购物车
  • 全部删除
  • TargetMol
    您的购物车当前为空

Anti-PXN Antibody (8Y831)

一键复制产品信息
Rating icon 还可以
产品编号 TMAC-03085
别名 Paxillin alpha, Paxillin, PAXI_HUMAN, PAX1, PAX 1, Paired box protein Pax 1, FLJ23042, FLJ16691

Anti-PXN Antibody (8Y831) 是一种 Rabbit 抗体,靶向 PXN。Anti-PXN Antibody (8Y831) 可用于 ICC/IF,IHC,IP,WB。

Anti-PXN Antibody (8Y831)

Anti-PXN Antibody (8Y831)

一键复制产品信息
Rating icon 还可以
产品编号 TMAC-03085 别名 Paxillin alpha, Paxillin, PAXI_HUMAN, PAX1, PAX 1, Paired box protein Pax 1, FLJ23042, FLJ16691

Anti-PXN Antibody (8Y831) 是一种 Rabbit 抗体,靶向 PXN。Anti-PXN Antibody (8Y831) 可用于 ICC/IF,IHC,IP,WB。

规格价格库存数量
50 μL
¥ 1,490
5日内发货
100 μL
¥ 2,495
5日内发货
大包装 & 定制
加入购物车
TargetMol 的所有产品仅用作科学研究或药证申报,不能被用于人体,我们不向个人提供产品和服务。请您遵守承诺用途,不得违反法律法规规定用于任何其他用途。
实验操作小课堂
常见问题解答
查看更多
联系我们获取更多批次信息
资源下载

产品介绍

生物活性
产品描述
Anti-PXN Antibody (8Y831) is a Rabbit antibody targeting PXN. Anti-PXN Antibody (8Y831) can be used in ICC/IF,IHC,IP,WB.
别名Paxillin alpha, Paxillin, PAXI_HUMAN, PAX1, PAX 1, Paired box protein Pax 1, FLJ23042, FLJ16691
Ig Type
IgG
克隆号
8Y831
交叉反应
Human,Mouse,Rat
验证活性
1. Western blot analysis of Paxillin on NIH/3T3 cells lysates using anti-Paxillin antibody at 1/1,000 dilution.
2. Immunohistochemical analysis of paraffin-embedded human kideny tissue using anti-Paxillin antibody. Counter stained with hematoxylin.
3. Immunohistochemical analysis of paraffin-embedded mouse testis tissue using anti-Paxillin antibody. Counter stained with hematoxylin.
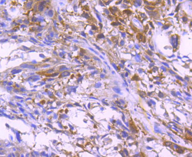
4. Immunohistochemical analysis of paraffin-embedded human breast carcinoma tissue using anti-Paxillin antibody. Counter stained with hematoxylin.
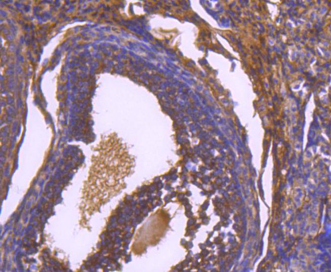
5. Immunohistochemical analysis of paraffin-embedded mouse ovary tissue using anti-Paxillin antibody. Counter stained with hematoxylin.
6. ICC staining Paxillin in Hela cells (green). The nuclear counter stain is DAPI (blue). Cells were fixed in paraformaldehyde, permeabilised with 0.25% Triton X100/PBS.
7. ICC staining Paxillin in A549 cells (green). The nuclear counter stain is DAPI (blue). Cells were fixed in paraformaldehyde, permeabilised with 0.25% Triton X100/PBS.
8. ICC staining Paxillin in SKOV-3 cells (green). The nuclear counter stain is DAPI (blue). Cells were fixed in paraformaldehyde, permeabilised with 0.25% Triton X100/PBS.
verifiedActivityverifiedActivityverifiedActivityverifiedActivityverifiedActivityverifiedActivityverifiedActivityverifiedActivity
应用ICC/IFIHCIPWB
推荐剂量
WB: 1:1000-2000; IHC: 1:50-200; ICC/IF: 1:50-200
抗体种类
Monoclonal
宿主来源Rabbit
构建方式Recombinant Antibody
纯化方式ProA affinity purified
性状Liquid
缓冲液1*TBS (pH7.4), 1%BSA, 40%Glycerol. Preservative: 0.05% Sodium Azide.
研究背景Paxillin is a focal adhesion phosphoprotein that is localized to the cytoskeleton. Phosphorylation of paxillin has been shown to occur in response to PDGF treatment, v-Src transformation or cross-linking of integrins. FAK (focal adhesion kinase) and PYK2 have been shown to phosphorylate paxillin. FAK phosphorylates paxillin specifically on Tyr 118 in vitro. However, FAK phosphorylation does not seem to be required for the recruitment of paxillin to cell adhesion sites. Paxillin may play a role in signal transduction, regulation of cell morphology and the recruitment of structural and signaling molecules to focal adhesions. It has been shown that the amount of paxillin is reduced in mitotic cells by proteolytic downregulation and that paxillin is alternatively phosphorylated on serine rather than on tyrosine and serine during mitosis.
偶联与修饰
偶联
Unconjugated
抗原信息
免疫原
Recombinant Protein
Uniprot ID
化学信息
分子量Theoretical: 65 kDa.
存储&运输
储存方式Store at -20°C or -80°C for 12 months. Avoid repeated freeze-thaw cycles.
运输方式Shipping with blue ice.

计算器

  • 稀释 计算器

评论列表

4个月前
5.0
Rating icon 很棒

评论内容

Related Tags: buy Anti-PXN Antibody (8Y831) | purchase Anti-PXN Antibody (8Y831) | Anti-PXN Antibody (8Y831) cost | order Anti-PXN Antibody (8Y831) | Anti-PXN Antibody (8Y831) molecular weight