购物车
  • 全部删除
  • TargetMol
    您的购物车当前为空

Anti-TOP2A Antibody (4D479)

一键复制产品信息
Rating icon 还可以
产品编号 TMAC-04086
别名 TOP2, EC 5.99.1.3, DNA topoisomerase II, DNA topoisomerase 2-alpha, alpha isozyme

Anti-TOP2A Antibody (4D479) 是一种 Rabbit 抗体,靶向 TOP2A。Anti-TOP2A Antibody (4D479) 可用于 IHC,IP,WB。

Anti-TOP2A Antibody (4D479)

Anti-TOP2A Antibody (4D479)

一键复制产品信息
Rating icon 还可以
产品编号 TMAC-04086 别名 TOP2, EC 5.99.1.3, DNA topoisomerase II, DNA topoisomerase 2-alpha, alpha isozyme

Anti-TOP2A Antibody (4D479) 是一种 Rabbit 抗体,靶向 TOP2A。Anti-TOP2A Antibody (4D479) 可用于 IHC,IP,WB。

规格价格库存数量
50 μL
¥ 1,485
5日内发货
100 μL
¥ 2,495
5日内发货
大包装 & 定制
加入购物车
TargetMol 的所有产品仅用作科学研究或药证申报,不能被用于人体,我们不向个人提供产品和服务。请您遵守承诺用途,不得违反法律法规规定用于任何其他用途。
实验操作小课堂
常见问题解答
查看更多
联系我们获取更多批次信息
资源下载

