购物车
  • 全部删除
  • TargetMol
    您的购物车当前为空

Anti-Synaptophysin/SYP Antibody (1U942)

一键复制产品信息
Rating icon 还可以
产品编号 TMAC-03936

Anti-Synaptophysin/SYP Antibody (1U942) 是一种 Rabbit 抗体,靶向 Synaptophysin/SYP。Anti-Synaptophysin/SYP Antibody (1U942) 可用于 ICC/IF,IHC,WB。

Anti-Synaptophysin/SYP Antibody (1U942)

Anti-Synaptophysin/SYP Antibody (1U942)

一键复制产品信息
Rating icon 还可以
产品编号 TMAC-03936

Anti-Synaptophysin/SYP Antibody (1U942) 是一种 Rabbit 抗体,靶向 Synaptophysin/SYP。Anti-Synaptophysin/SYP Antibody (1U942) 可用于 ICC/IF,IHC,WB。

规格价格库存数量
50 μL
¥ 1,490
5日内发货
100 μL
¥ 2,490
5日内发货
大包装 & 定制
加入购物车
TargetMol 的所有产品仅用作科学研究或药证申报,不能被用于人体,我们不向个人提供产品和服务。请您遵守承诺用途,不得违反法律法规规定用于任何其他用途。
实验操作小课堂
常见问题解答
查看更多
联系我们获取更多批次信息
资源下载

产品介绍

生物活性
产品描述
Anti-Synaptophysin/SYP Antibody (1U942) is a Rabbit antibody targeting Synaptophysin/SYP. Anti-Synaptophysin/SYP Antibody (1U942) can be used in ICC/IF,IHC,WB.
Ig Type
IgG
克隆号
1U942
交叉反应
Human,Mouse,Rat
验证活性
1. Western blot analysis of Synaptophysin on different lysates using anti-Synaptophysin at 1/500 dilution. Positive control: Lane 1: Human brain, Lane 2: PC-12.
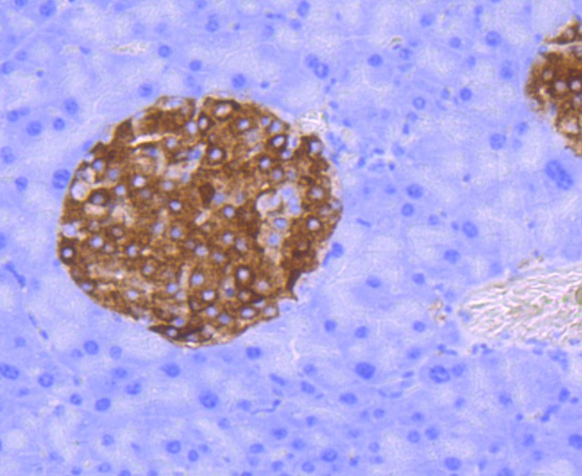
2. Immunohistochemical analysis of paraffin-embedded human pancreas tissue using anti-Synaptophysin antibody. Counter stained with hematoxylin.
3. Immunohistochemical analysis of paraffin-embedded mouse brain tissue using anti-Synaptophysin antibody. Counter stained with hematoxylin.
4. Immunohistochemical analysis of paraffin-embedded mouse pancreas tissue using anti-Synaptophysin antibody. Counter stained with hematoxylin.
5. ICC staining Synaptophysin in N2A cells (red). The nuclear counter stain is DAPI (blue). Cells were fixed in paraformaldehyde, permeabilised with 0.25% Triton X100/PBS.
6. ICC staining Synaptophysin in PC-12 cells (red). The nuclear counter stain is DAPI (blue). Cells were fixed in paraformaldehyde, permeabilised with 0.25% Triton X100/PBS.
verifiedActivityverifiedActivityverifiedActivityverifiedActivityverifiedActivityverifiedActivity
应用ICC/IFIHCWB
推荐剂量
WB: 1:1000-5000; IHC: 1:50-200; ICC/IF: 1:50-200
抗体种类
Monoclonal
宿主来源Rabbit
构建方式Recombinant Antibody
纯化方式ProA affinity purified
性状Liquid
缓冲液1*TBS (pH7.4), 1%BSA, 40%Glycerol. Preservative: 0.05% Sodium Azide.
研究背景Synaptic vesicles participate in a cycle of fusion with the plasma membrane and reformation by endocytosis. Synaptic vesicle protein synaptophysin (SYP) is targeted to early endosomes in transfected fibroblasts and in neuroendocrine cells. SYP is an N-glycosylated intergral membrane protein found in neurons and endocrine cells that associates into hexamers to form a large conductance channel. SYP contains four transmembrane domains and may function as a gap juction-like channel. Membrane cholesterol specfically interacts with SYP to play a role in vesicle formation. Synaptobrevin (VAMP) also binds to SYP and the resultant complex is upregulated during neuronal development, but is absent in exocytosis fusion complex. Thus, the synaptophysin-synaptobrevin complex is not essential for exocytosis, but rather provides a pool of synaptobrevin for exocytosis. In addition, the tail domain of brain Myosin V also forms a stable complex with synaptobrevin II and SYP, and this complex is disassembled upon the depolarization-induced entry of Ca2+ into intact nerve endings.
偶联与修饰
偶联
Unconjugated
抗原信息
免疫原
Recombinant Protein
Uniprot ID
化学信息
分子量Theoretical: 38 kDa.
存储&运输
储存方式Store at -20°C or -80°C for 12 months. Avoid repeated freeze-thaw cycles.
运输方式Shipping with blue ice.

计算器

  • 稀释 计算器

关键词

评论列表

4个月前
5.0
Rating icon 很棒

评论内容

Related Tags: buy Anti-Synaptophysin/SYP Antibody (1U942) | purchase Anti-Synaptophysin/SYP Antibody (1U942) | Anti-Synaptophysin/SYP Antibody (1U942) cost | order Anti-Synaptophysin/SYP Antibody (1U942) | Anti-Synaptophysin/SYP Antibody (1U942) molecular weight