购物车
  • 全部删除
  • TargetMol
    您的购物车当前为空

Anti-PSME1 Antibody (8P627)

一键复制产品信息
Rating icon 还可以
产品编号 TMAC-03454
别名 REGα, REGalpha, proteasome (prosome, macropain) activator subunit 1 (PA28 α), proteasome (prosome, macropain) activator subunit 1 (PA28 alpha), PA28α, PA28alpha, PA28A, IFI5111

Anti-PSME1 Antibody (8P627) 是一种 Rabbit 抗体,靶向 PSME1。Anti-PSME1 Antibody (8P627) 可用于 ICC,IF,IHC,IP,WB。

Anti-PSME1 Antibody (8P627)

Anti-PSME1 Antibody (8P627)

一键复制产品信息
Rating icon 还可以
产品编号 TMAC-03454 别名 REGα, REGalpha, proteasome (prosome, macropain) activator subunit 1 (PA28 α), proteasome (prosome, macropain) activator subunit 1 (PA28 alpha), PA28α, PA28alpha, PA28A, IFI5111

Anti-PSME1 Antibody (8P627) 是一种 Rabbit 抗体,靶向 PSME1。Anti-PSME1 Antibody (8P627) 可用于 ICC,IF,IHC,IP,WB。

规格价格库存数量
50 μL
¥ 1,495
5日内发货
100 μL
¥ 2,490
5日内发货
大包装 & 定制
加入购物车
TargetMol 的所有产品仅用作科学研究或药证申报,不能被用于人体,我们不向个人提供产品和服务。请您遵守承诺用途,不得违反法律法规规定用于任何其他用途。
实验操作小课堂
常见问题解答
查看更多
联系我们获取更多批次信息
资源下载

产品介绍

生物活性
产品描述
Anti-PSME1 Antibody (8P627) is a Rabbit antibody targeting PSME1. Anti-PSME1 Antibody (8P627) can be used in ICC,IF,IHC,IP,WB.
别名REGα, REGalpha, proteasome (prosome, macropain) activator subunit 1 (PA28 α), proteasome (prosome, macropain) activator subunit 1 (PA28 alpha), PA28α, PA28alpha, PA28A, IFI5111
Ig Type
IgG
克隆号
8P627
交叉反应
Human,Mouse,Rat
验证活性
1. Western blot analysis of PSME1 on MCF-7 cell (1) and rat lung tissue (2) lysate using anti-PSME1 antibody at 1/500 dilution.
2. Immunohistochemical analysis of paraffin-embedded rat kidney tissue using anti-PSME1 antibody. Counter stained with hematoxylin.
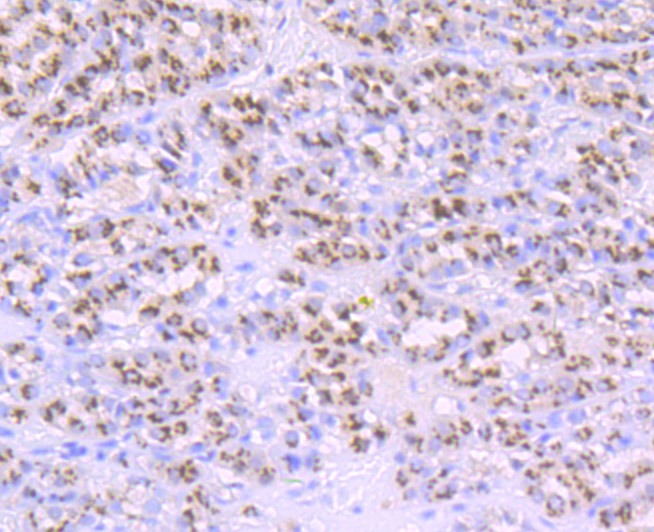
3. Immunohistochemical analysis of paraffin-embedded human tonsil tissue using anti-PSME1 antibody. Counter stained with hematoxylin.
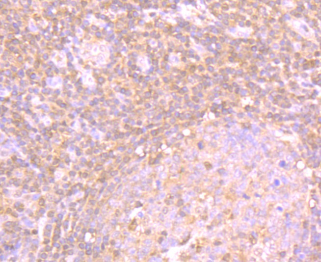
4. Immunohistochemical analysis of paraffin-embedded human liver cancer tissue using anti-PSME1 antibody. Counter stained with hematoxylin.
5. Immunohistochemical analysis of paraffin-embedded human prostate tissue using anti-PSME1 antibody. Counter stained with hematoxylin.
6. Immunohistochemical analysis of paraffin-embedded mouse small intestine tissue using anti-PSME1 antibody. Counter stained with hematoxylin.
7. ICC staining PSME1 in HepG2 cells (green). The nuclear counter stain is DAPI (blue). Cells were fixed in paraformaldehyde, permeabilised with 0.25% Triton X100/PBS.
8. ICC staining PSME1 in MCF-7 cells (green). The nuclear counter stain is DAPI (blue). Cells were fixed in paraformaldehyde, permeabilised with 0.25% Triton X100/PBS.
9. ICC staining PSME1 in PC-3M cells (green). The nuclear counter stain is DAPI (blue). Cells were fixed in paraformaldehyde, permeabilised with 0.25% Triton X100/PBS.
verifiedActivityverifiedActivityverifiedActivityverifiedActivityverifiedActivityverifiedActivityverifiedActivityverifiedActivityverifiedActivity
应用ICCIFIHCIPWB
推荐剂量
WB: 1:500-1000; IHC: 1:50-200; ICC: 1:50-100; IP: 1:10-50
抗体种类
Monoclonal
宿主来源Rabbit
构建方式Recombinant Antibody
纯化方式ProA affinity purified
性状Liquid
缓冲液1*TBS (pH7.4), 1%BSA, 40%Glycerol. Preservative: 0.05% Sodium Azide.
研究背景Implicated in immunoproteasome assembly and required for efficient antigen processing. The PA28 activator complex enhances the generation of class I binding peptides by altering the cleavage pattern of the proteasome.
偶联与修饰
偶联
Unconjugated
抗原信息
免疫原
Recombinant Protein
Uniprot ID
化学信息
分子量Theoretical: 27 kDa.
存储&运输
储存方式Store at -20°C or -80°C for 12 months. Avoid repeated freeze-thaw cycles.
运输方式Shipping with blue ice.

计算器

  • 稀释 计算器

关键词

评论列表

4个月前
5.0
Rating icon 很棒

评论内容

Related Tags: buy Anti-PSME1 Antibody (8P627) | purchase Anti-PSME1 Antibody (8P627) | Anti-PSME1 Antibody (8P627) cost | order Anti-PSME1 Antibody (8P627) | Anti-PSME1 Antibody (8P627) molecular weight