购物车
  • TargetMol
    您的购物车当前为空

Anti-SPTAN1 Antibody (8O990)

Synonyms: SPTAN1, SPTA2, Spectrin, non-erythroid alpha subunit, Spectrin alpha chain, non-erythrocytic 1, non-erythrocytic 1, NEAS, Fodrin alpha chain, Alpha-II spectrin
货号 TMAC-00156 一键复制产品信息
Rating icon 还可以

Anti-SPTAN1 Antibody (8O990) 是一种 Rabbit 抗体,靶向 SPTAN1。Anti-SPTAN1 Antibody (8O990) 可用于 IHC,WB。

Anti-SPTAN1 Antibody (8O990)

一键复制产品信息
Rating icon 还可以
货号 TMAC-00156

别名 SPTAN1, SPTA2, Spectrin, non-erythroid alpha subunit, Spectrin alpha chain, non-erythrocytic 1, non-erythrocytic 1, NEAS, Fodrin alpha chain, Alpha-II spectrin

Anti-SPTAN1 Antibody (8O990) 是一种 Rabbit 抗体,靶向 SPTAN1。Anti-SPTAN1 Antibody (8O990) 可用于 IHC,WB。

Anti-SPTAN1 Antibody (8O990)
规格价格库存数量
50 μL
¥ 1,485
5日内发货
100 μL
¥ 2,495
5日内发货
库存状态实时更新,以官网显示为准,现货产品可直接加购物车下单
大包装 & 定制
加入购物车

