购物车
  • TargetMol
    您的购物车当前为空

Anti-RAC1/2/3 Antibody (1M237)

Synonyms: TC-25, ras-related C3 botulinum toxin substrate 1 (rho family, small GTP binding protein Rac1), Rac-1, p21-Rac1, MIG5
货号 TMAC-03498 一键复制产品信息
Rating icon 还可以

Anti-RAC1/2/3 Antibody (1M237) 是一种 Rabbit 抗体,靶向 RAC1/2/3。Anti-RAC1/2/3 Antibody (1M237) 可用于 ICC/IF,IHC,WB。

Anti-RAC1/2/3 Antibody (1M237)

一键复制产品信息
Rating icon 还可以
货号 TMAC-03498

别名 TC-25, ras-related C3 botulinum toxin substrate 1 (rho family, small GTP binding protein Rac1), Rac-1, p21-Rac1, MIG5

Anti-RAC1/2/3 Antibody (1M237) 是一种 Rabbit 抗体,靶向 RAC1/2/3。Anti-RAC1/2/3 Antibody (1M237) 可用于 ICC/IF,IHC,WB。

Anti-RAC1/2/3 Antibody (1M237)
规格价格库存数量
50 μL
¥ 1,485
5日内发货
100 μL
¥ 2,490
5日内发货
库存状态实时更新,以官网显示为准,现货产品可直接加购物车下单
大包装 & 定制
加入购物车

TargetMol的所有产品仅用作科学研究或药证申报,不能被用于人体,我们不向个人提供产品和服务。请您遵守承诺用途,不得违反法律法规规定用于任何其他用途。

实验操作小课堂
常见问题解答
查看更多

资源下载:产品操作手册

产品介绍


生物活性
产品描述
Anti-RAC1/2/3 Antibody (1M237) is a Rabbit antibody targeting RAC1/2/3. Anti-RAC1/2/3 Antibody (1M237) can be used in ICC/IF,IHC,WB.
别名
TC-25, ras-related C3 botulinum toxin substrate 1 (rho family, small GTP binding protein Rac1), Rac-1, p21-Rac1, MIG5
Ig Type
IgG
克隆号
1M237
反应种属
Human,Mouse,Rat
验证活性
1. Western blot analysis of RAC1/2/3 on MCF-7 cells lysates using anti-RAC1/2/3 antibody at 1/500 dilution.
2. Immunohistochemical analysis of paraffin-embedded human tonsil tissue using anti-RAC1/2/3 antibody. Counter stained with hematoxylin.
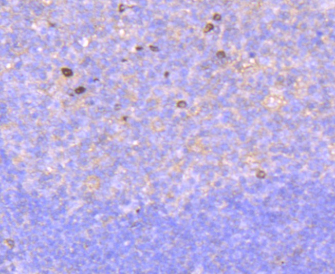
3. Immunohistochemical analysis of paraffin-embedded human spleen tissue using anti-RAC1/2/3 antibody. Counter stained with hematoxylin.
4. ICC staining RAC1/2/3 in 293T cells (red). The nuclear counter stain is DAPI (blue). Cells were fixed in paraformaldehyde, permeabilised with 0.25% Triton X100/PBS.
5. ICC staining RAC1/2/3 in Hela cells (red). The nuclear counter stain is DAPI (blue). Cells were fixed in paraformaldehyde, permeabilised with 0.25% Triton X100/PBS.
6. ICC staining RAC1/2/3 in NIH-3T3 cells (red). The nuclear counter stain is DAPI (blue). Cells were fixed in paraformaldehyde, permeabilised with 0.25% Triton X100/PBS.
verifiedActivityverifiedActivityverifiedActivityverifiedActivityverifiedActivityverifiedActivity
应用ICC/IFIHCWB
推荐剂量
WB: 1:500-2000; IHC: 1:50-200; ICC/IF: 1:50-200
抗体种类
Monoclonal
宿主来源Rabbit
构建方式Recombinant Antibody
纯化方式ProA affinity purified
性状Liquid
缓冲液1*TBS (pH7.4), 1%BSA, 40%Glycerol. Preservative: 0.05% Sodium Azide.
研究背景Plasma membrane-associated small GTPase which cycles between active GTP-bound and inactive GDP-bound states. In its active state, binds to a variety of effector proteins to regulate cellular responses such as secretory processes, phagocytosis of apoptotic cells, epithelial cell polarization and growth-factor induced formation of membrane ruffles. Rac1 p21/rho GDI heterodimer is the active component of the cytosolic factor sigma 1, which is involved in stimulation of the NADPH oxidase activity in macrophages (By similarity). Essential for the SPATA13-mediated regulation of cell migration and adhesion assembly and disassembly. Isoform B has an accelerated GEF-independent GDP/GTP exchange and an impaired GTP hydrolysis, which is restored partially by GTPase-activating proteins. It is able to bind to the GTPase-binding domain of PAK but not full-length PAK in a GTP-dependent manner, suggesting that the insertion does not completely abolish effector interaction.
偶联与修饰
偶联
Unconjugated
抗原信息
免疫原
Recombinant Protein
化学信息
分子量Theoretical: 21/24 kDa.
储存&溶解度
储存方式Store at -20°C or -80°C for 12 months. Avoid repeated freeze-thaw cycles.
运输方式Shipping with blue ice.

计算器

  • 稀释 计算器
  • 配液 计算器
Related Tags: buy Anti-RAC1/2/3 Antibody (1M237) | purchase Anti-RAC1/2/3 Antibody (1M237) | Anti-RAC1/2/3 Antibody (1M237) cost | order Anti-RAC1/2/3 Antibody (1M237) | Anti-RAC1/2/3 Antibody (1M237) molecular weight