购物车
  • TargetMol
    您的购物车当前为空

Anti-TRK fused gene Antibody (4L658)

Synonyms: TRKT3 oncogene, TRKT3, TRK-fused gene protein, TRK fused gene protein, TRK fused gene, TRK fused, TFG_HUMAN, TFG, TF6, SPG57, Protein TFG, OTTHUMP00000214048, OTTHUMP00000214047, OTTHUMP00000214046, OTTHUMP00000214045, HMSNP, FLJ36137
货号 TMAC-04130 一键复制产品信息
Rating icon 还可以

Anti-TRK fused gene Antibody (4L658) 是一种 Rabbit 抗体,靶向 TRK fused gene。Anti-TRK fused gene Antibody (4L658) 可用于 ICC/IF,IHC,IP,WB。

Anti-TRK fused gene Antibody (4L658)

一键复制产品信息
Rating icon 还可以
货号 TMAC-04130

别名 TRKT3 oncogene, TRKT3, TRK-fused gene protein, TRK fused gene protein, TRK fused gene, TRK fused, TFG_HUMAN, TFG, TF6, SPG57, Protein TFG, OTTHUMP00000214048, OTTHUMP00000214047, OTTHUMP00000214046, OTTHUMP00000214045, HMSNP, FLJ36137

Anti-TRK fused gene Antibody (4L658) 是一种 Rabbit 抗体,靶向 TRK fused gene。Anti-TRK fused gene Antibody (4L658) 可用于 ICC/IF,IHC,IP,WB。

Anti-TRK fused gene Antibody (4L658)
规格价格库存数量
50 μL
¥ 1,490
5日内发货
100 μL
¥ 2,490
5日内发货
库存状态实时更新,以官网显示为准,现货产品可直接加购物车下单
大包装 & 定制
加入购物车

