购物车
  • TargetMol
    您的购物车当前为空

Anti-PRMT5 Antibody (3P436)

Synonyms: SKB1Hs, SKB1, JBP1, IBP72, HSL7, HRMT1L5
货号 TMAC-03426 一键复制产品信息
Rating icon 还可以

Anti-PRMT5 Antibody (3P436) 是一种 Rabbit 抗体,靶向 PRMT5。Anti-PRMT5 Antibody (3P436) 可用于 ICC/IF,IHC,WB。

Anti-PRMT5 Antibody (3P436)

一键复制产品信息
Rating icon 还可以
货号 TMAC-03426

别名 SKB1Hs, SKB1, JBP1, IBP72, HSL7, HRMT1L5

Anti-PRMT5 Antibody (3P436) 是一种 Rabbit 抗体,靶向 PRMT5。Anti-PRMT5 Antibody (3P436) 可用于 ICC/IF,IHC,WB。

Anti-PRMT5 Antibody (3P436)
规格价格库存数量
50 μL
¥ 1,480
5日内发货
100 μL
¥ 2,485
5日内发货
库存状态实时更新,以官网显示为准,现货产品可直接加购物车下单
大包装 & 定制
加入购物车

TargetMol的所有产品仅用作科学研究或药证申报,不能被用于人体,我们不向个人提供产品和服务。请您遵守承诺用途,不得违反法律法规规定用于任何其他用途。

实验操作小课堂
常见问题解答
查看更多

资源下载:产品操作手册

产品介绍


生物活性
产品描述
Anti-PRMT5 Antibody (3P436) is a Rabbit antibody targeting PRMT5. Anti-PRMT5 Antibody (3P436) can be used in ICC/IF,IHC,WB.
别名
SKB1Hs, SKB1, JBP1, IBP72, HSL7, HRMT1L5
Ig Type
IgG
克隆号
3P436
反应种属
Human,Mouse,Rat
验证活性
1. Western blot analysis of PRMT5 on A431 cell lysates using anti-PRMT5 antibody at 1/1,000 dilution.
2. Immunohistochemical analysis of paraffin-embedded human breast carcinoma tissue using anti-PRMT5 antibody. Counter stained with hematoxylin.
3. Immunohistochemical analysis of paraffin-embedded human kidney tissue using anti-PRMT5 antibody. Counter stained with hematoxylin.
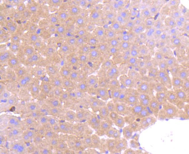
4. Immunohistochemical analysis of paraffin-embedded mouse liver tissue using anti-PRMT5 antibody. Counter stained with hematoxylin.
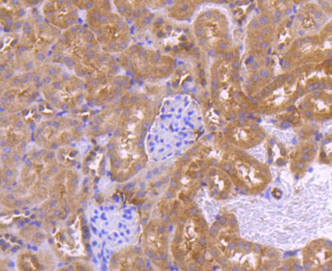
5. Immunohistochemical analysis of paraffin-embedded mouse kidney tissue using anti-PRMT5 antibody. Counter stained with hematoxylin.
6. ICC staining PRMT5 in HepG2 cells (green). The nuclear counter stain is DAPI (blue). Cells were fixed in paraformaldehyde, permeabilised with 0.25% Triton X100/PBS.
verifiedActivityverifiedActivityverifiedActivityverifiedActivityverifiedActivityverifiedActivity
应用ICC/IFIHCWB
推荐剂量
WB: 1:1000-2000; IHC: 1:50-200; ICC/IF: 1:50-200
抗体种类
Monoclonal
宿主来源Rabbit
构建方式Recombinant Antibody
纯化方式ProA affinity purified
性状Liquid
缓冲液1*TBS (pH7.4), 1%BSA, 40%Glycerol. Preservative: 0.05% Sodium Azide.
研究背景The formation of the spliceosome includes the assembly of Sm proteins in an ordered manner onto snRNAs. This process is mediated by the survival of a motor neuron (SMN) protein and is enhanced by modification of specific Arginine residues in the Sm proteins to symmetrical dimethylarginines (sDMAs). sDMA modification of Sm proteins is catalyzed by the methylosome, a complex comprised of the type II methyltransferase PRMT5, also designated JAK-binding protein 1), (JBP1), pICln, and two novel factors. PRMT5 binds the Sm proteins via their Arginine- and Glycine-rich (RG) domains, while pICln binds the Sm domains. PRMT5 is a distinct member of the protein-Arginine methyltransferase (PRMT) family, and predominantly localizes to the cytoplasm in a wide variety of tissues. PRMT5 also associates specifically with the transcription start site region of the cyclin E1 promoter, and, therefore, is involved in the control of transcription and proliferation. The gene encoding human PRMT5 maps to chromosome 14q11.
偶联与修饰
偶联
Unconjugated
抗原信息
免疫原
Recombinant Protein
Uniprot ID
化学信息
分子量Theoretical: 73 kDa.
储存&溶解度
储存方式Store at -20°C or -80°C for 12 months. Avoid repeated freeze-thaw cycles.
运输方式Shipping with blue ice.

计算器

  • 稀释 计算器
  • 配液 计算器
Related Tags: buy Anti-PRMT5 Antibody (3P436) | purchase Anti-PRMT5 Antibody (3P436) | Anti-PRMT5 Antibody (3P436) cost | order Anti-PRMT5 Antibody (3P436) | Anti-PRMT5 Antibody (3P436) molecular weight