购物车
  • 全部删除
  • TargetMol
    您的购物车当前为空

Anti-Podoplanin Antibody (9X102)

一键复制产品信息
Rating icon 还可以
产品编号 TMAC-03389
别名 T1-alpha, Podoplanin, PA2.26 antigen, Glycoprotein 36, Aggrus

Anti-Podoplanin Antibody (9X102) 是一种 Rabbit 抗体,靶向 Podoplanin。Anti-Podoplanin Antibody (9X102) 可用于 IHC,WB。

Anti-Podoplanin Antibody (9X102)

Anti-Podoplanin Antibody (9X102)

一键复制产品信息
Rating icon 还可以
产品编号 TMAC-03389 别名 T1-alpha, Podoplanin, PA2.26 antigen, Glycoprotein 36, Aggrus

Anti-Podoplanin Antibody (9X102) 是一种 Rabbit 抗体,靶向 Podoplanin。Anti-Podoplanin Antibody (9X102) 可用于 IHC,WB。

规格价格库存数量
50 μL
¥ 1,495
5日内发货
100 μL
¥ 2,490
5日内发货
大包装 & 定制
加入购物车
TargetMol 的所有产品仅用作科学研究或药证申报,不能被用于人体,我们不向个人提供产品和服务。请您遵守承诺用途,不得违反法律法规规定用于任何其他用途。
实验操作小课堂
常见问题解答
查看更多
联系我们获取更多批次信息
资源下载

产品介绍

生物活性
产品描述
Anti-Podoplanin Antibody (9X102) is a Rabbit antibody targeting Podoplanin. Anti-Podoplanin Antibody (9X102) can be used in IHC,WB.
别名T1-alpha, Podoplanin, PA2.26 antigen, Glycoprotein 36, Aggrus
Ig Type
IgG
克隆号
9X102
交叉反应
Human
验证活性
1. Western blot analysis of Podoplanin on human lung cells lysates using anti-Podoplanin antibody at 1/500 dilution.
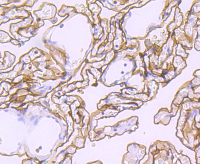
2. Immunohistochemical analysis of paraffin-embedded human lung tissue using anti-Podoplanin antibody. Counter stained with hematoxylin.
3. Immunohistochemical analysis of paraffin-embedded human colon cancer tissue using anti-Podoplanin antibody. Counter stained with hematoxylin.
verifiedActivityverifiedActivityverifiedActivity
应用IHCWB
推荐剂量
WB: 1:2000-5000; IHC: 1:50-200
抗体种类
Monoclonal
宿主来源Rabbit
构建方式Recombinant Antibody
纯化方式ProA affinity purified
性状Liquid
缓冲液1*TBS (pH7.4), 1%BSA, 40%Glycerol. Preservative: 0.05% Sodium Azide.
研究背景Puromycin aminonucleoside nephrosis (PAN) is a rat model for human minimal change nephropathy. During PAN, severe proteinuria is induced that is paralleled by a reduced expression of a rat podocyte protein, named podoplanin. Podoplanin, also known as glycoprotein 38 (gp38) is a type I membrane protein. Podoplanin localizes in stromal cells of peripheral lymphoid tissue and thymic epithelial cells. As a regulator of the lymphatic endothelium, podoplanin probably plays a role in maintaining the unique shape of podocytes.
偶联与修饰
偶联
Unconjugated
抗原信息
免疫原
Recombinant Protein
Uniprot ID
化学信息
分子量Theoretical: 36 kDa.
存储&运输
储存方式Store at -20°C or -80°C for 12 months. Avoid repeated freeze-thaw cycles.
运输方式Shipping with blue ice.

计算器

  • 稀释 计算器

评论列表

4个月前
5.0
Rating icon 很棒

评论内容

Related Tags: buy Anti-Podoplanin Antibody (9X102) | purchase Anti-Podoplanin Antibody (9X102) | Anti-Podoplanin Antibody (9X102) cost | order Anti-Podoplanin Antibody (9X102) | Anti-Podoplanin Antibody (9X102) molecular weight