购物车
  • 全部删除
  • TargetMol
    您的购物车当前为空

Anti-TOP1 Antibody (4H437)

Rating icon 还可以
产品编号 TMAC-04087

Anti-TOP1 Antibody (4H437) 是一种 Rabbit 抗体,靶向 TOP1。Anti-TOP1 Antibody (4H437) 可用于 FCM,ICC/IF,IHC,WB。

Anti-TOP1 Antibody (4H437)

Anti-TOP1 Antibody (4H437)

一键复制产品信息
Rating icon 还可以
产品编号 TMAC-04087

Anti-TOP1 Antibody (4H437) 是一种 Rabbit 抗体,靶向 TOP1。Anti-TOP1 Antibody (4H437) 可用于 FCM,ICC/IF,IHC,WB。

规格价格库存数量
50 μL
¥ 1,495
5日内发货
100 μL
¥ 2,480
5日内发货
大包装 & 定制
加入购物车
TargetMol 的所有产品仅用作科学研究或药证申报,不能被用于人体,我们不向个人提供产品和服务。请您遵守承诺用途,不得违反法律法规规定用于任何其他用途。
实验操作小课堂
常见问题解答
查看更多
联系我们获取更多批次信息
资源下载

产品介绍

生物活性
产品描述
Anti-TOP1 Antibody (4H437) is a Rabbit antibody targeting TOP1. Anti-TOP1 Antibody (4H437) can be used in FCM,ICC/IF,IHC,WB.
Ig Type
IgG
克隆号
4H437
交叉反应
Human,Mouse
验证活性
1. Western blot analysis of TOP1 on different lysates using anti-TOP1 antibody at 1/1,000 dilution. Positive control: Lane 1: HepG2, Lane 2: Jurkat, Lane 3: MCF-7.
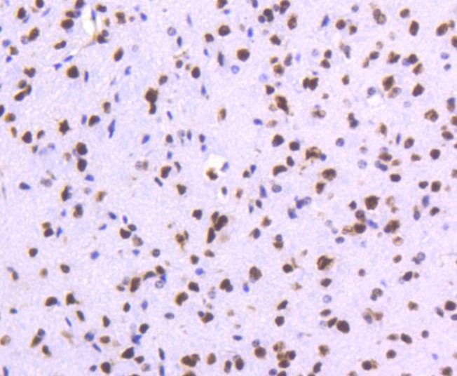
2. Immunohistochemical analysis of paraffin-embedded mouse brain tissue using anti-TOP1 antibody. Counter stained with hematoxylin.
3. ICC staining TOP1 in Hela cells (green). The nuclear counter stain is DAPI (blue). Cells were fixed in paraformaldehyde, permeabilised with 0.25% Triton X100/PBS.
4. ICC staining TOP1 in SHG-44 cells (green). The nuclear counter stain is DAPI (blue). Cells were fixed in paraformaldehyde, permeabilised with 0.25% Triton X100/PBS.
5. ICC staining TOP1 in 293 cells (green). The nuclear counter stain is DAPI (blue). Cells were fixed in paraformaldehyde, permeabilised with 0.25% Triton X100/PBS.
6. Flow cytometric analysis of HepG2 cells with TOP1 antibody at 1/50 dilution (red) compared with an unlabelled control (cells without incubation with primary antibody; black). Alexa Fluor 488-conjugated goat anti rabbit IgG was used as the secondary antibody.
verifiedActivityverifiedActivityverifiedActivityverifiedActivityverifiedActivityverifiedActivity
应用FCMICC/IFIHCWB
推荐剂量
WB: 1:1000-5000; IHC: 1:50-200; ICC/IF: 1:50-500; FCM: 1:50-100
抗体种类
Monoclonal
宿主来源Rabbit
构建方式Recombinant Antibody
纯化方式ProA affinity purified
性状Liquid
缓冲液1*TBS (pH7.4), 1%BSA, 40%Glycerol. Preservative: 0.05% Sodium Azide.
研究背景DNA topoisomerases play essential roles in many DNA metabolic processes including DNA repair. Topoisomerases can introduce DNA damage upon exposure to drugs that stabilize the covalent protein-DNA intermediate of the topoisomerase reaction. Lesions in DNA are also able to trap topoisomerase-DNA intermediates. DNA topoisomerase I (Top1) catalyzes the relaxation of supercoiled DNA by a mechanism of transient DNA strand cleavage characterized by the formation of a phosphotyrosyl bond between the DNA end and active site tyrosine. The antitumor agent camptothecin (CPT) reversibly stabilizes the covalent enzyme-DNA intermediate by inhibiting DNA religation. When a replication fork collides with a DNA Top1 cleavage complex, the covalently bound enzyme must be removed from the DNA 3' end before recombination-dependent replication restart. The tyrosyl-DNA phosphodiesterase Tdp1 and the structure-specific endonuclease Rad1-Rad10 function as primary alternative pathways of Top1 repair in Saccharomyces cerevisiae. In the budding yeast S. cerevisiae, DNA topoisomerases I and II can functionally substitute for each other in removing positive and negative DNA supercoils.
偶联与修饰
偶联
Unconjugated
抗原信息
免疫原
Recombinant Protein
Uniprot ID
化学信息
分子量Theoretical: 91 kDa.
存储&运输
储存方式Store at -20°C or -80°C for 12 months. Avoid repeated freeze-thaw cycles.
运输方式Shipping with blue ice.

计算器

  • 稀释 计算器

关键词

评论列表

4个月前
5.0
Rating icon 很棒

评论内容

Related Tags: buy Anti-TOP1 Antibody (4H437) | purchase Anti-TOP1 Antibody (4H437) | Anti-TOP1 Antibody (4H437) cost | order Anti-TOP1 Antibody (4H437) | Anti-TOP1 Antibody (4H437) molecular weight