• TargetMol
    您的购物车当前为空

Anti-SMC1A Antibody (7H408)

一键复制产品信息
Rating icon 还可以
产品编号 TMAC-03804

别名 Structural maintenance of chromosomes protein 1A, SMC1L1, SMC-1-alpha, SMC-1A, SMC1, SMC protein 1A, Sb1.8, SB1.8, KIAA0178, DXS423E

Anti-SMC1A Antibody (7H408) 是一种 Rabbit 抗体,靶向 SMC1A。Anti-SMC1A Antibody (7H408) 可用于 ICC/IF,IHC,WB。

Anti-SMC1A Antibody (7H408)

Anti-SMC1A Antibody (7H408)

一键复制产品信息
Rating icon 还可以
产品编号 TMAC-03804 别名 Structural maintenance of chromosomes protein 1A, SMC1L1, SMC-1-alpha, SMC-1A, SMC1, SMC protein 1A, Sb1.8, SB1.8, KIAA0178, DXS423E

Anti-SMC1A Antibody (7H408) 是一种 Rabbit 抗体,靶向 SMC1A。Anti-SMC1A Antibody (7H408) 可用于 ICC/IF,IHC,WB。

规格价格库存数量
50 μL
¥ 1,480
5日内发货
100 μL
¥ 2,495
5日内发货
大包装 & 定制
加入购物车
TargetMol 的所有产品仅用作科学研究或药证申报,不能被用于人体,我们不向个人提供产品和服务。请您遵守承诺用途,不得违反法律法规规定用于任何其他用途。
实验操作小课堂
常见问题解答
查看更多
联系我们获取更多批次信息
资源下载

产品介绍

生物活性
产品描述
Anti-SMC1A Antibody (7H408) is a Rabbit antibody targeting SMC1A. Anti-SMC1A Antibody (7H408) can be used in ICC/IF,IHC,WB.
别名Structural maintenance of chromosomes protein 1A, SMC1L1, SMC-1-alpha, SMC-1A, SMC1, SMC protein 1A, Sb1.8, SB1.8, KIAA0178, DXS423E
Ig Type
IgG
克隆号
7H408
交叉反应
Human,Mouse,Rat
验证活性
1. Western blot analysis of SMC1 on different lysates using anti-SMC1 antibody at 1/1,000 dilution. Positive control: Lane 1: NIH/3T3, Lane 2: Hela.
2. Immunohistochemical analysis of paraffin-embedded human breast carcinoma tissue using anti-SMC1 antibody. Counter stained with hematoxylin.
3. Immunohistochemical analysis of paraffin-embedded human tonsil tissue using anti-SMC1 antibody. Counter stained with hematoxylin.
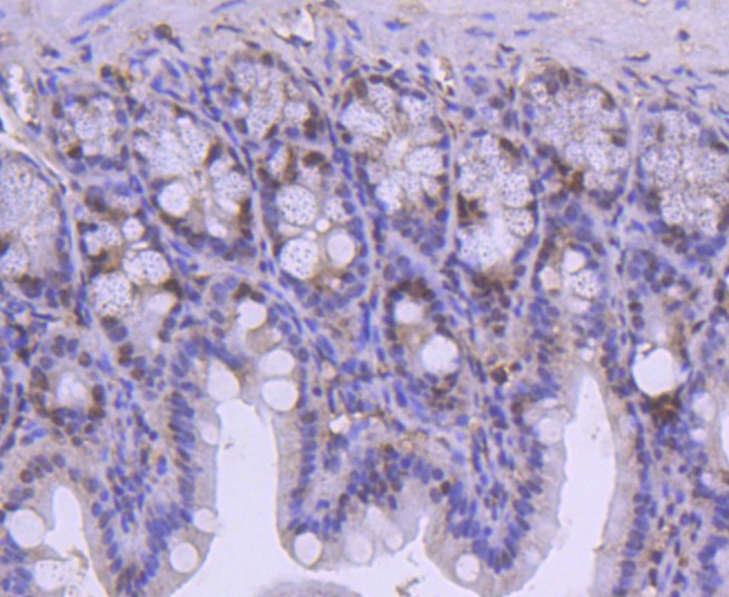
4. Immunohistochemical analysis of paraffin-embedded mouse colon tissue using anti-SMC1 antibody. Counter stained with hematoxylin.
5. ICC staining SMC1 in Hela cells (green). The nuclear counter stain is DAPI (blue). Cells were fixed in paraformaldehyde, permeabilised with 0.25% Triton X100/PBS.
6. ICC staining SMC1 in A431 cells (green). The nuclear counter stain is DAPI (blue). Cells were fixed in paraformaldehyde, permeabilised with 0.25% Triton X100/PBS.
7. ICC staining SMC1 in SW480 cells (green). The nuclear counter stain is DAPI (blue). Cells were fixed in paraformaldehyde, permeabilised with 0.25% Triton X100/PBS.
verifiedActivityverifiedActivityverifiedActivityverifiedActivityverifiedActivityverifiedActivityverifiedActivity
应用ICC/IFIHCWB
推荐剂量
WB: 1:1000-2000; IHC: 1:50-200; ICC/IF: 1:100-500
抗体种类
Monoclonal
宿主来源Rabbit
构建方式Recombinant Antibody
纯化方式ProA affinity purified
性状Liquid
缓冲液1*TBS (pH7.4), 1%BSA, 40%Glycerol. Preservative: 0.05% Sodium Azide.
研究背景The SMC (structural maintenance of chromosomes) family of proteins form heterodimeric complexes that modulate sister chromatid cohesion and chromosome condensation for mitosis. SMC1α (structural maintenance of chromosomes protein 1A), also known as SMC1, SMCB, CDLS2, SB1.8, SMC1L1 or DXS423E, is a 1,233 amino acid nuclear protein that is involved in chromosome cohesion during the cell cycle. SMC1α interacts with BRCA1 and is phosphorylated by ATM, indicating a potential role in DNA repair. SMC1α is a component of the cohesion complex, which is required for the cohesion of sister chromatids after DNA replication. Mutations in the gene encoding SMC1α may be the cause of Cornelia de Lange syndrome (CdLS), which is a clinically heterogeneous developmental disorder characterized by facial dysmorphia, upper limb malformations, growth and cognitive retardation.
偶联与修饰
偶联
Unconjugated
抗原信息
免疫原
Recombinant Protein
Uniprot ID
化学信息
分子量Theoretical: 143 kDa.
存储&运输
储存方式Store at -20°C or -80°C for 12 months. Avoid repeated freeze-thaw cycles.
运输方式Shipping with blue ice.

计算器

  • 稀释 计算器

评论列表

4个月前
5.0
Rating icon 很棒

评论内容

Related Tags: buy Anti-SMC1A Antibody (7H408) | purchase Anti-SMC1A Antibody (7H408) | Anti-SMC1A Antibody (7H408) cost | order Anti-SMC1A Antibody (7H408) | Anti-SMC1A Antibody (7H408) molecular weight