购物车
  • TargetMol
    您的购物车当前为空

Anti-Thy1/CD90 Antibody (8R30)

Synonyms: Thy-1 membrane glycoprotein, Thy-1 antigen, CDw90
货号 TMAC-04034 一键复制产品信息
Rating icon 还可以

Anti-Thy1/CD90 Antibody (8R30) 是一种 Rabbit 抗体,靶向 Thy1/CD90。Anti-Thy1/CD90 Antibody (8R30) 可用于 ICC/IF,IHC,WB。

Anti-Thy1/CD90 Antibody (8R30)

一键复制产品信息
Rating icon 还可以
货号 TMAC-04034

别名 Thy-1 membrane glycoprotein, Thy-1 antigen, CDw90

Anti-Thy1/CD90 Antibody (8R30) 是一种 Rabbit 抗体,靶向 Thy1/CD90。Anti-Thy1/CD90 Antibody (8R30) 可用于 ICC/IF,IHC,WB。

Anti-Thy1/CD90 Antibody (8R30)
规格价格库存数量
50 μL
¥ 1,495
5日内发货
100 μL
¥ 2,495
5日内发货
库存状态实时更新,以官网显示为准,现货产品可直接加购物车下单
大包装 & 定制
加入购物车

TargetMol的所有产品仅用作科学研究或药证申报,不能被用于人体,我们不向个人提供产品和服务。请您遵守承诺用途,不得违反法律法规规定用于任何其他用途。

实验操作小课堂
常见问题解答
查看更多

资源下载:产品操作手册

产品介绍


生物活性
产品描述
Anti-Thy1/CD90 Antibody (8R30) is a Rabbit antibody targeting Thy1/CD90. Anti-Thy1/CD90 Antibody (8R30) can be used in ICC/IF,IHC,WB.
别名
Thy-1 membrane glycoprotein, Thy-1 antigen, CDw90
Ig Type
IgG
克隆号
8R30
反应种属
Human
验证活性
1. Western blot analysis of THY1 on different lysates using anti-THY1 antibody at 1/1,000 dilution. Positive control: Lane 1: Hela, Lane 2: HepG2, Lane 3: HUVEC.
2. Immunohistochemical analysis of paraffin-embedded human lung cancer tissue using anti-THY1 antibody. Counter stained with hematoxylin.
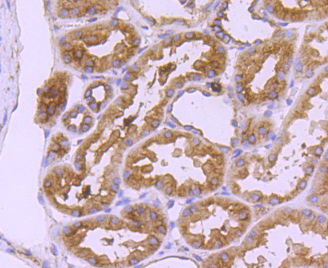
3. Immunohistochemical analysis of paraffin-embedded human kidney tissue using anti-THY1 antibody. Counter stained with hematoxylin.
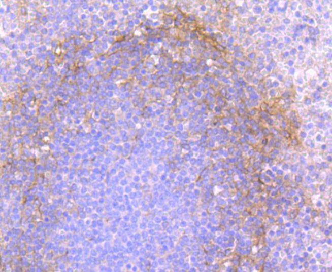
4. Immunohistochemical analysis of paraffin-embedded human tonsil tissue using anti-THY1 antibody. Counter stained with hematoxylin.
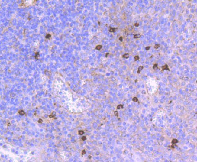
5. Immunohistochemical analysis of paraffin-embedded human spleen tissue using anti-THY1 antibody. Counter stained with hematoxylin.
6. ICC staining THY1 in Hela cells (red). The nuclear counter stain is DAPI (blue). Cells were fixed in paraformaldehyde, permeabilised with 0.25% Triton X100/PBS.
7. ICC staining THY1 in MCF-7 cells (red). The nuclear counter stain is DAPI (blue). Cells were fixed in paraformaldehyde, permeabilised with 0.25% Triton X100/PBS.
8. ICC staining THY1 in PC-12 cells (red). The nuclear counter stain is DAPI (blue). Cells were fixed in paraformaldehyde, permeabilised with 0.25% Triton X100/PBS.
verifiedActivityverifiedActivityverifiedActivityverifiedActivityverifiedActivityverifiedActivityverifiedActivityverifiedActivity
应用ICC/IFIHCWB
推荐剂量
WB: 1:1000-5000; IHC: 1:50-200; ICC/IF: 1:50-200
抗体种类
Monoclonal
宿主来源Rabbit
构建方式Recombinant Antibody
纯化方式ProA affinity purified
性状Liquid
缓冲液1*TBS (pH7.4), 1%BSA, 40%Glycerol. Preservative: 0.05% Sodium Azide.
研究背景Over 100 cell surface markers have been identified through the use of monoclonal antibodies. Many of these markers have proven useful in identifying specific subpopulations of cells within mixed colonies. Accordingly, these molecules have been assigned a "cluster of differentiation" (CD) designation. One such marker, designated Thy-1 (also referred to as CDw90), is a phosphatidyl-anchored cell surface glycoprotein which, when coexpressed with CD34 on cells from normal human bone marrow, identifies a subpopulation that includes putative hematopoietic, pleuripotent stem cells. Thy-1+ cells from bone marrow have been implicated in syngeneic graft versus host disease and may serve to regulate autoreactivity after bone marrow transplant.
偶联与修饰
偶联
Unconjugated
抗原信息
免疫原
Recombinant Protein
Uniprot ID
化学信息
分子量Theoretical: 45 kDa.
储存&溶解度
储存方式Store at -20°C or -80°C for 12 months. Avoid repeated freeze-thaw cycles.
运输方式Shipping with blue ice.

计算器

  • 稀释 计算器
  • 配液 计算器
Related Tags: buy Anti-Thy1/CD90 Antibody (8R30) | purchase Anti-Thy1/CD90 Antibody (8R30) | Anti-Thy1/CD90 Antibody (8R30) cost | order Anti-Thy1/CD90 Antibody (8R30) | Anti-Thy1/CD90 Antibody (8R30) molecular weight