购物车
  • TargetMol
    您的购物车当前为空

Anti-SOD2 Antibody (1Y900)

Synonyms: superoxide dismutase 2, mitochondrial, MVCD6, MNSOD, IPOB
货号 TMAC-03819 一键复制产品信息
Rating icon 还可以

Anti-SOD2 Antibody (1Y900) 是一种 Rabbit 抗体,靶向 SOD2。Anti-SOD2 Antibody (1Y900) 可用于 IHC,WB。

Anti-SOD2 Antibody (1Y900)

一键复制产品信息
Rating icon 还可以
货号 TMAC-03819

别名 superoxide dismutase 2, mitochondrial, MVCD6, MNSOD, IPOB

Anti-SOD2 Antibody (1Y900) 是一种 Rabbit 抗体,靶向 SOD2。Anti-SOD2 Antibody (1Y900) 可用于 IHC,WB。

Anti-SOD2 Antibody (1Y900)
规格价格库存数量
50 μL
¥ 1,480
5日内发货
100 μL
¥ 2,495
5日内发货
库存状态实时更新,以官网显示为准,现货产品可直接加购物车下单
大包装 & 定制
加入购物车

TargetMol的所有产品仅用作科学研究或药证申报,不能被用于人体,我们不向个人提供产品和服务。请您遵守承诺用途,不得违反法律法规规定用于任何其他用途。

实验操作小课堂
常见问题解答
查看更多

资源下载:产品操作手册

产品介绍


生物活性
产品描述
Anti-SOD2 Antibody (1Y900) is a Rabbit antibody targeting SOD2. Anti-SOD2 Antibody (1Y900) can be used in IHC,WB.
别名
superoxide dismutase 2, mitochondrial, MVCD6, MNSOD, IPOB
Ig Type
IgG
克隆号
1Y900
反应种属
Human,Mouse,Rat
验证活性
1. Western blot analysis of SOD2 on different lysates using anti-SOD2 antibody at 1/1,000 dilution. Positive control: Lane 1: Mouse brain, Lane 2: SH-SY-5Y, Lane 3: Human heart.
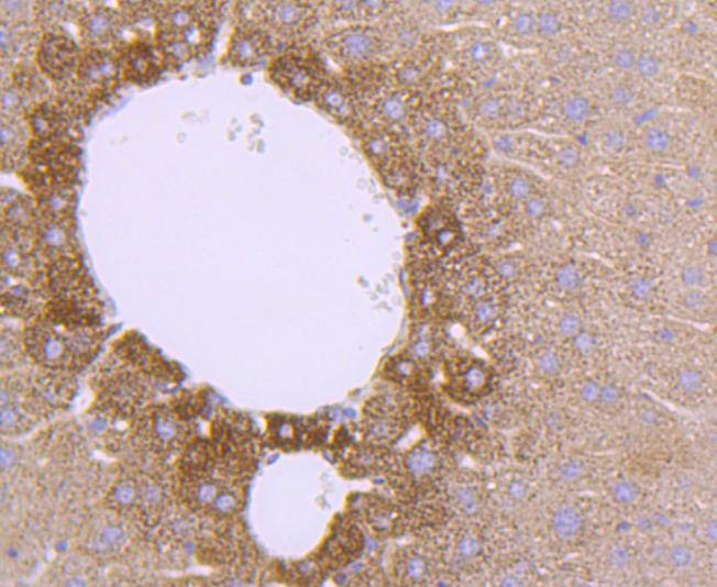
2. Immunohistochemical analysis of paraffin-embedded human liver tissue using anti-SOD2 antibody. Counter stained with hematoxylin.
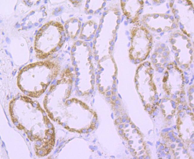
3. Immunohistochemical analysis of paraffin-embedded human kidney tissue using anti-SOD2 antibody. Counter stained with hematoxylin.
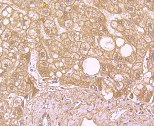
4. Immunohistochemical analysis of paraffin-embedded mouse liver tissue using anti-SOD2 antibody. Counter stained with hematoxylin.
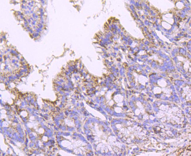
5. Immunohistochemical analysis of paraffin-embedded mouse colon tissue using anti-SOD2 antibody. Counter stained with hematoxylin.
6. Immunohistochemical analysis of paraffin-embedded mouse heart tissue using anti-SOD2 antibody. Counter stained with hematoxylin.
verifiedActivityverifiedActivityverifiedActivityverifiedActivityverifiedActivityverifiedActivity
应用IHCWB
推荐剂量
WB: 1:1000-2000; IHC: 1:50-200
抗体种类
Monoclonal
宿主来源Rabbit
构建方式Recombinant Antibody
纯化方式ProA affinity purified
性状Liquid
缓冲液1*TBS (pH7.4), 1%BSA, 40%Glycerol. Preservative: 0.05% Sodium Azide.
研究背景The superoxide dismutase family is composed of three metalloenzymes (SOD-1, SOD-2 and SOD-3) that catalyze the oxido-reduction of reactive oxygen species (ROS) such as superoxide anion. The SOD-2 precursor is a 222 amino acid protein that is encoded by nuclear chromatin, synthesized in the cytosol and imported posttranslationally into the mitochondrial matrix. Unlike SOD-1, which is a homodimeric cytosolic Cu-Zn enzyme, SOD-2 is a homotetrameric manganese enzyme (also known as MnSOD) that functions in the mitochondrion. ROS are implicated in a wide range of degenerative processes, including Alzheimer??s disease, Parkinson??s disease and ischemic heart disease. Homozygous mutant mice, which lack SOD-2, exhibit dilated cardiomyopathy, accumulation of lipid in liver and skeletal muscle, metabolic acidosis, oxidative DNA damage and respiratory chain deficiencies in heart and skeletal muscle. Polymorphisms in the SOD-2 gene have also been implicated in nonfamilial, idiopathic, dilated cardiomyopathy in humans.
偶联与修饰
偶联
Unconjugated
抗原信息
免疫原
Recombinant Protein
Uniprot ID
化学信息
分子量Theoretical: 21 kDa.
储存&溶解度
储存方式Store at -20°C or -80°C for 12 months. Avoid repeated freeze-thaw cycles.
运输方式Shipping with blue ice.

计算器

  • 稀释 计算器
  • 配液 计算器

关键词

Related Tags: buy Anti-SOD2 Antibody (1Y900) | purchase Anti-SOD2 Antibody (1Y900) | Anti-SOD2 Antibody (1Y900) cost | order Anti-SOD2 Antibody (1Y900) | Anti-SOD2 Antibody (1Y900) molecular weight