIK3C3 to regulate the formation of autophagophores, the precursors of autophagosomes. Part of regulatory feedback loops in autophagy: acts both as a downstream effector and negative regulator of mammalian target of rapamycin complex 1 (mTORC1) via interaction with RPTOR. Activated via phosphorylation by AMPK and also acts as a regulator of AMPK by mediating phosphorylation of AMPK subunits PRKAA1, PRKAB2 and PRKAG1, leading to negatively regulate AMPK activity. May phosphorylate ATG13/KIAA0652 and RPTOR; however such data need additional evidences. Plays a role early in neuronal differentiation and is required for granule cell axon formation. May also phosphorylate SESN2 and SQSTM1 to regulate autophagy.
偶联与修饰
偶联
Unconjugated
抗原信息
免疫原
Recombinant Protein
Uniprot ID
化学信息
分子量Theoretical: 112 kDa.
储存&溶解度
储存方式Store at -20°C or -80°C for 12 months. Avoid repeated freeze-thaw cycles.
运输方式Shipping with blue ice.

计算器

  • 稀释 计算器
  • 配液 计算器
Related Tags: buy Anti-ULK1 Antibody (6P282) | purchase Anti-ULK1 Antibody (6P282) | Anti-ULK1 Antibody (6P282) cost | order Anti-ULK1 Antibody (6P282) | Anti-ULK1 Antibody (6P282) molecular weight