购物车
  • 全部删除
  • TargetMol
    您的购物车当前为空

Anti-PON2 Antibody (3M227)

一键复制产品信息
Rating icon 还可以
产品编号 TMAC-03391
别名 Serum paraoxonase/arylesterase 2, Serum aryldialkylphosphatase 2, PON2_HUMAN, PON2, PON 2, Paraoxonase nirs, Paraoxonase 2, Aromatic esterase 2, A-esterase 2, A esterase 2

Anti-PON2 Antibody (3M227) 是一种 Rabbit 抗体,靶向 PON2。Anti-PON2 Antibody (3M227) 可用于 IHC,IP,WB。

Anti-PON2 Antibody (3M227)

Anti-PON2 Antibody (3M227)

一键复制产品信息
Rating icon 还可以
产品编号 TMAC-03391 别名 Serum paraoxonase/arylesterase 2, Serum aryldialkylphosphatase 2, PON2_HUMAN, PON2, PON 2, Paraoxonase nirs, Paraoxonase 2, Aromatic esterase 2, A-esterase 2, A esterase 2

Anti-PON2 Antibody (3M227) 是一种 Rabbit 抗体,靶向 PON2。Anti-PON2 Antibody (3M227) 可用于 IHC,IP,WB。

规格价格库存数量
50 μL
¥ 1,485
5日内发货
100 μL
¥ 2,495
5日内发货
大包装 & 定制
加入购物车
TargetMol 的所有产品仅用作科学研究或药证申报,不能被用于人体,我们不向个人提供产品和服务。请您遵守承诺用途,不得违反法律法规规定用于任何其他用途。
实验操作小课堂
常见问题解答
查看更多
联系我们获取更多批次信息
资源下载

产品介绍

生物活性
产品描述
Anti-PON2 Antibody (3M227) is a Rabbit antibody targeting PON2. Anti-PON2 Antibody (3M227) can be used in IHC,IP,WB.
别名Serum paraoxonase/arylesterase 2, Serum aryldialkylphosphatase 2, PON2_HUMAN, PON2, PON 2, Paraoxonase nirs, Paraoxonase 2, Aromatic esterase 2, A-esterase 2, A esterase 2
Ig Type
IgG
克隆号
3M227
交叉反应
Human,Mouse,Rat
验证活性
1. Western blot analysis of PON2 on A549 cell lysate using anti-PON2 antibody at 1/1,000 dilution.
2. Immunohistochemical analysis of paraffin-embedded human colon cancer tissue using anti-PON2 antibody. Counter stained with hematoxylin.
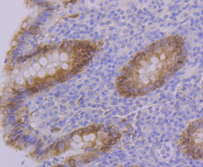
3. Immunohistochemical analysis of paraffin-embedded human appendix tissue using anti-PON2 antibody. Counter stained with hematoxylin.
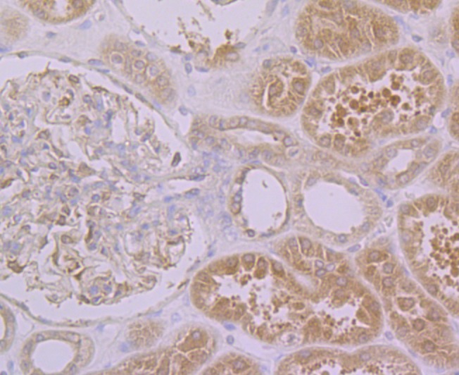
4. Immunohistochemical analysis of paraffin-embedded human kidney tissue using anti-PON2 antibody. Counter stained with hematoxylin.
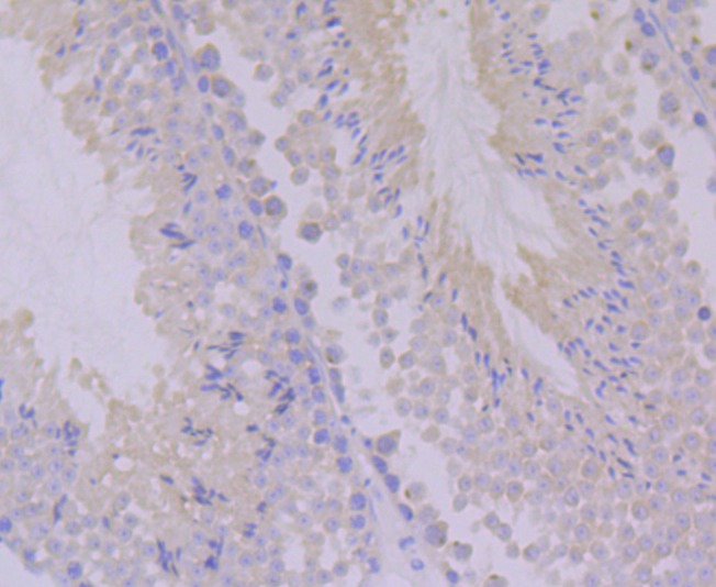
5. Immunohistochemical analysis of paraffin-embedded mouse testis tissue using anti-PON2 antibody. Counter stained with hematoxylin.
verifiedActivityverifiedActivityverifiedActivityverifiedActivityverifiedActivity
应用IHCIPWB
推荐剂量
WB: 1:500-2000; IHC: 1:50-200; IP: 1:10-50
抗体种类
Monoclonal
宿主来源Rabbit
构建方式Recombinant Antibody
纯化方式ProA affinity purified
性状Liquid
缓冲液1*TBS (pH7.4), 1%BSA, 40%Glycerol. Preservative: 0.05% Sodium Azide.
研究背景Paroxon is an organophosphorus anticholinesterase compound, used topically in the treatment of glaucoma. It is produced in vivo in mammals by microsomal oxidation of the insecticide parathion. Parathion is inert until transformed to paroxon. Paroxonase (paraoxonase or PON) is an arylesterase that is capable of hydrolyzing paroxon to produce p-nitrophenol. PONs are nonspecific and their classification is based not only on substrate specificity but also on tissue distribution, inhibition properties, and physicochemical characteristics such as electrophoretic mobility and molecular weight. In contrast to PON1, which is expressed mainly in the liver, PON2 is expressed in a variety of mouse tissues, including the pancreas. PON3 is associated with the high density lipoprotein fraction of serum. The genes which encode PON1-3 are physically linked and map to human chromosome 7q21.3.
偶联与修饰
偶联
Unconjugated
抗原信息
免疫原
Recombinant Protein: human PON2 aa 200-350
抗原种属
human
Uniprot ID
化学信息
分子量Theoretical: 38/39 kDa.
存储&运输
储存方式Store at -20°C or -80°C for 12 months. Avoid repeated freeze-thaw cycles.
运输方式Shipping with blue ice.

计算器

  • 稀释 计算器

评论列表

4个月前
5.0
Rating icon 很棒

评论内容

Related Tags: buy Anti-PON2 Antibody (3M227) | purchase Anti-PON2 Antibody (3M227) | Anti-PON2 Antibody (3M227) cost | order Anti-PON2 Antibody (3M227) | Anti-PON2 Antibody (3M227) molecular weight