TargetMol的所有产品仅用作科学研究或药证申报,不能被用于人体,我们不向个人提供产品和服务。请您遵守承诺用途,不得违反法律法规规定用于任何其他用途。

实验操作小课堂
常见问题解答
查看更多

资源下载:产品操作手册

产品介绍


生物活性
产品描述
Anti-SPTAN1 Antibody (8O990) is a Rabbit antibody targeting SPTAN1. Anti-SPTAN1 Antibody (8O990) can be used in IHC,WB.
别名
SPTAN1, SPTA2, Spectrin, non-erythroid alpha subunit, Spectrin alpha chain, non-erythrocytic 1, non-erythrocytic 1, NEAS, Fodrin alpha chain, Alpha-II spectrin
Ig Type
IgG
克隆号
8O990
反应种属
Human,Mouse,Rat
验证活性
1. Western blot analysis of Alpha Fodrin on different lysates using anti-Alpha Fodrin antibody at 1/500 dilution.Positive control:Lane 1: Hela, Lane 2: Jurkat, Lane 3: NIH-3T3, Lane 4:Rat brain, Lane 5:Mouse brain.
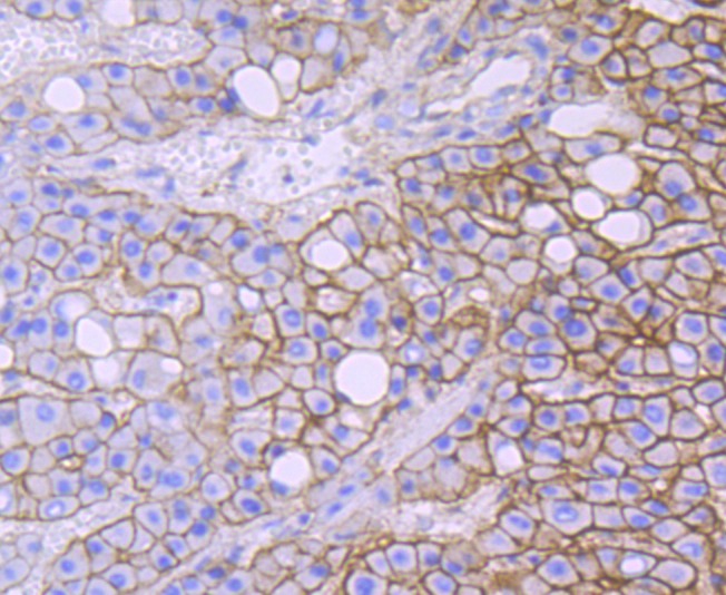
2. Immunohistochemical analysis of paraffin-embedded human liver cancer tissue using anti-Alpha Fodrin antibody. Counter stained with hematoxylin.
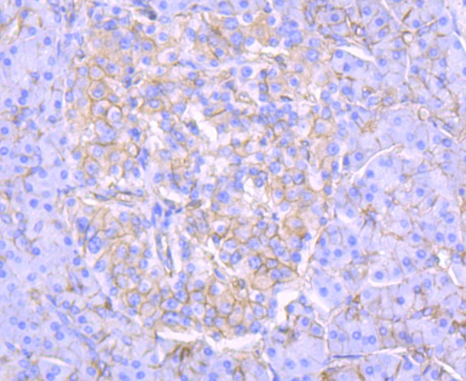
3. Immunohistochemical analysis of paraffin-embedded human pancreas tissue using anti-Alpha Fodrin antibody. Counter stained with hematoxylin.
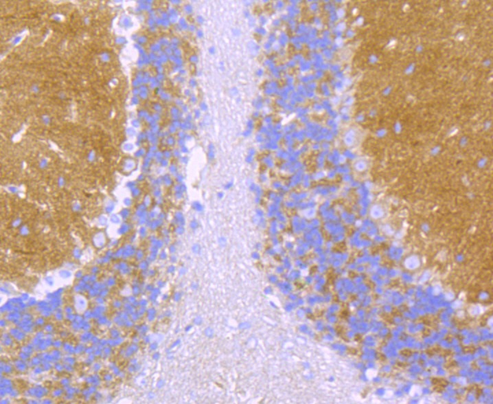
4. Immunohistochemical analysis of paraffin-embedded mouse cerebellum tissue using anti-Alpha Fodrin antibody. Counter stained with hematoxylin.
verifiedActivityverifiedActivityverifiedActivityverifiedActivity
应用IHCWB
推荐剂量
WB: 1:500-2000; IHC: 1:50-200
抗体种类
Monoclonal
宿主来源Rabbit
构建方式Recombinant Antibody
纯化方式ProA affinity purified
性状Liquid
缓冲液1*TBS (pH7.4), 1%BSA, 40%Glycerol. Preservative: 0.05% Sodium Azide.
研究背景Alpha Fodrin also named Spectrin. Spectrin, an actin binding protein that is a major component of the cytoskeletal superstructure of the erythrocyte plasma membrane, is essential in determining the properties of the membrane including its shape and deformability. Spectrins function as membrane organizers and stabilizers, composed of nonhomologous α and β chains, which aggregate side-to-side in an antiparallel fashion to form dimers, tetramers, and higher polymers. Spectrin α I and spectrin β I are present in erythrocytes, whereas spectrin α II (also designated fodrin α) and spectrin β II (also designated fodrin β) are present in other somatic cells. The spectrin tetramers in erythrocytes act as barriers to lateral diffusion, but spectrin dimers seem to lack this function. Activation of calpain results in the breakdown of spectrin α II, a neuronal cytoskeleton protein.
偶联与修饰
偶联
Unconjugated
抗原信息
免疫原
Recombinant Protein
Uniprot ID
化学信息
分子量Theoretical: 285/150 kDa.
储存&溶解度
储存方式Store at -20°C or -80°C for 12 months. Avoid repeated freeze-thaw cycles.
运输方式Shipping with blue ice.

计算器

  • 稀释 计算器
  • 配液 计算器
Related Tags: buy Anti-SPTAN1 Antibody (8O990) | purchase Anti-SPTAN1 Antibody (8O990) | Anti-SPTAN1 Antibody (8O990) cost | order Anti-SPTAN1 Antibody (8O990) | Anti-SPTAN1 Antibody (8O990) molecular weight