购物车
  • 全部删除
  • TargetMol
    您的购物车当前为空

Anti-TIA1 Antibody (9Q940)

一键复制产品信息
Rating icon 还可以
产品编号 TMAC-04038
别名 WDM, TIAR, TIAL1, TIA1_HUMAN, TIA1 protein, TIA1 cytotoxic granule associated RNA binding protein like 1, TIA1 cytotoxic granule associated RNA binding protein, TIA-1, TIA1, TIA 1 cytotoxic granule associated RNA binding protein, TIA 1, Tia, T-cell-restricted intracellular antigen-1, RNA-binding protein TIA-1, RNA binding protein TIA1, RNA binding protein TIA 1, p40-TIA-1 (containing p15-TIA-1), p40-TIA-1, p40 TIA 1, Nucleolysin TIA-1 isoform p40, Nucleolysin TIA1 isoform p40, Nucleolysin TIA 1 isoform p40, mTIA-1, Cytotoxic granule associated RNA binding protein 1, Cytotoxic granule associated RNA binding protein

Anti-TIA1 Antibody (9Q940) 是一种 Rabbit 抗体,靶向 TIA1。Anti-TIA1 Antibody (9Q940) 可用于 ICC/IF,IHC,IP,WB。

Anti-TIA1 Antibody (9Q940)

Anti-TIA1 Antibody (9Q940)

一键复制产品信息
Rating icon 还可以
产品编号 TMAC-04038 别名 WDM, TIAR, TIAL1, TIA1_HUMAN, TIA1 protein, TIA1 cytotoxic granule associated RNA binding protein like 1, TIA1 cytotoxic granule associated RNA binding protein, TIA-1, TIA1, TIA 1 cytotoxic granule associated RNA binding protein, TIA 1, Tia, T-cell-restricted intracellular antigen-1, RNA-binding protein TIA-1, RNA binding protein TIA1, RNA binding protein TIA 1, p40-TIA-1 (containing p15-TIA-1), p40-TIA-1, p40 TIA 1, Nucleolysin TIA-1 isoform p40, Nucleolysin TIA1 isoform p40, Nucleolysin TIA 1 isoform p40, mTIA-1, Cytotoxic granule associated RNA binding protein 1, Cytotoxic granule associated RNA binding protein

Anti-TIA1 Antibody (9Q940) 是一种 Rabbit 抗体,靶向 TIA1。Anti-TIA1 Antibody (9Q940) 可用于 ICC/IF,IHC,IP,WB。

规格价格库存数量
50 μL
¥ 1,485
5日内发货
100 μL
¥ 2,495
5日内发货
大包装 & 定制
加入购物车
TargetMol 的所有产品仅用作科学研究或药证申报,不能被用于人体,我们不向个人提供产品和服务。请您遵守承诺用途,不得违反法律法规规定用于任何其他用途。
实验操作小课堂
常见问题解答
查看更多
联系我们获取更多批次信息
资源下载

