购物车
  • TargetMol
    您的购物车当前为空

Anti-Serotonin Polyclonal Antibody

Synonyms: 五羟色胺, 5-羟色胺, 5羟色胺, 5-hydroxytryptamine, 5HTP, 5-HT, 5-Hydroxytryptamine hydrochloride, 5 Hydroxytryptophan, 5 hydroxy tryptophan, 3-(2-Aminoethyl)-5-hydroxyindole hydrochloride
货号 TMAB-01677 一键复制产品信息
Rating icon 还可以

Anti-Serotonin Polyclonal Antibody 是一种 Rabbit 抗体,靶向 Serotonin。Anti-Serotonin Polyclonal Antibody 可用于 IF, IHC-Fr, IHC-P。

Anti-Serotonin Polyclonal Antibody

一键复制产品信息
Rating icon 还可以
货号 TMAB-01677

别名 五羟色胺, 5-羟色胺, 5羟色胺, 5-hydroxytryptamine, 5HTP, 5-HT, 5-Hydroxytryptamine hydrochloride, 5 Hydroxytryptophan, 5 hydroxy tryptophan, 3-(2-Aminoethyl)-5-hydroxyindole hydrochloride

Anti-Serotonin Polyclonal Antibody 是一种 Rabbit 抗体,靶向 Serotonin。Anti-Serotonin Polyclonal Antibody 可用于 IF, IHC-Fr, IHC-P。

Anti-Serotonin Polyclonal Antibody
规格价格库存数量
50 μL
¥ 1,160
5日内发货
100 μL
¥ 1,960
5日内发货
200 μL
¥ 2,785
5日内发货
库存状态实时更新,以官网显示为准,现货产品可直接加购物车下单
大包装 & 定制
加入购物车

TargetMol的所有产品仅用作科学研究或药证申报,不能被用于人体,我们不向个人提供产品和服务。请您遵守承诺用途,不得违反法律法规规定用于任何其他用途。

实验操作小课堂
常见问题解答
查看更多

资源下载:产品操作手册

产品介绍


生物活性
产品描述
Anti-Serotonin Polyclonal Antibody is a Rabbit antibody targeting Serotonin. Anti-Serotonin Polyclonal Antibody can be used in IF, IHC-Fr, IHC-P.
别名
五羟色胺, 5-羟色胺, 5羟色胺, 5-hydroxytryptamine, 5HTP, 5-HT, 5-Hydroxytryptamine hydrochloride, 5 Hydroxytryptophan, 5 hydroxy tryptophan, 3-(2-Aminoethyl)-5-hydroxyindole hydrochloride
Ig Type
IgG
反应种属
Species independent
验证活性
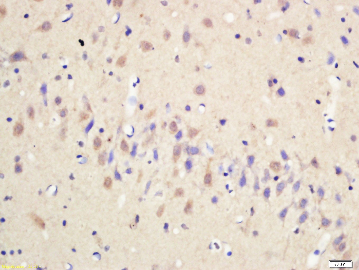
Tissue/cell: Rat brain tissue; 4% Paraformaldehyde-fixed and paraffin-embedded;
Antigen retrieval: citrate buffer (0.01M, pH6.0), Boiling bathing for 15 min; Block endogenous peroxidase by 3% Hydrogen peroxide for 30 min; Blocking buffer (normal goat serum) at 37°C for 20 min;
Incubation: Anti-5-HT Polyclonal Antibody, Unconjugated (TMAB-01677) 1:200, overnight at 4°C, followed by conjugation to the secondary antibody and DAb staining.
verifiedActivity
应用IFIHC-FrIHC-P
推荐剂量
IHC-P: 1:100-500; IHC-Fr: 1:100-500; IF: 1:100-500
抗体种类
Polyclonal
宿主来源Rabbit
构建方式Polyclonal Antibody
纯化方式Protein A purified
性状Liquid
缓冲液0.01M TBS (pH7.4) with 1% BSA, 0.02% Proclin300 and 50% Glycerol.
浓度1 mg/mL
研究背景Serotonin (pronounced) (5-hydroxytryptamine, or 5-HT) is a monoamine neurotransmitter synthesized in serotonergic neurons in the central nervous system (CNS) and enterochromaffin cells in the gastrointestinal tract of animals including humans. Serotonin is also found in many mushrooms and plants, including fruits and vegetables.
抗原信息
免疫原
KLH conjugated 5-HT
研究领域
Serotonin / 5HT
功能
Tryptophan is an amino acid occurring naturally in food. In the brain, it is converted to 5-hydroxy-tryptophan (5-HTP), which, in turn, is converted to serotonin. Serotonin is a neurotransmitter essential to regulating appetite, sleep, mood and pain levels.
化学信息
分子量Theoretical: 0.21268 kDa.
储存&溶解度
储存方式Store at -20°C or -80°C for 12 months. Avoid repeated freeze-thaw cycles.
运输方式Shipping with blue ice.

计算器

  • 稀释 计算器
  • 配液 计算器
Related Tags: buy Anti-Serotonin Polyclonal Antibody | purchase Anti-Serotonin Polyclonal Antibody | Anti-Serotonin Polyclonal Antibody cost | order Anti-Serotonin Polyclonal Antibody | Anti-Serotonin Polyclonal Antibody molecular weight