购物车
  • TargetMol
    您的购物车当前为空

Anti-Phospho-Synapsin-1 (Ser9) Antibody (8A406)

Synonyms: Synapsin-1 (p-Ser9), Synapsin-1 (p-S9), p-Synapsin-1 (Ser9), p-Synapsin-1 (S9)
货号 TMAC-03278 一键复制产品信息
Rating icon 还可以

Anti-Phospho-Synapsin-1 (Ser9) Antibody (8A406) 是一种 Rabbit 抗体,靶向 Phospho-Synapsin-1 (Ser9)。Anti-Phospho-Synapsin-1 (Ser9) Antibody (8A406) 可用于 WB,IHC。

Anti-Phospho-Synapsin-1 (Ser9) Antibody (8A406)

一键复制产品信息
Rating icon 还可以
货号 TMAC-03278

别名 Synapsin-1 (p-Ser9), Synapsin-1 (p-S9), p-Synapsin-1 (Ser9), p-Synapsin-1 (S9)

Anti-Phospho-Synapsin-1 (Ser9) Antibody (8A406) 是一种 Rabbit 抗体,靶向 Phospho-Synapsin-1 (Ser9)。Anti-Phospho-Synapsin-1 (Ser9) Antibody (8A406) 可用于 WB,IHC。

Anti-Phospho-Synapsin-1 (Ser9) Antibody (8A406)
规格价格库存数量
50 μL
¥ 1,485
5日内发货
100 μL
¥ 2,495
5日内发货
库存状态实时更新,以官网显示为准,现货产品可直接加购物车下单
大包装 & 定制
加入购物车

TargetMol的所有产品仅用作科学研究或药证申报,不能被用于人体,我们不向个人提供产品和服务。请您遵守承诺用途,不得违反法律法规规定用于任何其他用途。

实验操作小课堂
常见问题解答
查看更多

资源下载:产品操作手册

产品介绍


生物活性
产品描述
Anti-Phospho-Synapsin-1 (Ser9) Antibody (8A406) is a Rabbit antibody targeting Phospho-Synapsin-1 (Ser9). Anti-Phospho-Synapsin-1 (Ser9) Antibody (8A406) can be used in IHC,WB.
别名
Synapsin-1 (p-Ser9), Synapsin-1 (p-S9), p-Synapsin-1 (Ser9), p-Synapsin-1 (S9)
Ig Type
IgG
克隆号
8A406
反应种属
Human,Mouse,Rat
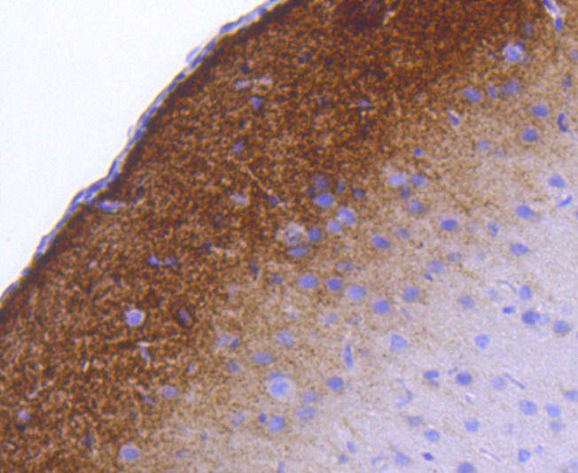
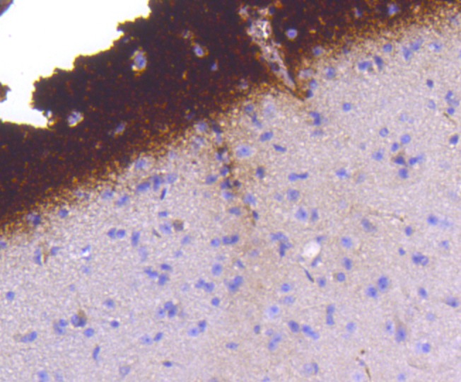
验证活性
1. Immunohistochemical analysis of paraffin-embedded rat brain tissue using anti-phospho-Synapsin (S9) antibody. Counter stained with hematoxylin.
2. Immunohistochemical analysis of paraffin-embedded mouse brain tissue using anti-phospho-Synapsin (S9) antibody. Counter stained with hematoxylin.
verifiedActivityverifiedActivity
应用IHCWB
推荐剂量
WB: 1:1000; IHC: 1:50-200
抗体种类
Monoclonal
宿主来源Rabbit
构建方式Hybridoma Monoclonal Antibody
纯化方式ProA affinity purified
性状Liquid
缓冲液1*TBS (pH7.4), 1%BSA, 40%Glycerol. Preservative: 0.05% Sodium Azide.
研究背景Synapsins are synaptic vesicle-associated phosphoproteins that regulate synaptic vesicle exocytosis and may be involved in synaptogenesis. Evidence suggests that Synapsin I, Synapsin II and Synapsin IIIa are ATP-binding proteins that are regulated by Ca2+ and calmodulin binding. Ca2+ has been shown to stimulate ATP binding to Synapsin I, to have no effect on Synapsin II and to inhibit Synapsin III. Synapsin I and Synapsin II both undergo alternative splicing to produce two forms of each protein, Synapsin la and lb and Synapsin IIa and IIb, respectively. Synapsin III gives rise to at least three isoforms: Synapsin IIIa, IIIb and IIIc. Synapsin III plays unique roles both in early axon outgrowth and in the regulation of synaptic vesicle trafficking. In cultured mouse hippocampal neurons, Synapsin III is expressed early during development, with levels peaking seven days after plating and declining thereafter. Synapsin III is highly concentrated in growth cones.
偶联与修饰
偶联
Unconjugated
其他可选修饰符
Phospho
抗原信息
免疫原
A synthesized phosphopeptide: human Synapsin around the phosphorylation site of Ser9
抗原种属
human
Uniprot ID
化学信息
分子量Theoretical: 77 kDa.
储存&溶解度
储存方式Store at -20°C or -80°C for 12 months. Avoid repeated freeze-thaw cycles.
运输方式Shipping with blue ice.

计算器

  • 稀释 计算器
  • 配液 计算器
Related Tags: buy Anti-Phospho-Synapsin-1 (Ser9) Antibody (8A406) | purchase Anti-Phospho-Synapsin-1 (Ser9) Antibody (8A406) | Anti-Phospho-Synapsin-1 (Ser9) Antibody (8A406) cost | order Anti-Phospho-Synapsin-1 (Ser9) Antibody (8A406) | Anti-Phospho-Synapsin-1 (Ser9) Antibody (8A406) molecular weight