购物车
  • TargetMol
    您的购物车当前为空

Anti-PIM1 Antibody (6F773)

Synonyms: Proviral integration site 2, Proviral integration site 1, Proto-oncogene serine/threonine-protein kinase Pim-1, Proto oncogene serine/threonine protein kinase Pim 1, PIM3, Pim2, PIM1_HUMAN, pim1 kinase 44 kDa isoform, PIM1, pim 1 oncogene (proviral integration site 1), Pim 1 oncogene, pim 1 kinase 44 kDa isoform, Pim 1 kinase, PIM 1, PIM, Oncogene PIM1, Oncogene PIM 1
货号 TMAC-03299 一键复制产品信息
Rating icon 还可以

Anti-PIM1 Antibody (6F773) 是一种 Rabbit 抗体,靶向 PIM1。Anti-PIM1 Antibody (6F773) 可用于 ICC/IF,IHC,WB。

Anti-PIM1 Antibody (6F773)

一键复制产品信息
Rating icon 还可以
货号 TMAC-03299

别名 Proviral integration site 2, Proviral integration site 1, Proto-oncogene serine/threonine-protein kinase Pim-1, Proto oncogene serine/threonine protein kinase Pim 1, PIM3, Pim2, PIM1_HUMAN, pim1 kinase 44 kDa isoform, PIM1, pim 1 oncogene (proviral integration site 1), Pim 1 oncogene, pim 1 kinase 44 kDa isoform, Pim 1 kinase, PIM 1, PIM, Oncogene PIM1, Oncogene PIM 1

Anti-PIM1 Antibody (6F773) 是一种 Rabbit 抗体,靶向 PIM1。Anti-PIM1 Antibody (6F773) 可用于 ICC/IF,IHC,WB。

Anti-PIM1 Antibody (6F773)
规格价格库存数量
50 μL
¥ 1,490
5日内发货
100 μL
¥ 2,495
5日内发货
库存状态实时更新,以官网显示为准,现货产品可直接加购物车下单
大包装 & 定制
加入购物车

