购物车
  • 全部删除
  • TargetMol
    您的购物车当前为空

Anti-TREX1 Antibody (9A314)

一键复制产品信息
Rating icon 还可以
产品编号 TMAC-04114
别名 TREX1, Three-prime repair exonuclease 1, Deoxyribonuclease III (DNase III), 3'-5' exonuclease TREX1

Anti-TREX1 Antibody (9A314) 是一种 Rabbit 抗体,靶向 TREX1。Anti-TREX1 Antibody (9A314) 可用于 ICC,IF,IHC,WB。

Anti-TREX1 Antibody (9A314)

Anti-TREX1 Antibody (9A314)

一键复制产品信息
Rating icon 还可以
产品编号 TMAC-04114 别名 TREX1, Three-prime repair exonuclease 1, Deoxyribonuclease III (DNase III), 3'-5' exonuclease TREX1

Anti-TREX1 Antibody (9A314) 是一种 Rabbit 抗体,靶向 TREX1。Anti-TREX1 Antibody (9A314) 可用于 ICC,IF,IHC,WB。

规格价格库存数量
50 μL
¥ 1,495
5日内发货
100 μL
¥ 2,495
5日内发货
大包装 & 定制
加入购物车
TargetMol 的所有产品仅用作科学研究或药证申报,不能被用于人体,我们不向个人提供产品和服务。请您遵守承诺用途,不得违反法律法规规定用于任何其他用途。
实验操作小课堂
常见问题解答
查看更多
联系我们获取更多批次信息
资源下载

产品介绍

生物活性
产品描述
Anti-TREX1 Antibody (9A314) is a Rabbit antibody targeting TREX1. Anti-TREX1 Antibody (9A314) can be used in ICC,IF,IHC,WB.
别名TREX1, Three-prime repair exonuclease 1, Deoxyribonuclease III (DNase III), 3'-5' exonuclease TREX1
Ig Type
IgG
克隆号
9A314
交叉反应
Human
验证活性
1. Western blot analysis of TREX1 on different cell lysates using anti-TREX1 at 1/500 dilution. Positive control: Line 1: A431, Line 2: SK-Br-3.
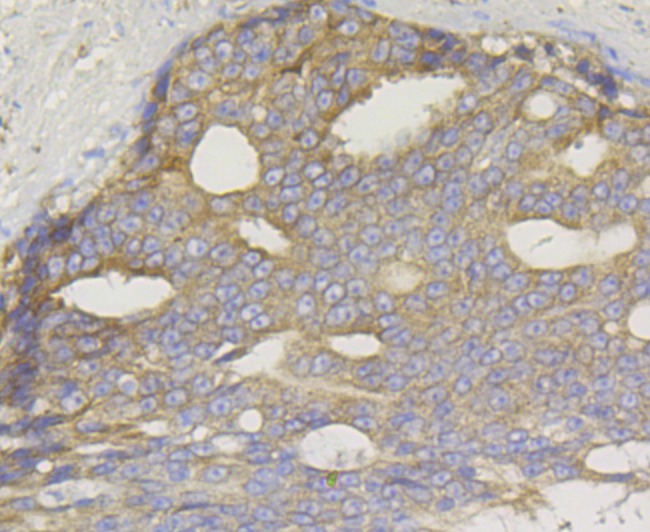
2. Immunohistochemical analysis of paraffin-embedded human colon tissue using anti-TREX1 antibody. Counter stained with hematoxylin.
3. Immunohistochemical analysis of paraffin-embedded human prostate cancer tissue using anti-TREX1 antibody. Counter stained with hematoxylin.
4. ICC staining TREX1 in Hela cells (green). The nuclear counter stain is DAPI (blue). Cells were fixed in paraformaldehyde, permeabilised with 0.25% Triton X100/PBS.
5. ICC staining TREX1 in LOVO cells (green). The nuclear counter stain is DAPI (blue). Cells were fixed in paraformaldehyde, permeabilised with 0.25% Triton X100/PBS.
6. ICC staining TREX1 in SiHa cells (green). The nuclear counter stain is DAPI (blue). Cells were fixed in paraformaldehyde, permeabilised with 0.25% Triton X100/PBS.
verifiedActivityverifiedActivityverifiedActivityverifiedActivityverifiedActivityverifiedActivity
应用ICCIFIHCWB
推荐剂量
WB: 1:500-2000; IHC: 1:50-200; ICC: 1:50-200
抗体种类
Monoclonal
宿主来源Rabbit
构建方式Recombinant Antibody
纯化方式ProA affinity purified
性状Liquid
缓冲液1*TBS (pH7.4), 1%BSA, 40%Glycerol. Preservative: 0.05% Sodium Azide.
研究背景Major cellular 3'-to-5' DNA exonuclease which digests single-stranded DNA (ssDNA) and double-stranded DNA (dsDNA) with mismatched 3' termini. Prevents cell-intrinsic initiation of autoimmunity. Acts by metabolizing DNA fragments from endogenous retroelements, including L1, LTR and SINE elements. Unless degraded, these DNA fragments accumulate in the cytosol and activate the IFN-stimulatory DNA (ISD) response and innate immune signaling. Prevents chronic ATM-dependent checkpoint activation, by processing ssDNA polynucleotide species arising from the processing of aberrant DNA replication intermediates. Inefficiently degrades oxidized DNA, such as that generated upon antimicrobial reactive oxygen production or upon absorption of UV light. During GZMA-mediated cell death, contributes to DNA damage in concert with NME1. NME1 nicks one strand of DNA and TREX1 removes bases from the free 3' end to enhance DNA damage and prevent DNA end reannealing and rapid repair.
偶联与修饰
偶联
Unconjugated
抗原信息
免疫原
Recombinant Protein: human TREX1 aa 100-300
抗原种属
human
Uniprot ID
化学信息
分子量Theoretical: 34 kDa.
存储&运输
储存方式Store at -20°C or -80°C for 12 months. Avoid repeated freeze-thaw cycles.
运输方式Shipping with blue ice.

计算器

  • 稀释 计算器

关键词

评论列表

4个月前
5.0
Rating icon 很棒

评论内容

Related Tags: buy Anti-TREX1 Antibody (9A314) | purchase Anti-TREX1 Antibody (9A314) | Anti-TREX1 Antibody (9A314) cost | order Anti-TREX1 Antibody (9A314) | Anti-TREX1 Antibody (9A314) molecular weight