产品介绍

生物活性
产品描述
Anti-TOP2A Antibody (4D479) is a Rabbit antibody targeting TOP2A. Anti-TOP2A Antibody (4D479) can be used in IHC,IP,WB.
别名TOP2, EC 5.99.1.3, DNA topoisomerase II, DNA topoisomerase 2-alpha, alpha isozyme
Ig Type
IgG
克隆号
4D479
交叉反应
Human,Mouse,Rat
验证活性
1. Western blot analysis of Topoisomerase : alpha on mouse testis lysates using anti-Topoisomerase : alpha antibody at 1/1,000 dilution.
2. Immunohistochemical analysis of paraffin-embedded human tonsil tissue using anti-Topoisomerase : alpha antibody. Counter stained with hematoxylin.
3. Immunohistochemical analysis of paraffin-embedded human kidney tissue using anti-Topoisomerase : alpha antibody. Counter stained with hematoxylin.
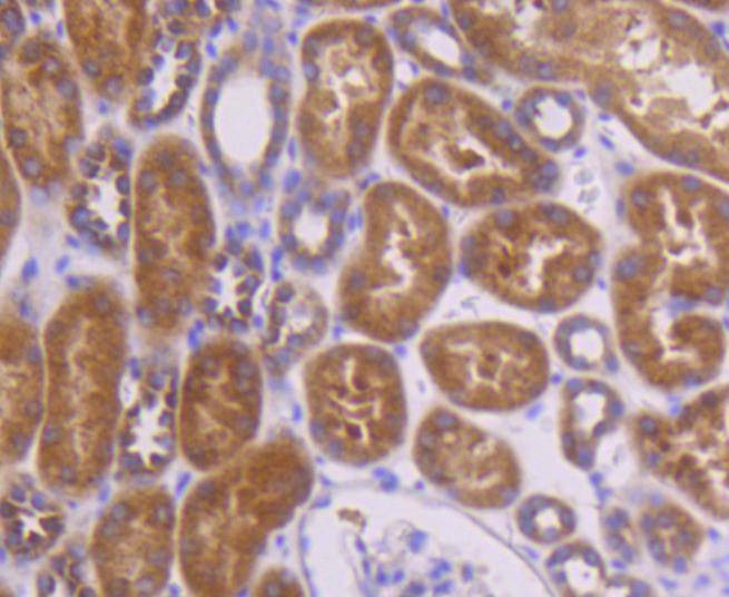
4. Immunohistochemical analysis of paraffin-embedded mouse testis tissue using anti-Topoisomerase : alpha antibody. Counter stained with hematoxylin.
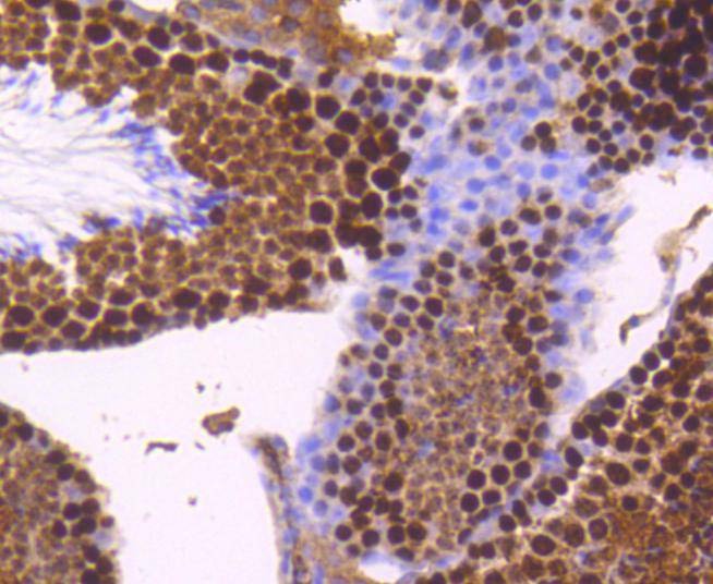
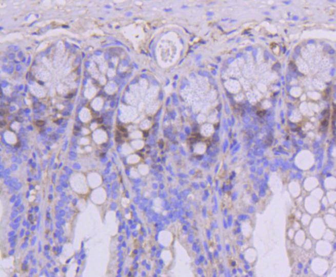
5. Immunohistochemical analysis of paraffin-embedded mouse colon tissue using anti-Topoisomerase : alpha antibody. Counter stained with hematoxylin.
6. Immunohistochemical analysis of paraffin-embedded mouse kidney tissue using anti-Topoisomerase : alpha antibody. Counter stained with hematoxylin.
verifiedActivityverifiedActivityverifiedActivityverifiedActivityverifiedActivityverifiedActivity
应用IHCIPWB
推荐剂量
WB: 1:1000-2000; IHC: 1:50-200
抗体种类
Monoclonal
宿主来源Rabbit
构建方式Recombinant Antibody
纯化方式ProA affinity purified
性状Liquid
缓冲液1*TBS (pH7.4), 1%BSA, 40%Glycerol. Preservative: 0.05% Sodium Azide.
研究背景DNA topoisomerase I and II (Topo I and Topo II) are nuclear enzymes that regulate the topological structure of DNA in eukaryotic cells by transiently breaking and rejoining DNA strands. Eukaryotic topoisomerases are capable of relaxing both positive and negative supercoils, whereas prokaryotic topoisomerases relax only negative supercoils. DNA topoisomerases play a role in DNA replication, recombination, and transcription and have been identified as targets of numerous anticancer drugs. Topo I, a ubiquitously expressed, soluble enzyme, acts by introducing a transient break in one strand of DNA, while Topo II acts by making a transient double-strand break. Topo II is encoded by two different genes to generate two distinct isoforms that are designated Topo IIα and Topo IIβ. Topo IIβ and Topo IIα, are largely homologous at their N-terminal three quarters, however, the C-terminal segments are considerably divergent, suggesting that these regions may mediate different cellular functions and account for the observed differential tissue expression patterns of the two isoforms.
偶联与修饰
偶联
Unconjugated
抗原信息
免疫原
Recombinant Protein
Uniprot ID
化学信息
分子量Theoretical: 174 kDa.
存储&运输
储存方式Store at -20°C or -80°C for 12 months. Avoid repeated freeze-thaw cycles.
运输方式Shipping with blue ice.

计算器

  • 稀释 计算器

评论列表

4个月前
5.0
Rating icon 很棒

评论内容

Related Tags: buy Anti-TOP2A Antibody (4D479) | purchase Anti-TOP2A Antibody (4D479) | Anti-TOP2A Antibody (4D479) cost | order Anti-TOP2A Antibody (4D479) | Anti-TOP2A Antibody (4D479) molecular weight