购物车
  • TargetMol
    您的购物车当前为空

Anti-Phospho-TRIM28 (Ser824) Polyclonal Antibody

Synonyms: TRIM28 (p-Ser824), TRIM28 (p-S824), p-TRIM28 (Ser824), p-TRIM28 (S824)
货号 TMAC-04119 一键复制产品信息
Rating icon 还可以

Anti-Phospho-TRIM28 (Ser824) Polyclonal Antibody 是一种 Rabbit 抗体,靶向 Phospho-TRIM28 (Ser824)。Anti-Phospho-TRIM28 (Ser824) Polyclonal Antibody 可用于 IHC,WB。

Anti-Phospho-TRIM28 (Ser824) Polyclonal Antibody

一键复制产品信息
Rating icon 还可以
货号 TMAC-04119

别名 TRIM28 (p-Ser824), TRIM28 (p-S824), p-TRIM28 (Ser824), p-TRIM28 (S824)

Anti-Phospho-TRIM28 (Ser824) Polyclonal Antibody 是一种 Rabbit 抗体,靶向 Phospho-TRIM28 (Ser824)。Anti-Phospho-TRIM28 (Ser824) Polyclonal Antibody 可用于 IHC,WB。

Anti-Phospho-TRIM28 (Ser824) Polyclonal Antibody
规格价格库存数量
100 μL
¥ 2,230
5日内发货
库存状态实时更新,以官网显示为准,现货产品可直接加购物车下单
大包装 & 定制
加入购物车

TargetMol的所有产品仅用作科学研究或药证申报,不能被用于人体,我们不向个人提供产品和服务。请您遵守承诺用途,不得违反法律法规规定用于任何其他用途。

实验操作小课堂
常见问题解答
查看更多

资源下载:产品操作手册

产品介绍


生物活性
产品描述
Anti-Phospho-TRIM28 (Ser824) Polyclonal Antibody is a Rabbit antibody targeting Phospho-TRIM28 (Ser824). Anti-Phospho-TRIM28 (Ser824) Polyclonal Antibody can be used in IHC,WB.
别名
TRIM28 (p-Ser824), TRIM28 (p-S824), p-TRIM28 (Ser824), p-TRIM28 (S824)
Ig Type
IgG
反应种属
Human,Mouse,Rat
验证活性
1. Western Blot analysis of 1 Hela, 2 treated with LPS 100ng/mL 20mim,using primary antibody at 1:1000 dilution.
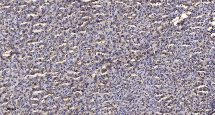
2. Immunohistochemical analysis of paraffin-embedded human liver cancer. 1, Antibody was diluted at 1:200 (4°C overnight). 2, Tris-EDTA, pH9.0 was used for antigen retrieval. 3,Secondary antibody was diluted at 1:200 (room temperature, 45min).
verifiedActivityverifiedActivity
应用IHCWB
推荐剂量
WB: 1:500-2000; IHC: 1:50-300
抗体种类
Polyclonal
宿主来源Rabbit
构建方式Polyclonal Antibody
纯化方式The antibody was affinity-purified from rabbit serum by affinity-chromatography using specific immunogen.
性状Liquid
缓冲液Liquid in PBS containing 50% glycerol, 0.5% BSA and 0.02% sodium azide.
研究背景The protein encoded by this gene mediates transcriptional control by interaction with the Kruppel-associated box repression domain found in many transcription factors. The protein localizes to the nucleus and is thought to associate with specific chromatin regions. The protein is a member of the tripartite motif family. This tripartite motif includes three zinc-binding domains, a RING, a B-box type 1 and a B-box type 2, and a coiled-coil region. [provided by RefSeq, Jul 2008],
偶联与修饰
偶联
Unconjugated
其他可选修饰符
Phospho
抗原信息
免疫原
A synthesized phosphopeptide: human TRIM28 around the phosphorylation site of Ser824
抗原种属
human
Uniprot ID
化学信息
分子量Theoretical: 110 kDa.
储存&溶解度
储存方式Store at -20°C or -80°C for 12 months. Avoid repeated freeze-thaw cycles.
运输方式Shipping with blue ice.

计算器

  • 稀释 计算器
  • 配液 计算器
Related Tags: buy Anti-Phospho-TRIM28 (Ser824) Polyclonal Antibody | purchase Anti-Phospho-TRIM28 (Ser824) Polyclonal Antibody | Anti-Phospho-TRIM28 (Ser824) Polyclonal Antibody cost | order Anti-Phospho-TRIM28 (Ser824) Polyclonal Antibody | Anti-Phospho-TRIM28 (Ser824) Polyclonal Antibody molecular weight