TargetMol的所有产品仅用作科学研究或药证申报,不能被用于人体,我们不向个人提供产品和服务。请您遵守承诺用途,不得违反法律法规规定用于任何其他用途。

实验操作小课堂
常见问题解答
查看更多

资源下载:产品操作手册

产品介绍


生物活性
产品描述
Anti-PIM1 Antibody (6F773) is a Rabbit antibody targeting PIM1. Anti-PIM1 Antibody (6F773) can be used in ICC/IF,IHC,WB.
别名
Proviral integration site 2, Proviral integration site 1, Proto-oncogene serine/threonine-protein kinase Pim-1, Proto oncogene serine/threonine protein kinase Pim 1, PIM3, Pim2, PIM1_HUMAN, pim1 kinase 44 kDa isoform, PIM1, pim 1 oncogene (proviral integration site 1), Pim 1 oncogene, pim 1 kinase 44 kDa isoform, Pim 1 kinase, PIM 1, PIM, Oncogene PIM1, Oncogene PIM 1
Ig Type
IgG
克隆号
6F773
反应种属
Human,Mouse
验证活性
1. Western blot analysis of PIM1 on different lysates using anti-PIM1 antibody at 1/1,000 dilution. Positive control: Lane 1: BT-20, Lane 2: HepG2, Lane 3: SW480.
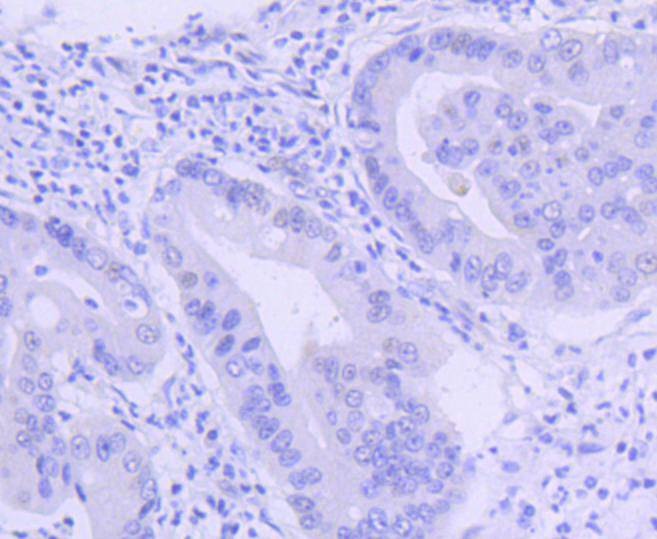
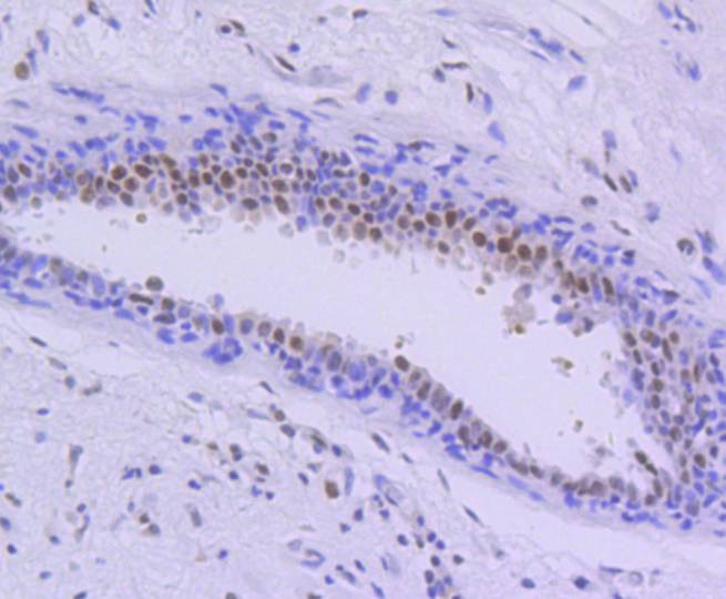
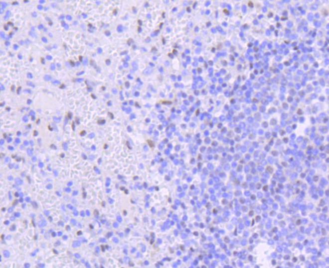
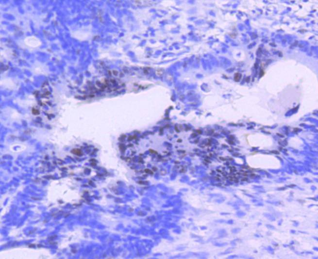
2. Immunohistochemical analysis of paraffin-embedded human gastric carcinoma tissue using anti-PIM1 antibody. Counter stained with hematoxylin.
3. Immunohistochemical analysis of paraffin-embedded human tonsil tissue using anti-PIM1 antibody. Counter stained with hematoxylin.
4. Immunohistochemical analysis of paraffin-embedded human colon cancer tissue using anti-PIM1 antibody. Counter stained with hematoxylin.
5. Immunohistochemical analysis of paraffin-embedded human spleen tissue using anti-PIM1 antibody. Counter stained with hematoxylin.
6. Immunohistochemical analysis of paraffin-embedded human breast carcinoma tissue using anti-PIM1 antibody. Counter stained with hematoxylin.
7. Immunohistochemical analysis of paraffin-embedded human gastric carcinoma tissue using anti-PIM1 antibody. Counter stained with hematoxylin.
8. ICC staining PIM1 in BT-20 cells (green). The nuclear counter stain is DAPI (blue). Cells were fixed in paraformaldehyde, permeabilised with 0.25% Triton X100/PBS.
9. ICC staining PIM1 in HepG2 cells (green). The nuclear counter stain is DAPI (blue). Cells were fixed in paraformaldehyde, permeabilised with 0.25% Triton X100/PBS.
10. ICC staining PIM1 in SW480 cells (green). The nuclear counter stain is DAPI (blue). Cells were fixed in paraformaldehyde, permeabilised with 0.25% Triton X100/PBS.
verifiedActivityverifiedActivityverifiedActivityverifiedActivityverifiedActivityverifiedActivityverifiedActivityverifiedActivityverifiedActivityverifiedActivity
应用ICC/IFIHCWB
推荐剂量
WB: 1:1000-2000; IHC: 1:50-200; ICC/IF: 1:50-200
抗体种类
Monoclonal
宿主来源Rabbit
构建方式Recombinant Antibody
纯化方式ProA affinity purified
性状Liquid
缓冲液1*TBS (pH7.4), 1%BSA, 40%Glycerol. Preservative: 0.05% Sodium Azide.
研究背景Pim-1 is a serine/threonine kinase that cooperates with c-Myc in lymphoid cell transformation. The expression of pim-1 increases during the progression from early to late G1, remaining high at the G1/S boundary and G2 phases of the cell cycle. Pim-1 is regulated at both the transcriptional and translational level, and it has been shown to be induced by IL-2 stimulation. Pim-1 also plays a role in T cell differentiation, and it has been shown to stimulate c-Myc-mediated apoptosis upstream of caspase-3-like proteases.
偶联与修饰
偶联
Unconjugated
抗原信息
免疫原
Recombinant Protein
Uniprot ID
化学信息
分子量Theoretical: 32 kDa.
储存&溶解度
储存方式Store at -20°C or -80°C for 12 months. Avoid repeated freeze-thaw cycles.
运输方式Shipping with blue ice.

计算器

  • 稀释 计算器
  • 配液 计算器
Related Tags: buy Anti-PIM1 Antibody (6F773) | purchase Anti-PIM1 Antibody (6F773) | Anti-PIM1 Antibody (6F773) cost | order Anti-PIM1 Antibody (6F773) | Anti-PIM1 Antibody (6F773) molecular weight