购物车
  • TargetMol
    您的购物车当前为空

Anti-Synaptophysin/SYP Polyclonal Antibody

Synonyms: SYP, Synaptophysin, Major synaptic vesicle protein p38
货号 TMAB-01802 一键复制产品信息
Rating icon 还可以

Anti-Synaptophysin/SYP Polyclonal Antibody 是一种 Rabbit 抗体,靶向 Synaptophysin/SYP。Anti-Synaptophysin/SYP Polyclonal Antibody 可用于 IF,IHC-Fr,IHC-P,WB。

Anti-Synaptophysin/SYP Polyclonal Antibody

一键复制产品信息
Rating icon 还可以
货号 TMAB-01802

别名 SYP, Synaptophysin, Major synaptic vesicle protein p38

Anti-Synaptophysin/SYP Polyclonal Antibody 是一种 Rabbit 抗体,靶向 Synaptophysin/SYP。Anti-Synaptophysin/SYP Polyclonal Antibody 可用于 IF,IHC-Fr,IHC-P,WB。

Anti-Synaptophysin/SYP Polyclonal Antibody
规格价格库存数量
50 μL
¥ 1,175
5日内发货
100 μL
¥ 1,960
5日内发货
200 μL
¥ 2,785
5日内发货
库存状态实时更新,以官网显示为准,现货产品可直接加购物车下单
大包装 & 定制
加入购物车

TargetMol的所有产品仅用作科学研究或药证申报,不能被用于人体,我们不向个人提供产品和服务。请您遵守承诺用途,不得违反法律法规规定用于任何其他用途。

实验操作小课堂
常见问题解答
查看更多

资源下载:产品操作手册

产品介绍


生物活性
产品描述
Anti-Synaptophysin/SYP Polyclonal Antibody is a Rabbit antibody targeting Synaptophysin/SYP. Anti-Synaptophysin/SYP Polyclonal Antibody can be used in IF,IHC-Fr,IHC-P,WB.
别名
SYP, Synaptophysin, Major synaptic vesicle protein p38
Ig Type
IgG
反应种属
Human,Mouse (predicted:Rat,Pig,Cow,Horse,Rabbit,Sheep)
验证活性
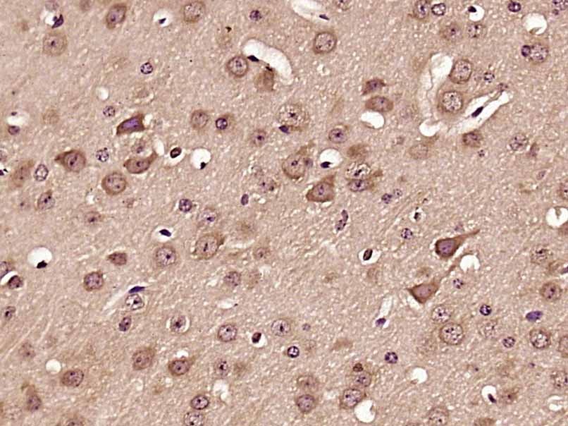
1. Paraformaldehyde-fixed, paraffin embedded (Mouse brain); Antigen retrieval by boiling in sodium citrate buffer (pH6.0) for 15 min; Block endogenous peroxidase by 3% hydrogen peroxide for 20 min; Blocking buffer (normal goat serum) at 37°C for 30 min; Antibody incubation with (Synaptophysin) Polyclonal Antibody, Unconjugated (TMAB-01802) at 1:400 overnight at 4°C, followed by operating according to SP Kit (Rabbit) instructionsand DAB staining.
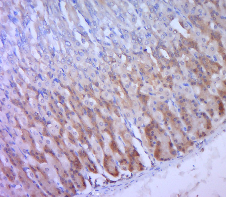
2. Paraformaldehyde-fixed, paraffin embedded (mouse stomach tissue); Antigen retrieval by boiling in sodium citrate buffer (pH6.0) for 15 min; Block endogenous peroxidase by 3% hydrogen peroxide for 20 min; Blocking buffer (normal goat serum) at 37°C for 30 min; Antibody incubation with (Synaptophysin) Polyclonal Antibody, Unconjugated (TMAB-01802) at 1:400 overnight at 4°C, followed by a conjugated secondary for 20 min and DAB staining.
3. Sample:
Cerebrum (mouse) Lysate at 40 μg
Primary: Anti-Synaptophysin (TMAB-01802) at 1/300 dilution
Secondary: IRDye800CW Goat Anti-Rabbit IgG at 1/20000 dilution
Predicted band size: 34 kDa
Observed band size: 34 kDa
4. Paraformaldehyde-fixed, paraffin embedded (human brain); Antigen retrieval by boiling in sodium citrate buffer (pH6.0) for 15 min; Block endogenous peroxidase by 3% hydrogen peroxide for 20 min; Blocking buffer (normal goat serum) at 37°C for 30 min; Antibody incubation with (Synaptophysin) Polyclonal Antibody, Unconjugated (TMAB-01802) at 1:200 overnight at 4°C, followed by operating according to SP Kit (Rabbit) instructionsand DAB staining.
verifiedActivityverifiedActivityverifiedActivityverifiedActivity
应用IFIHC-FrIHC-PWB
推荐剂量
WB: 1:500-2000; IHC-P: 1:100-500; IHC-Fr: 1:100-500; IF: 1:100-500
抗体种类
Polyclonal
宿主来源Rabbit
亚细胞定位Cytoplasmic vesicle > secretory vesicle > synaptic vesicle membrane. Cell junction > synapse > synaptosome.
组织特异性Characteristic of a type of small (30-80 nm) neurosecretory vesicles, including presynaptic vesicles, but also vesicles of various neuroendocrine cells of both neuronal and epithelial phenotype.
构建方式Polyclonal Antibody
纯化方式Protein A purified
性状Liquid
缓冲液0.01M TBS (pH7.4) with 1% BSA, 0.02% Proclin300 and 50% Glycerol.
浓度1 mg/mL
研究背景This gene encodes an integral membrane protein of small synaptic vesicles in brain and endocrine cells. The protein also binds cholesterol and is thought to direct targeting of vesicle-associated membrane protein 2 (synaptobrevin) to intracellular compartments. Mutations in this gene are associated with X-linked mental retardation (XLMR). [provided by RefSeq, Aug 2011]
抗原信息
免疫原
KLH conjugated synthetic peptide: human Synaptophysin
抗原种属
Human
基因名称
SYP
基因ID
蛋白名称
Synaptophysin
Uniprot ID
研究领域
Synapse marker,SNAPs & SNAREs
功能
Possibly involved in structural functions as organizing other membrane components or in targeting the vesicles to the plasma membrane. Involved in the regulation of short-term and long-term synaptic plasticity.
化学信息
分子量Theoretical: 34 kDa. Actual: 34 kDa.
储存&溶解度
储存方式Store at -20°C or -80°C for 12 months. Avoid repeated freeze-thaw cycles.
运输方式Shipping with blue ice.

计算器

  • 稀释 计算器
  • 配液 计算器
Related Tags: buy Anti-Synaptophysin/SYP Polyclonal Antibody | purchase Anti-Synaptophysin/SYP Polyclonal Antibody | Anti-Synaptophysin/SYP Polyclonal Antibody cost | order Anti-Synaptophysin/SYP Polyclonal Antibody | Anti-Synaptophysin/SYP Polyclonal Antibody molecular weight