购物车
  • TargetMol
    您的购物车当前为空

Anti-Survivin Antibody (2N702)

Synonyms: IAP4, EPR-1, BIRC5, baculoviral IAP repeat containing 5, API4
货号 TMAC-03921 一键复制产品信息
Rating icon 还可以

Anti-Survivin Antibody (2N702) 是一种 Rabbit 抗体,靶向 Survivin。Anti-Survivin Antibody (2N702) 可用于 IHC,IP,WB。

Anti-Survivin Antibody (2N702)

一键复制产品信息
Rating icon 还可以
货号 TMAC-03921

别名 IAP4, EPR-1, BIRC5, baculoviral IAP repeat containing 5, API4

Anti-Survivin Antibody (2N702) 是一种 Rabbit 抗体,靶向 Survivin。Anti-Survivin Antibody (2N702) 可用于 IHC,IP,WB。

Anti-Survivin Antibody (2N702)
规格价格库存数量
50 μL
¥ 1,485
5日内发货
100 μL
¥ 2,495
5日内发货
库存状态实时更新,以官网显示为准,现货产品可直接加购物车下单
大包装 & 定制
加入购物车

TargetMol的所有产品仅用作科学研究或药证申报,不能被用于人体,我们不向个人提供产品和服务。请您遵守承诺用途,不得违反法律法规规定用于任何其他用途。

实验操作小课堂
常见问题解答
查看更多

资源下载:产品操作手册

产品介绍


生物活性
产品描述
Anti-Survivin Antibody (2N702) is a Rabbit antibody targeting Survivin. Anti-Survivin Antibody (2N702) can be used in IHC,IP,WB.
别名
IAP4, EPR-1, BIRC5, baculoviral IAP repeat containing 5, API4
Ig Type
IgG
克隆号
2N702
反应种属
Mouse,Rat
验证活性
1. Western blot analysis of Survivin on different lysates using anti-Survivin antibody at 1/1,000 dilution. Positive control: Lane 1: L929, Lane 2: F9.
2. Immunohistochemical analysis of paraffin-embedded rat spleen tissue using anti-Survivin antibody. Counter stained with hematoxylin.
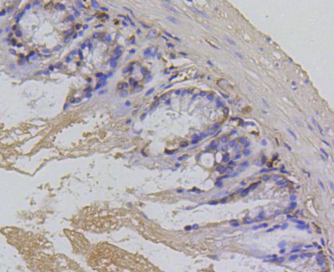
3. Immunohistochemical analysis of paraffin-embedded mouse testis tissue using anti-Survivin antibody. Counter stained with hematoxylin.
4. Immunohistochemical analysis of paraffin-embedded mouse colon tissue using anti-Survivin antibody. Counter stained with hematoxylin.
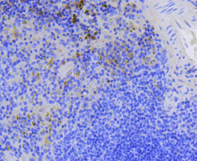
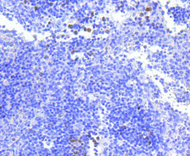
5. Immunohistochemical analysis of paraffin-embedded mouse spleen tissue using anti-Survivin antibody. Counter stained with hematoxylin.
verifiedActivityverifiedActivityverifiedActivityverifiedActivityverifiedActivity
应用IHCIPWB
抗体种类
Monoclonal
宿主来源Rabbit
构建方式Recombinant Antibody
纯化方式ProA affinity purified
性状Liquid
缓冲液1*TBS (pH7.4), 1%BSA, 40%Glycerol. Preservative: 0.05% Sodium Azide.
研究背景The baculovirus protein p35 inhibits virally-induced apoptosis of invertebrate and mammalian cells and may function to impair the clearing of virally infected cells by the immune system of the host. This is accomplished at least in part by the ability of p35 to block both TNF- and FAS-mediated apoptosis through the inhibition of the ICE family of serine proteases. Two mammalian homologs of baculovirus p35, referred to as inhibitor of apoptosis protein (IAP) 1 and 2, share an amino-terminal baculovirus IAP repeat (BIR) motif and a carboxy-terminal RING finger. Although the c-IAPs do not directly associate with the TNF receptor (TNF-R), they efficiently block TNF-mediated apoptosis through their interaction with the downstream TNF-R effectors, TRAF1 and TRAF2. Additional IAP family members include ILP (for IAP-like protein) and survivin. ILP inhibits activated caspase-3, leading to the resistance of FAS-mediated apoptosis. Survivin (also designated TIAP) is expressed during the G2/M phase of the cell cycle and associates with microtubules of the mitotic spindle. Increased caspase-3 activity is detected when a disruption of survivin-microtubule interactions occurs.
偶联与修饰
偶联
Unconjugated
抗原信息
免疫原
Recombinant Protein
化学信息
分子量Theoretical: 16 kDa.
储存&溶解度
储存方式Store at -20°C or -80°C for 12 months. Avoid repeated freeze-thaw cycles.
运输方式Shipping with blue ice.

计算器

  • 稀释 计算器
  • 配液 计算器
Related Tags: buy Anti-Survivin Antibody (2N702) | purchase Anti-Survivin Antibody (2N702) | Anti-Survivin Antibody (2N702) cost | order Anti-Survivin Antibody (2N702) | Anti-Survivin Antibody (2N702) molecular weight