TargetMol的所有产品仅用作科学研究或药证申报,不能被用于人体,我们不向个人提供产品和服务。请您遵守承诺用途,不得违反法律法规规定用于任何其他用途。

实验操作小课堂
常见问题解答
查看更多

资源下载:产品操作手册

产品介绍


生物活性
产品描述
Anti-TRK fused gene Antibody (4L658) is a Rabbit antibody targeting TRK fused gene. Anti-TRK fused gene Antibody (4L658) can be used in ICC/IF,IHC,IP,WB.
别名
TRKT3 oncogene, TRKT3, TRK-fused gene protein, TRK fused gene protein, TRK fused gene, TRK fused, TFG_HUMAN, TFG, TF6, SPG57, Protein TFG, OTTHUMP00000214048, OTTHUMP00000214047, OTTHUMP00000214046, OTTHUMP00000214045, HMSNP, FLJ36137
Ig Type
IgG
克隆号
4L658
反应种属
Human,Mouse,Rat
验证活性
1. Western blot analysis of TRK fused gene on different lysates using anti-TRK fused gene antibody at 1/5,000 dilution. Positive control: Lane 1: 293T, Lane 2: Hela.
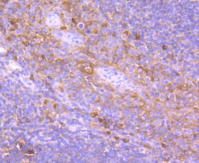
2. Immunohistochemical analysis of paraffin-embedded human tonsil tissue using anti-TRK fused gene antibody. Counter stained with hematoxylin.
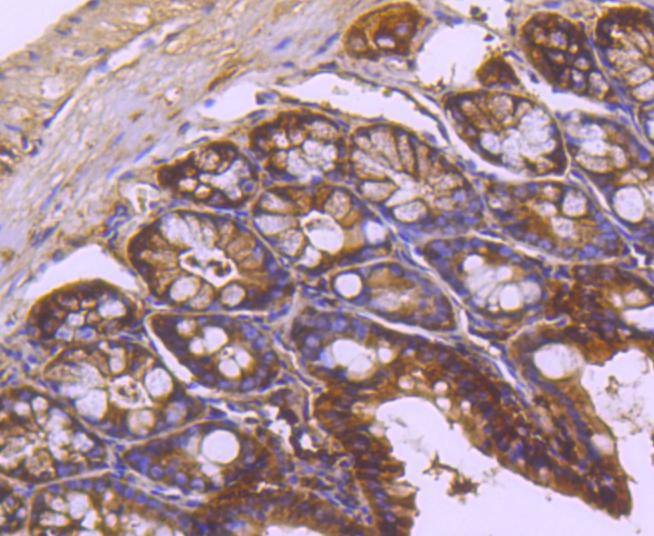
3. Immunohistochemical analysis of paraffin-embedded mouse colon tissue using anti-TRK fused gene antibody. Counter stained with hematoxylin.
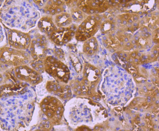
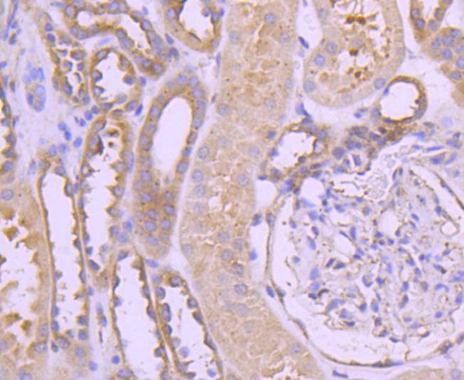
4. Immunohistochemical analysis of paraffin-embedded mouse kidney tissue using anti-TRK fused gene antibody. Counter stained with hematoxylin.
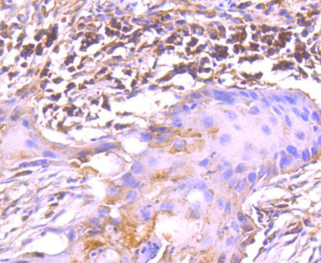
5. Immunohistochemical analysis of paraffin-embedded human lung cancer tissue using anti-TRK fused gene antibody. Counter stained with hematoxylin.
6. Immunohistochemical analysis of paraffin-embedded human kidney tissue using anti-TRK fused gene antibody. Counter stained with hematoxylin.
7. ICC staining TRK fused gene in Hela cells (green). The nuclear counter stain is DAPI (blue). Cells were fixed in paraformaldehyde, permeabilised with 0.25% Triton X100/PBS.
8. ICC staining TRK fused gene in SKOV-3 cells (green). The nuclear counter stain is DAPI (blue). Cells were fixed in paraformaldehyde, permeabilised with 0.25% Triton X100/PBS.
9. ICC staining TRK fused gene in A549 cells (green). The nuclear counter stain is DAPI (blue). Cells were fixed in paraformaldehyde, permeabilised with 0.25% Triton X100/PBS.
verifiedActivityverifiedActivityverifiedActivityverifiedActivityverifiedActivityverifiedActivityverifiedActivityverifiedActivityverifiedActivity
应用ICC/IFIHCIPWB
推荐剂量
WB: 1:1000-2000; IHC: 1:50-200; ICC/IF: 1:50-200
抗体种类
Monoclonal
宿主来源Rabbit
构建方式Recombinant Antibody
纯化方式ProA affinity purified
性状Liquid
缓冲液1*TBS (pH7.4), 1%BSA, 40%Glycerol. Preservative: 0.05% Sodium Azide.
研究背景Oncogenic rearrangements of the NTRK1 gene, which encodes the Trk A protein, are frequently detected in thyroid carcinomas. Such rearrangements fuse the NTRK1 tyrosine kinase domain to 5'-end sequences of different genes. TRK-T3 contains 1,412 nucleotides of NTRK1 preceded by 598 nucleotides belonging to TFG (TRK-fused gene), a ubiquitously expressed gene located on chromosome 3. The TRK-T3 protein within the TFG region contains a coiled-coil motif that gives the oncoprotein the capability to form complexes. The cytoplasmic TRK-T3 protein binds to and phosphorylates the Shc and SNT1/FRS2 adaptor proteins, both of which are involved in coupling the receptor tyrosine kinase to the mitogen-activated protein kinase pathway by recruiting Grb2/SOS. SHP-1 also interacts with and down-regulates TRK-T3.
偶联与修饰
偶联
Unconjugated
抗原信息
免疫原
Recombinant Protein
Uniprot ID
化学信息
分子量Theoretical: 55 kDa.
储存&溶解度
储存方式Store at -20°C or -80°C for 12 months. Avoid repeated freeze-thaw cycles.
运输方式Shipping with blue ice.

计算器

  • 稀释 计算器
  • 配液 计算器
Related Tags: buy Anti-TRK fused gene Antibody (4L658) | purchase Anti-TRK fused gene Antibody (4L658) | Anti-TRK fused gene Antibody (4L658) cost | order Anti-TRK fused gene Antibody (4L658) | Anti-TRK fused gene Antibody (4L658) molecular weight