购物车
  • TargetMol
    您的购物车当前为空

Anti-Phospho-STAT4 (Tyr693) Polyclonal Antibody

Synonyms: STAT4 (p-Y693), STAT4 (p-Tyr693), SLEB11, signal transducer and activator of transcription 4, p-STAT4 (Y693), p-STAT4 (Tyr693)
货号 TMAB-01511 一键复制产品信息
Rating icon 还可以

Anti-Phospho-STAT4 (Tyr693) Polyclonal Antibody 是一种 Rabbit 抗体,靶向 Phospho-STAT4 (Tyr693)。Anti-Phospho-STAT4 (Tyr693) Polyclonal Antibody 可用于 IF,IHC-Fr,IHC-P。

Anti-Phospho-STAT4 (Tyr693) Polyclonal Antibody

一键复制产品信息
Rating icon 还可以
货号 TMAB-01511

别名 STAT4 (p-Y693), STAT4 (p-Tyr693), SLEB11, signal transducer and activator of transcription 4, p-STAT4 (Y693), p-STAT4 (Tyr693)

Anti-Phospho-STAT4 (Tyr693) Polyclonal Antibody 是一种 Rabbit 抗体,靶向 Phospho-STAT4 (Tyr693)。Anti-Phospho-STAT4 (Tyr693) Polyclonal Antibody 可用于 IF,IHC-Fr,IHC-P。

Anti-Phospho-STAT4 (Tyr693) Polyclonal Antibody
规格价格库存数量
50 μL
¥ 1,175
5日内发货
100 μL
¥ 1,960
5日内发货
200 μL
¥ 2,785
5日内发货
库存状态实时更新,以官网显示为准,现货产品可直接加购物车下单
大包装 & 定制
加入购物车

TargetMol的所有产品仅用作科学研究或药证申报,不能被用于人体,我们不向个人提供产品和服务。请您遵守承诺用途,不得违反法律法规规定用于任何其他用途。

实验操作小课堂
常见问题解答
查看更多

资源下载:产品操作手册

产品介绍


生物活性
产品描述
Anti-Phospho-STAT4 (Tyr693) Polyclonal Antibody is a Rabbit antibody targeting Phospho-STAT4 (Tyr693). Anti-Phospho-STAT4 (Tyr693) Polyclonal Antibody can be used in IF,IHC-Fr,IHC-P.
别名
STAT4 (p-Y693), STAT4 (p-Tyr693), SLEB11, signal transducer and activator of transcription 4, p-STAT4 (Y693), p-STAT4 (Tyr693)
Ig Type
IgG
反应种属
Mouse (predicted:Human,Rat,Chicken,Dog,Pig,Cow,Horse,Rabbit)
验证活性
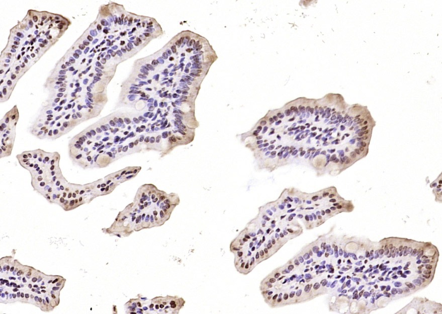
Paraformaldehyde-fixed, paraffin embedded (mouse intestine tissue); Antigen retrieval by boiling in sodium citrate buffer (pH6.0) for 15 min; Block endogenous peroxidase by 3% hydrogen peroxide for 20 min; Blocking buffer (normal goat serum) at 37°C for 30 min; Antibody incubation with (Phospho-Stat4 (Tyr693)) Polyclonal Antibody, Unconjugated (TMAB-01511) at 1:200 overnight at 4°C, followed by operating according to SP Kit (Rabbit) instructionsand DAB staining.
verifiedActivity
应用IFIHC-FrIHC-P
推荐剂量
IHC-P: 1:100-500; IHC-Fr: 1:100-500; IF: 1:100-500
抗体种类
Polyclonal
宿主来源Rabbit
亚细胞定位Cytoplasm. Nucleus. Note=Translocated into the nucleus in response to phosphorylation.
构建方式Polyclonal Antibody
纯化方式Protein A purified
性状Liquid
缓冲液0.01M TBS (pH7.4) with 1% BSA, 0.02% Proclin300 and 50% Glycerol.
浓度1 mg/mL
研究背景The protein encoded by this gene is a member of the STAT family of transcription factors. In response to cytokines and growth factors, STAT family members are phosphorylated by the receptor associated kinases, and then form homo- or heterodimers that translocate to the cell nucleus where they act as transcription activators. This protein is essential for mediating responses to IL12 in lymphocytes, and regulating the differentiation of T helper cells. Mutations in this gene may be associated with systemic lupus erythematosus and rheumatoid arthritis. Alternate splicing results in multiple transcript variants that encode the same protein. [provided by RefSeq, Aug 2011].
抗原信息
免疫原
KLH conjugated Synthesised phosphopeptide: human Stat4 around the phosphorylation site of Tyr693
抗原种属
Human
基因名称
STAT4
基因ID
蛋白名称
Signal transducer and activator of transcription 4
Uniprot ID
研究领域
STAT family,STATs,Other factors,Phosphoprotein ICE kits,STATs
功能
Carries out a dual function: signal transduction and activation of transcription. Involved in IL12 signaling.
化学信息
分子量Theoretical: 82 kDa.
储存&溶解度
储存方式Store at -20°C or -80°C for 12 months. Avoid repeated freeze-thaw cycles.
运输方式Shipping with blue ice.

计算器

  • 稀释 计算器
  • 配液 计算器
Related Tags: buy Anti-Phospho-STAT4 (Tyr693) Polyclonal Antibody | purchase Anti-Phospho-STAT4 (Tyr693) Polyclonal Antibody | Anti-Phospho-STAT4 (Tyr693) Polyclonal Antibody cost | order Anti-Phospho-STAT4 (Tyr693) Polyclonal Antibody | Anti-Phospho-STAT4 (Tyr693) Polyclonal Antibody molecular weight