购物车
  • TargetMol
    您的购物车当前为空

Anti-TNPO3 Antibody (8G85)

Synonyms: TRN-SR2, TRN-SR, TRNSR, TRN SR, Transportin-SR, Transportin-3, Transportin SR, Transportin 3, TNPO3_HUMAN, TNPO3, TNPO 3, MTR10A, IPO12, Importin-12, Importin 12, Imp12
货号 TMAC-04075 一键复制产品信息
Rating icon 还可以

Anti-TNPO3 Antibody (8G85) 是一种 Rabbit 抗体,靶向 TNPO3。Anti-TNPO3 Antibody (8G85) 可用于 ICC,IF,IHC,WB。

Anti-TNPO3 Antibody (8G85)

一键复制产品信息
Rating icon 还可以
货号 TMAC-04075

别名 TRN-SR2, TRN-SR, TRNSR, TRN SR, Transportin-SR, Transportin-3, Transportin SR, Transportin 3, TNPO3_HUMAN, TNPO3, TNPO 3, MTR10A, IPO12, Importin-12, Importin 12, Imp12

Anti-TNPO3 Antibody (8G85) 是一种 Rabbit 抗体,靶向 TNPO3。Anti-TNPO3 Antibody (8G85) 可用于 ICC,IF,IHC,WB。

Anti-TNPO3 Antibody (8G85)
规格价格库存数量
50 μL
¥ 1,485
5日内发货
100 μL
¥ 2,480
5日内发货
库存状态实时更新,以官网显示为准,现货产品可直接加购物车下单
大包装 & 定制
加入购物车

TargetMol的所有产品仅用作科学研究或药证申报,不能被用于人体,我们不向个人提供产品和服务。请您遵守承诺用途,不得违反法律法规规定用于任何其他用途。

实验操作小课堂
常见问题解答
查看更多

资源下载:产品操作手册

产品介绍


生物活性
产品描述
Anti-TNPO3 Antibody (8G85) is a Rabbit antibody targeting TNPO3. Anti-TNPO3 Antibody (8G85) can be used in ICC,IF,IHC,WB.
别名
TRN-SR2, TRN-SR, TRNSR, TRN SR, Transportin-SR, Transportin-3, Transportin SR, Transportin 3, TNPO3_HUMAN, TNPO3, TNPO 3, MTR10A, IPO12, Importin-12, Importin 12, Imp12
Ig Type
IgG
克隆号
8G85
反应种属
Human,Mouse,Rat
验证活性
1. Western blot analysis of TNPO3 on K562 cell (1), HL-60 cell (2) and mouse pancreas tissue (3) lysate using anti-TNPO3 antibody at 1/1,000 dilution.
2. Immunohistochemical analysis of paraffin-embedded human liver cancer tissue using anti-TNPO3 antibody. Counter stained with hematoxylin.
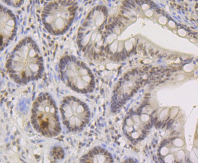
3. Immunohistochemical analysis of paraffin-embedded human small intestine tissue using anti-TNPO3 antibody. Counter stained with hematoxylin.
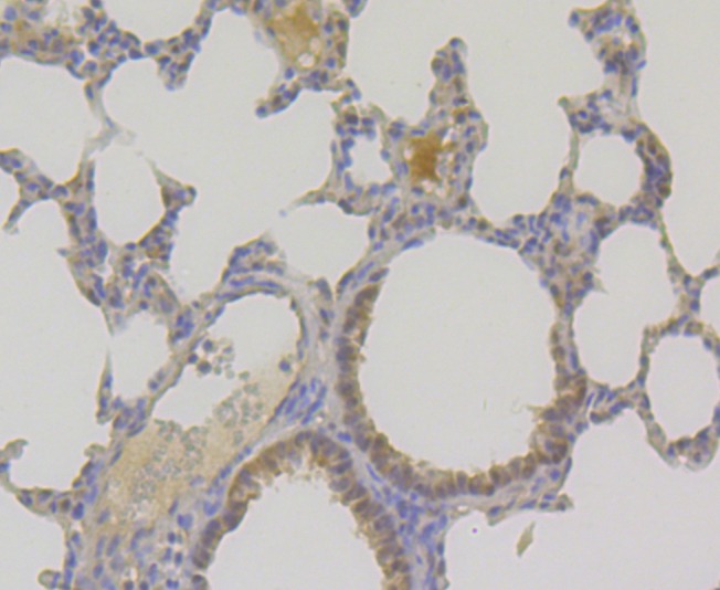
4. Immunohistochemical analysis of paraffin-embedded mouse lung tissue using anti-TNPO3 antibody. Counter stained with hematoxylin.
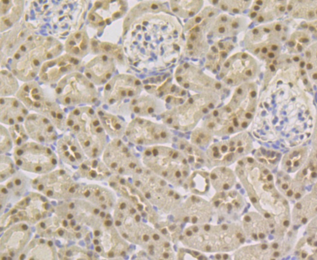
5. Immunohistochemical analysis of paraffin-embedded mouse kidney tissue using anti-TNPO3 antibody. Counter stained with hematoxylin.
6. ICC staining TNPO3 in A549 cells (green). The nuclear counter stain is DAPI (blue). Cells were fixed in paraformaldehyde, permeabilised with 0.25% Triton X100/PBS.
7. ICC staining TNPO3 in SH-SY-5Y cells (green). The nuclear counter stain is DAPI (blue). Cells were fixed in paraformaldehyde, permeabilised with 0.25% Triton X100/PBS.
8. ICC staining TNPO3 in SiHa cells (green). The nuclear counter stain is DAPI (blue). Cells were fixed in paraformaldehyde, permeabilised with 0.25% Triton X100/PBS.
verifiedActivityverifiedActivityverifiedActivityverifiedActivityverifiedActivityverifiedActivityverifiedActivityverifiedActivity
应用ICCIFIHCWB
推荐剂量
WB: 1:500-2000; IHC: 1:50-200; ICC: 1:50-200
抗体种类
Monoclonal
宿主来源Rabbit
构建方式Recombinant Antibody
纯化方式ProA affinity purified
性状Liquid
缓冲液1*TBS (pH7.4), 1%BSA, 40%Glycerol. Preservative: 0.05% Sodium Azide.
研究背景The Importin complex consists of Importin-α and Importin-β proteins which assist in transport of arginine- or serine-rich (SR) proteins across the nucleus. Importin-12, also known as Transportin-3 or Transportin-SR, is a member of the Importin-β family and functions as a nuclear transport receptor for serine/arginine-rich proteins. Through recognition of phosphorylated RS domains, Importin-12 mediates the nuclear import of several SR proteins, such as splicing factors SFRS1 and SFRS2. By regulating the nucleocytoplasmic transport of these and other SR mRNA splicing factors, Importin-12 controls their access to mRNA and, therefore, acts a transcriptional regulator.
偶联与修饰
偶联
Unconjugated
抗原信息
Uniprot ID
化学信息
分子量Theoretical: 104 kDa.
储存&溶解度
储存方式Store at -20°C or -80°C for 12 months. Avoid repeated freeze-thaw cycles.
运输方式Shipping with blue ice.

计算器

  • 稀释 计算器
  • 配液 计算器
Related Tags: buy Anti-TNPO3 Antibody (8G85) | purchase Anti-TNPO3 Antibody (8G85) | Anti-TNPO3 Antibody (8G85) cost | order Anti-TNPO3 Antibody (8G85) | Anti-TNPO3 Antibody (8G85) molecular weight