购物车
  • 全部删除
  • TargetMol
    您的购物车当前为空

Anti-Serpin A1 Antibody (8W352)

一键复制产品信息
Rating icon 还可以
产品编号 TMAC-00150
别名 Serpin A1, Alpha-1-antitrypsin, Alpha-1-antiproteinase, Alpha-1 protease inhibitor

Anti-Serpin A1 Antibody (8W352) 是一种 Rabbit 抗体,靶向 Serpin A1。Anti-Serpin A1 Antibody (8W352) 可用于 ICC/IF,IHC,IP,WB。

Anti-Serpin A1 Antibody (8W352)

Anti-Serpin A1 Antibody (8W352)

一键复制产品信息
Rating icon 还可以
产品编号 TMAC-00150 别名 Serpin A1, Alpha-1-antitrypsin, Alpha-1-antiproteinase, Alpha-1 protease inhibitor

Anti-Serpin A1 Antibody (8W352) 是一种 Rabbit 抗体,靶向 Serpin A1。Anti-Serpin A1 Antibody (8W352) 可用于 ICC/IF,IHC,IP,WB。

规格价格库存数量
50 μL
¥ 1,490
5日内发货
100 μL
¥ 2,485
5日内发货
大包装 & 定制
加入购物车
TargetMol 的所有产品仅用作科学研究或药证申报,不能被用于人体,我们不向个人提供产品和服务。请您遵守承诺用途,不得违反法律法规规定用于任何其他用途。
实验操作小课堂
常见问题解答
查看更多
联系我们获取更多批次信息
资源下载

产品介绍

生物活性
产品描述
Anti-Serpin A1 Antibody (8W352) is a Rabbit antibody targeting Serpin A1. Anti-Serpin A1 Antibody (8W352) can be used in ICC/IF,IHC,IP,WB.
别名Serpin A1, Alpha-1-antitrypsin, Alpha-1-antiproteinase, Alpha-1 protease inhibitor
Ig Type
IgG
克隆号
8W352
交叉反应
Human
验证活性
1. Western blot analysis of alpha 1 Antitrypsin on human spleen lysates using anti-alpha 1 Antitrypsin antibody at 1/1,000 dilution.
2. Immunohistochemical analysis of paraffin-embedded human liver tissue using anti-alpha 1 Antitrypsin antibody. Counter stained with hematoxylin.
3. Immunohistochemical analysis of paraffin-embedded human spleen tissue using anti-alpha 1 Antitrypsin antibody. Counter stained with hematoxylin.
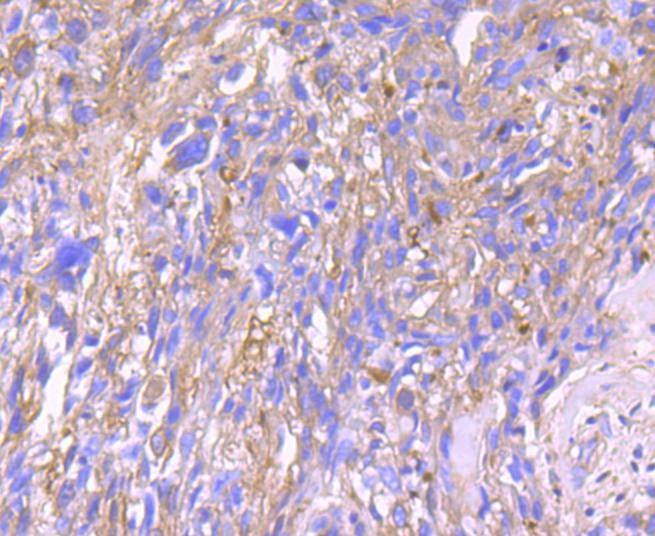
4. Immunohistochemical analysis of paraffin-embedded human breast carcinoma tissue using anti-alpha 1 Antitrypsin antibody. Counter stained with hematoxylin.
5. ICC staining alpha 1 Antitrypsin in Hela cells (red). The nuclear counter stain is DAPI (blue). Cells were fixed in paraformaldehyde, permeabilised with 0.25% Triton X100/PBS.
6. ICC staining alpha 1 Antitrypsin in MCF-7 cells (red). The nuclear counter stain is DAPI (blue). Cells were fixed in paraformaldehyde, permeabilised with 0.25% Triton X100/PBS.
7. ICC staining alpha 1 Antitrypsin in HepG2 cells (red). The nuclear counter stain is DAPI (blue). Cells were fixed in paraformaldehyde, permeabilised with 0.25% Triton X100/PBS.
verifiedActivityverifiedActivityverifiedActivityverifiedActivityverifiedActivityverifiedActivityverifiedActivity
应用ICC/IFIHCIPWB
推荐剂量
WB: 1:1000-5000; IHC: 1:50-200; ICC/IF: 1:50-200
抗体种类
Monoclonal
宿主来源Rabbit
构建方式Recombinant Antibody
纯化方式ProA affinity purified
性状Liquid
缓冲液1*TBS (pH7.4), 1%BSA, 40%Glycerol. Preservative: 0.05% Sodium Azide.
研究背景Cumulative damage to lung tissue by Neutrophil Elastase is responsible for the development of pulmonary emphysema, an irreversible lung disease characterized by loss of lung elasticity. a 1-antitrypsin (AAT), a 394 amino acid hepatic acute phase protein, predominantly inhibits Neutrophil Elastase. AAT is highly expressed in liver and in cultured hepatoma cells and, to a lesser extent, in macrophages. AAT is a highly polymorphic glycosylated serum protein with characteristic isoelectric-focusing patterns for most variants. The gene encoding AAT maps to a region of human chromosome 14 that includes a related serine protease inhibitor (serpin) gene which encodes corticosteroid-binding globulin. Oxidation of the methionine 358 residue in the active center of AAT results in a dramatic decrease in inhibitory activity towards elastase. AAT also has a moderate affinity for plasmin and Thrombin. AAT deficiency is associated with a 20-30 fold increased risk of precocious pulmonary emphysema.
偶联与修饰
偶联
Unconjugated
抗原信息
免疫原
Recombinant Protein
Uniprot ID
化学信息
分子量Theoretical: 47 kDa.
存储&运输
储存方式Store at -20°C or -80°C for 12 months. Avoid repeated freeze-thaw cycles.
运输方式Shipping with blue ice.

计算器

  • 稀释 计算器

评论列表

4个月前
5.0
Rating icon 很棒

评论内容

Related Tags: buy Anti-Serpin A1 Antibody (8W352) | purchase Anti-Serpin A1 Antibody (8W352) | Anti-Serpin A1 Antibody (8W352) cost | order Anti-Serpin A1 Antibody (8W352) | Anti-Serpin A1 Antibody (8W352) molecular weight