产品介绍

生物活性
产品描述
Anti-TIA1 Antibody (9Q940) is a Rabbit antibody targeting TIA1. Anti-TIA1 Antibody (9Q940) can be used in ICC/IF,IHC,IP,WB.
别名WDM, TIAR, TIAL1, TIA1_HUMAN, TIA1 protein, TIA1 cytotoxic granule associated RNA binding protein like 1, TIA1 cytotoxic granule associated RNA binding protein, TIA-1, TIA1, TIA 1 cytotoxic granule associated RNA binding protein, TIA 1, Tia, T-cell-restricted intracellular antigen-1, RNA-binding protein TIA-1, RNA binding protein TIA1, RNA binding protein TIA 1, p40-TIA-1 (containing p15-TIA-1), p40-TIA-1, p40 TIA 1, Nucleolysin TIA-1 isoform p40, Nucleolysin TIA1 isoform p40, Nucleolysin TIA 1 isoform p40, mTIA-1, Cytotoxic granule associated RNA binding protein 1, Cytotoxic granule associated RNA binding protein
Ig Type
IgG
克隆号
9Q940
交叉反应
Human,Mouse
验证活性
1. Western blot analysis of TIA1 on Jurkat cells lysates using anti-TIA1 antibody at 1/500 dilution.
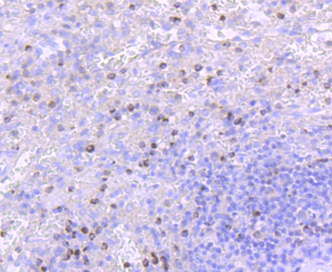
2. Immunohistochemical analysis of paraffin-embedded human tonsil tissue using anti-TIA1 antibody. Counter stained with hematoxylin.
3. Immunohistochemical analysis of paraffin-embedded human spleen tissue using anti-TIA1 antibody. Counter stained with hematoxylin.
4. ICC staining TIA1 in 293T cells (red). The nuclear counter stain is DAPI (blue). Cells were fixed in paraformaldehyde, permeabilised with 0.25% Triton X100/PBS.
5. ICC staining TIA1 in A431 cells (red). The nuclear counter stain is DAPI (blue). Cells were fixed in paraformaldehyde, permeabilised with 0.25% Triton X100/PBS.
6. ICC staining TIA1 in Hela cells (red). The nuclear counter stain is DAPI (blue). Cells were fixed in paraformaldehyde, permeabilised with 0.25% Triton X100/PBS.
verifiedActivityverifiedActivityverifiedActivityverifiedActivityverifiedActivityverifiedActivity
应用ICC/IFIHCIPWB
推荐剂量
WB: 1:500-1000; IHC: 1:50-200; ICC/IF: 1:50-200; IP: 1:10-50
抗体种类
Monoclonal
宿主来源Rabbit
构建方式Recombinant Antibody
纯化方式ProA affinity purified
性状Liquid
缓冲液1*TBS (pH7.4), 1%BSA, 40%Glycerol. Preservative: 0.05% Sodium Azide.
研究背景FAS, also referred to as CD95 or APO-1, is a type I transmembrane protein that plays a central role mediating viral immunity. TIA-1 and TIAR are two closely related proteins that possess three RRMs (RNA recognition motifs), designated RRM 1, 2 and 3. Although both TIA-1 and TIAR are thought to function as mediators of apoptotic cell death, their specific roles in such pathways are unknown. Unlike TIA-1, which is found in the granules of cytotoxic lymphocytes, TIAR expression is limited to the nucleus and found in a much broader range of cells including, but not limited to, cells of hematopoietic origin. TIAR is translocated to the cytoplasm shortly after FAS ligation and this event immediately proceeds the onset of DNA fragmentation. A novel serine/threonine kinase that is activated as a result of FAS ligation, designated FAST (FAS-activated serine/threonine), shows kinase specificity towards both TIA-1 and TIAR. In unstimulated Jurkat cells, FAST resides in the cytoplasm as a highly phosphorylated protein and is quickly dephosphorylated and activated in response to stimulated FAS.
偶联与修饰
偶联
Unconjugated
抗原信息
免疫原
Recombinant Protein
Uniprot ID
化学信息
分子量Theoretical: 43 kDa.
存储&运输
储存方式Store at -20°C or -80°C for 12 months. Avoid repeated freeze-thaw cycles.
运输方式Shipping with blue ice.

计算器

  • 稀释 计算器

评论列表

4个月前
5.0
Rating icon 很棒

评论内容

Related Tags: buy Anti-TIA1 Antibody (9Q940) | purchase Anti-TIA1 Antibody (9Q940) | Anti-TIA1 Antibody (9Q940) cost | order Anti-TIA1 Antibody (9Q940) | Anti-TIA1 Antibody (9Q940) molecular weight