购物车
  • 全部删除
  • TargetMol
    您的购物车当前为空

Anti-STIM1 Antibody (8E689)

一键复制产品信息
Rating icon 还可以
产品编号 TMAC-03908
别名 TAM1, TAM, stromal interaction molecule 1, STRMK, IMD10, GOK, D11S4896E

Anti-STIM1 Antibody (8E689) 是一种 Rabbit 抗体,靶向 STIM1。Anti-STIM1 Antibody (8E689) 可用于 IHC,IP,WB。

Anti-STIM1 Antibody (8E689)

Anti-STIM1 Antibody (8E689)

一键复制产品信息
Rating icon 还可以
产品编号 TMAC-03908 别名 TAM1, TAM, stromal interaction molecule 1, STRMK, IMD10, GOK, D11S4896E

Anti-STIM1 Antibody (8E689) 是一种 Rabbit 抗体,靶向 STIM1。Anti-STIM1 Antibody (8E689) 可用于 IHC,IP,WB。

规格价格库存数量
50 μL
¥ 1,495
5日内发货
100 μL
¥ 2,485
5日内发货
大包装 & 定制
加入购物车
TargetMol 的所有产品仅用作科学研究或药证申报,不能被用于人体,我们不向个人提供产品和服务。请您遵守承诺用途,不得违反法律法规规定用于任何其他用途。
实验操作小课堂
常见问题解答
查看更多
联系我们获取更多批次信息
资源下载

产品介绍

生物活性
产品描述
Anti-STIM1 Antibody (8E689) is a Rabbit antibody targeting STIM1. Anti-STIM1 Antibody (8E689) can be used in IHC,IP,WB.
别名TAM1, TAM, stromal interaction molecule 1, STRMK, IMD10, GOK, D11S4896E
Ig Type
IgG
克隆号
8E689
交叉反应
Human,Mouse,Rat
验证活性
1. Western blot analysis of STIM1 on different lysates using anti-STIM1 antibody at 1/1,000 dilution. Positive control: Lane 1: K562, Lane 2: HepG2.
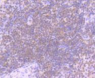
2. Immunohistochemical analysis of paraffin-embedded human spleen tissue using anti-STIM1 antibody. Counter stained with hematoxylin.
3. Immunohistochemical analysis of paraffin-embedded mouse testis tissue using anti-STIM1 antibody. Counter stained with hematoxylin.
verifiedActivityverifiedActivityverifiedActivity
应用IHCIPWB
推荐剂量
WB: 1:1000; IHC: 1:50-200
抗体种类
Monoclonal
宿主来源Rabbit
构建方式Recombinant Antibody
纯化方式ProA affinity purified
性状Liquid
缓冲液1*TBS (pH7.4), 1%BSA, 40%Glycerol. Preservative: 0.05% Sodium Azide.
研究背景Ca2+ influx is essential for a variety of cellular functions including, secretion and transcription. Stromal interaction molecule 1 (Stim1) is a ubiquitously expressed cell surface transmembrane glycoprotein that plays a role in medi-ating Ca2+ influx following the depletion of intracellular Ca2+ stores. Stim1 functions in the endoplasmic reticulum (ER) where it acts as a Ca2+ sensor via its EF-hand domain which causes large conformational changes. When Ca2+ levels drop, Stim1 translocates from the ER to the plasma membrane, where it activates the Ca2+ release-activated Ca2+ (CRAC) channel subunit, TMEM142A/Orai1. Stim2 is a potent inhibitor of Stim1-mediated store-operated calcium (SOC) entry. Stim1 is implicated in tumor growth suppression and stromal-hematopoietic cell interactions.
偶联与修饰
偶联
Unconjugated
抗原信息
免疫原
Recombinant Protein
Uniprot ID
化学信息
分子量Theoretical: 100 kDa.
存储&运输
储存方式Store at -20°C or -80°C for 12 months. Avoid repeated freeze-thaw cycles.
运输方式Shipping with blue ice.

计算器

  • 稀释 计算器

关键词

评论列表

4个月前
5.0
Rating icon 很棒

评论内容

Related Tags: buy Anti-STIM1 Antibody (8E689) | purchase Anti-STIM1 Antibody (8E689) | Anti-STIM1 Antibody (8E689) cost | order Anti-STIM1 Antibody (8E689) | Anti-STIM1 Antibody (8E689) molecular weight