购物车
  • 全部删除
  • TargetMol
    您的购物车当前为空

Anti-STAT6 Antibody (1F266)

一键复制产品信息
Rating icon 还可以
产品编号 TMAC-03890
别名 STAT6C, STAT6B, IL-4-STAT, HIES6, D12S1644

Anti-STAT6 Antibody (1F266) 是一种 Rabbit 抗体,靶向 STAT6。Anti-STAT6 Antibody (1F266) 可用于 ICC,IHC,IP,WB。

Anti-STAT6 Antibody (1F266)

Anti-STAT6 Antibody (1F266)

一键复制产品信息
Rating icon 还可以
产品编号 TMAC-03890 别名 STAT6C, STAT6B, IL-4-STAT, HIES6, D12S1644

Anti-STAT6 Antibody (1F266) 是一种 Rabbit 抗体,靶向 STAT6。Anti-STAT6 Antibody (1F266) 可用于 ICC,IHC,IP,WB。

规格价格库存数量
50 μL
¥ 1,490
5日内发货
100 μL
¥ 2,485
5日内发货
大包装 & 定制
加入购物车
TargetMol 的所有产品仅用作科学研究或药证申报,不能被用于人体,我们不向个人提供产品和服务。请您遵守承诺用途,不得违反法律法规规定用于任何其他用途。
实验操作小课堂
常见问题解答
查看更多
联系我们获取更多批次信息
资源下载

产品介绍

生物活性
产品描述
Anti-STAT6 Antibody (1F266) is a Rabbit antibody targeting STAT6. Anti-STAT6 Antibody (1F266) can be used in ICC,IHC,IP,WB.
别名STAT6C, STAT6B, IL-4-STAT, HIES6, D12S1644
Ig Type
IgG
克隆号
1F266
交叉反应
Human,Mouse
验证活性
1. Western blot analysis of STAT6 on different lysates using anti-STAT6 antibody at 1/1,000 dilution. Positive control: Lane 1: NIH/3T3, Lane 2: Hela.
2. Immunohistochemical analysis of paraffin-embedded mouse lung tissue using anti-STAT6 antibody. Counter stained with hematoxylin.
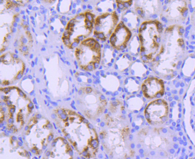
3. Immunohistochemical analysis of paraffin-embedded human kidney tissue using anti-STAT6 antibody. Counter stained with hematoxylin.
4. ICC staining STAT6 in Hela cells (green). The nuclear counter stain is DAPI (blue). Cells were fixed in paraformaldehyde, permeabilised with 0.25% Triton X100/PBS.
5. ICC staining STAT6 in HepG2 cells (green). The nuclear counter stain is DAPI (blue). Cells were fixed in paraformaldehyde, permeabilised with 0.25% Triton X100/PBS.
6. ICC staining STAT6 in NIH/3T3 cells (green). The nuclear counter stain is DAPI (blue). Cells were fixed in paraformaldehyde, permeabilised with 0.25% Triton X100/PBS.
verifiedActivityverifiedActivityverifiedActivityverifiedActivityverifiedActivityverifiedActivity
应用ICCIHCIPWB
推荐剂量
WB: 1:500-1000; IHC: 1:50-200; ICC: 1:50-200
抗体种类
Monoclonal
宿主来源Rabbit
构建方式Recombinant Antibody
纯化方式ProA affinity purified
性状Liquid
缓冲液1*TBS (pH7.4), 1%BSA, 40%Glycerol. Preservative: 0.05% Sodium Azide.
研究背景Membrane receptor signaling by various ligands, including interferons and growth hormones such as EGF, induces activation of JAK kinases which then leads to tyrosine phosphorylation of proteins that have been designated Stats (signal transducers and activators of transcription). The first members of this family to be described include Stat1α p91, Stat1β p84 (a form of p91 that lacks 38 COOH-terminal amino acids) and Stat2 p113. Stat1 and Stat2 are induced by IFN-a and form a heterodimer which is part of the ISGF3 transcription factor complex. Stat3, which becomes activated in response to epidermal growth factor (EGF) and interleukin-6 (IL-6), but not interferon-γ (IFN-γ) or Stat4, is an additional member of this family. It has been suggested that the phosphorylated forms of both Stat3 and Stat4 form homodimers as well as heterodimers with the other members of the Stat family, and that differential activation of different Stat proteins in response to different ligands should help to explain specificity in nuclear signaling from the cell surface. Highest expression of Stat4 is seen in testis and myeloid cells. IL-12 has been identified as an activator of Stat4. Other members of the Stat family include Stat5, which has been shown to be activated by prolactin and by IL-3, and Stat6 (also designated IL-4 Stat), which is involved in IL-4-activated signaling pathways.
偶联与修饰
偶联
Unconjugated
抗原信息
免疫原
Recombinant Protein
Uniprot ID
化学信息
分子量Theoretical: 94 kDa.
存储&运输
储存方式Store at -20°C or -80°C for 12 months. Avoid repeated freeze-thaw cycles.
运输方式Shipping with blue ice.

计算器

  • 稀释 计算器

评论列表

4个月前
5.0
Rating icon 很棒

评论内容

Related Tags: buy Anti-STAT6 Antibody (1F266) | purchase Anti-STAT6 Antibody (1F266) | Anti-STAT6 Antibody (1F266) cost | order Anti-STAT6 Antibody (1F266) | Anti-STAT6 Antibody (1F266) molecular weight