购物车
  • TargetMol
    您的购物车当前为空

Anti-Phospho-STAT1 (Tyr701) Polyclonal Antibody 2

Synonyms: STAT1 (p-Y701), STAT1 (p-Tyr701), p-STAT1 (Y701), p-STAT1 (Tyr701)
货号 TMAC-03869 一键复制产品信息
Rating icon 还可以

Anti-Phospho-STAT1 (Tyr701) Polyclonal Antibody 是一种 Rabbit 抗体,靶向 Phospho-STAT1 (Tyr701)。Anti-Phospho-STAT1 (Tyr701) Polyclonal Antibody 可用于 IHC,WB。

Anti-Phospho-STAT1 (Tyr701) Polyclonal Antibody 2

一键复制产品信息
Rating icon 还可以
货号 TMAC-03869

别名 STAT1 (p-Y701), STAT1 (p-Tyr701), p-STAT1 (Y701), p-STAT1 (Tyr701)

Anti-Phospho-STAT1 (Tyr701) Polyclonal Antibody 是一种 Rabbit 抗体,靶向 Phospho-STAT1 (Tyr701)。Anti-Phospho-STAT1 (Tyr701) Polyclonal Antibody 可用于 IHC,WB。

Anti-Phospho-STAT1 (Tyr701) Polyclonal Antibody 2
规格价格库存数量
50 μL
¥ 1,490
5日内发货
100 μL
¥ 2,230
5日内发货
库存状态实时更新,以官网显示为准,现货产品可直接加购物车下单
大包装 & 定制
加入购物车

TargetMol的所有产品仅用作科学研究或药证申报,不能被用于人体,我们不向个人提供产品和服务。请您遵守承诺用途,不得违反法律法规规定用于任何其他用途。

实验操作小课堂
常见问题解答
查看更多

资源下载:产品操作手册

产品介绍


生物活性
产品描述
Anti-Phospho-STAT1 (Tyr701) Polyclonal Antibody is a Rabbit antibody targeting Phospho-STAT1 (Tyr701). Anti-Phospho-STAT1 (Tyr701) Polyclonal Antibody can be used in IHC,WB.
别名
STAT1 (p-Y701), STAT1 (p-Tyr701), p-STAT1 (Y701), p-STAT1 (Tyr701)
Ig Type
IgG
反应种属
Human,Mouse,Rat
验证活性
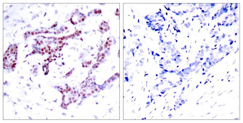
1. Immunohistochemical analysis of paraffin-embedded human breast carcinoma tissue using STAT1 (Phospho-Tyr701) Antibody TMAC-03869 (left) or the same antibody preincubated with blocking peptide (right).
2. Western blot analysis of extracts from MEF cells untreated or treated with interferon-ɤ (IFNɤ) using STAT1 (Phospho-Tyr701) Antibody TMAC-03869.
3. Western blot analysis of extracts from Hela cells, treated with IFNa or calf intestinal phosphatase (CIP), using STAT1 (Phospho-Tyr701) Antibody TMAC-03869.
verifiedActivityverifiedActivityverifiedActivity
应用IHCWB
抗体种类
Polyclonal
宿主来源Rabbit
构建方式Polyclonal Antibody
纯化方式Antibodies were produced by immunizing rabbits with synthetic phosphopeptide and KLH conjugates. Antibodies were purified by affinity-chromatography using epitope-specific phosphopeptide. Non-phospho specific antibodies were removed by chromatogramphy using non-phosphopeptide.
性状Liquid
缓冲液Supplied at 1.0mg/mL in phosphate buffered saline (without Mg2+ and Ca2+), pH 7.4, 150mM NaCl, 0.02% sodium azide and 50% glycerol.
研究背景Signal transducer and activator of transcription that mediates signaling by interferons (IFNs). Following type I IFN (IFN-a and IFN-beta) binding to cell surface receptors, Jak kinases (TYK2 and JAK1) are activated, leading to tyrosine phosphorylation of STAT1 and STAT2. The phosphorylated STATs dimerize, associate with ISGF3G/IRF-9 to form a complex termed ISGF3 transcription factor, that enters the nucleus. ISGF3 binds to the IFN stimulated response element (ISRE) to activate the transcription of interferon stimulated genes, which drive the cell in an antiviral state. In response to type II IFN (IFN-gamma), STAT1 is tyrosine- and serine-phosphorylated. It then forms a homodimer termed IFN-gamma-activated factor (GAF), migrates into the nucleus and binds to the IFN gamma activated sequence (GAS) to drive the expression of the target genes, inducing a cellular antiviral state.
偶联与修饰
偶联
Unconjugated
其他可选修饰符
Phospho
抗原信息
免疫原
Peptide sequence around phosphorylation site of tyrosine 701 (T-G-Y(p)-I-K) derived from Human STAT1
抗原种属
human
Uniprot ID
化学信息
分子量Actual: 84, 91 kDa.
储存&溶解度
储存方式Store at 2°C-8°C for 1 month. Store at -20°C or -80°C for 12 months. Avoid repeated freeze-thaw cycles.
运输方式Shipping with blue ice.

计算器

  • 稀释 计算器
  • 配液 计算器
Related Tags: buy Anti-Phospho-STAT1 (Tyr701) Polyclonal Antibody 2 | purchase Anti-Phospho-STAT1 (Tyr701) Polyclonal Antibody 2 | Anti-Phospho-STAT1 (Tyr701) Polyclonal Antibody 2 cost | order Anti-Phospho-STAT1 (Tyr701) Polyclonal Antibody 2 | Anti-Phospho-STAT1 (Tyr701) Polyclonal Antibody 2 molecular weight