购物车
  • TargetMol
    您的购物车当前为空

Anti-RBP4 Antibody (2C142)

Synonyms: Retinol-Binding Protein 4, RBP4, RBP, PRBP, Plasma Retinol-Binding Protein
货号 TMAC-03557 一键复制产品信息
Rating icon 还可以

Anti-RBP4 Antibody (2C142) 是一种 Rabbit 抗体,靶向 RBP4。Anti-RBP4 Antibody (2C142) 可用于 IHC,WB。

Anti-RBP4 Antibody (2C142)

一键复制产品信息
Rating icon 还可以
货号 TMAC-03557

别名 Retinol-Binding Protein 4, RBP4, RBP, PRBP, Plasma Retinol-Binding Protein

Anti-RBP4 Antibody (2C142) 是一种 Rabbit 抗体,靶向 RBP4。Anti-RBP4 Antibody (2C142) 可用于 IHC,WB。

Anti-RBP4 Antibody (2C142)
规格价格库存数量
50 μL
¥ 1,485
5日内发货
100 μL
¥ 2,495
5日内发货
库存状态实时更新,以官网显示为准,现货产品可直接加购物车下单
大包装 & 定制
加入购物车

TargetMol的所有产品仅用作科学研究或药证申报,不能被用于人体,我们不向个人提供产品和服务。请您遵守承诺用途,不得违反法律法规规定用于任何其他用途。

实验操作小课堂
常见问题解答
查看更多

资源下载:产品操作手册

产品介绍


生物活性
产品描述
Anti-RBP4 Antibody (2C142) is a Rabbit antibody targeting RBP4. Anti-RBP4 Antibody (2C142) can be used in IHC,WB.
别名
Retinol-Binding Protein 4, RBP4, RBP, PRBP, Plasma Retinol-Binding Protein
Ig Type
IgG
克隆号
2C142
反应种属
Human
验证活性
1. Western blot analysis of RBP4 on human serum using anti- RBP4 antibody at 1/1,000 dilution.
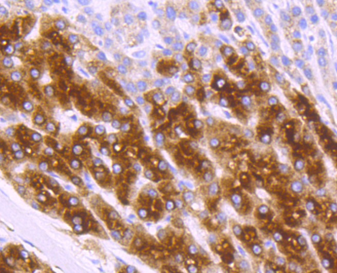
2. Immunohistochemical analysis of paraffin-embedded human liver cancer tissue using anti-RBP4 antibody. Counter stained with hematoxylin.
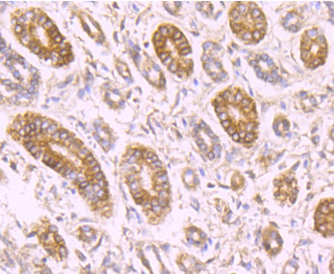
3. Immunohistochemical analysis of paraffin-embedded human kidney tissue using anti- RBP4 antibody. Counter stained with hematoxylin.
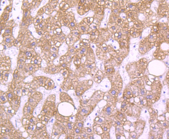
4. Immunohistochemical analysis of paraffin-embedded human liver tissue using anti- RBP4 antibody. Counter stained with hematoxylin.
verifiedActivityverifiedActivityverifiedActivityverifiedActivity
应用IHCWB
推荐剂量
WB: 1:500-2000; IHC: 1:50-200
抗体种类
Monoclonal
宿主来源Rabbit
构建方式Recombinant Antibody
纯化方式ProA affinity purified
性状Liquid
缓冲液1*TBS (pH7.4), 1%BSA, 40%Glycerol. Preservative: 0.05% Sodium Azide.
研究背景Retinol (Vitamin A) is transported in the blood bound to its carrier protein, retinol-binding protein (RBP), also designated plasma retinol-binding protein (PRBP) or RBP4. A member of the lipocalin family, RBP conveys retinol from stores in the liver to peripheral tissues. In plasma, RBP binds transthyretin (TTR, formerly called prealbumin) to prevent glomerular filtration of low molecular weight RBP in the kidneys. The stability of this complex holds diagnostic importance because the molar ratio of RBP:TTR provides an indirect way to indicate marginal vitamin A deficiency. Vitamin A deficiency blocks the secretion of RBP resulting in defective delivery and supply to epidermal cells. Originally identified solely as a transporter protein, recent studies correlating increased levels of RBP expression in adipose tissue with insulin resistance have generated research into the possible roles the protein
偶联与修饰
偶联
Unconjugated
抗原信息
免疫原
Recombinant Protein
Uniprot ID
化学信息
分子量Theoretical: 23 kDa.
储存&溶解度
储存方式Store at -20°C or -80°C for 12 months. Avoid repeated freeze-thaw cycles.
运输方式Shipping with blue ice.

计算器

  • 稀释 计算器
  • 配液 计算器

关键词

Related Tags: buy Anti-RBP4 Antibody (2C142) | purchase Anti-RBP4 Antibody (2C142) | Anti-RBP4 Antibody (2C142) cost | order Anti-RBP4 Antibody (2C142) | Anti-RBP4 Antibody (2C142) molecular weight