购物车
  • TargetMol
    您的购物车当前为空

Anti-Phospho-RPS6KA5 (Ser376) Antibody (8P256)

Synonyms: S6K-alpha-5, S6K alpha 5, RSK-like protein kinase, RSKL, RSK Like Protein Kinase, RPS6KA5 (p-Ser376), RPS6KA5 (p-S376), RLPK, Ribosomal protein S6 kinase alpha-5, Ribosomal Protein S6 Kinase Alpha 5, Ribosomal protein S6 kinase 90kD polypeptide 5, p-RPS6KA5 (Ser376), p-RPS6KA5 (S376), Phospho-RPS6KA5 (S376), Nuclear Mitogen And Stress Activated Protein Kinase 1, MSPK1, Mitogen and stress activated protein kinase 1, MGC1911, KS6A5_HUMAN, EC 2.7.11.1, 90 kDa ribosomal protein S6 kinase 5
货号 TMAC-02657 一键复制产品信息
Rating icon 还可以

Anti-Phospho-RPS6KA5 (Ser376) Antibody (8P256) 是一种 Rabbit 抗体,靶向 Phospho-RPS6KA5 (Ser376)。Anti-Phospho-RPS6KA5 (Ser376) Antibody (8P256) 可用于 WB,ICC,IHC,IP。

Anti-Phospho-RPS6KA5 (Ser376) Antibody (8P256)

一键复制产品信息
Rating icon 还可以
货号 TMAC-02657

别名 S6K-alpha-5, S6K alpha 5, RSK-like protein kinase, RSKL, RSK Like Protein Kinase, RPS6KA5 (p-Ser376), RPS6KA5 (p-S376), RLPK, Ribosomal protein S6 kinase alpha-5, Ribosomal Protein S6 Kinase Alpha 5, Ribosomal protein S6 kinase 90kD polypeptide 5, p-RPS6KA5 (Ser376), p-RPS6KA5 (S376), Phospho-RPS6KA5 (S376), Nuclear Mitogen And Stress Activated Protein Kinase 1, MSPK1, Mitogen and stress activated protein kinase 1, MGC1911, KS6A5_HUMAN, EC 2.7.11.1, 90 kDa ribosomal protein S6 kinase 5

Anti-Phospho-RPS6KA5 (Ser376) Antibody (8P256) 是一种 Rabbit 抗体,靶向 Phospho-RPS6KA5 (Ser376)。Anti-Phospho-RPS6KA5 (Ser376) Antibody (8P256) 可用于 WB,ICC,IHC,IP。

Anti-Phospho-RPS6KA5 (Ser376) Antibody (8P256)
规格价格库存数量
50 μL
¥ 1,480
5日内发货
100 μL
¥ 2,495
5日内发货
库存状态实时更新,以官网显示为准,现货产品可直接加购物车下单
大包装 & 定制
加入购物车

TargetMol的所有产品仅用作科学研究或药证申报,不能被用于人体,我们不向个人提供产品和服务。请您遵守承诺用途,不得违反法律法规规定用于任何其他用途。

实验操作小课堂
常见问题解答
查看更多

资源下载:产品操作手册

产品介绍


生物活性
产品描述
Anti-Phospho-RPS6KA5 (Ser376) Antibody (8P256) is a Rabbit antibody targeting Phospho-RPS6KA5 (Ser376). Anti-Phospho-RPS6KA5 (Ser376) Antibody (8P256) can be used in ICC,IHC,IP,WB.
别名
S6K-alpha-5, S6K alpha 5, RSK-like protein kinase, RSKL, RSK Like Protein Kinase, RPS6KA5 (p-Ser376), RPS6KA5 (p-S376), RLPK, Ribosomal protein S6 kinase alpha-5, Ribosomal Protein S6 Kinase Alpha 5, Ribosomal protein S6 kinase 90kD polypeptide 5, p-RPS6KA5 (Ser376), p-RPS6KA5 (S376), Phospho-RPS6KA5 (S376), Nuclear Mitogen And Stress Activated Protein Kinase 1, MSPK1, Mitogen and stress activated protein kinase 1, MGC1911, KS6A5_HUMAN, EC 2.7.11.1, 90 kDa ribosomal protein S6 kinase 5
Ig Type
IgG
克隆号
8P256
反应种属
Human,Rat
验证活性
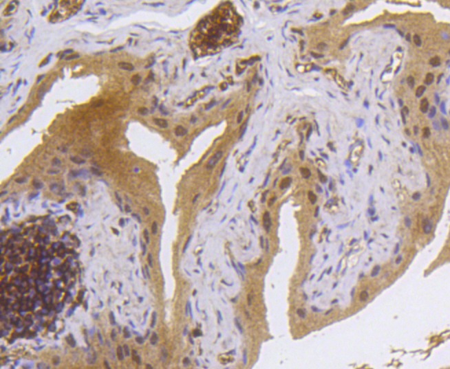
1. Immunohistochemical analysis of paraffin-embedded mouse bladder tissue using anti-MSK1 (phospho S376) antibody. Counter stained with hematoxylin.
2. ICC staining MSK1(phospho S376) in Hela cells (green). The nuclear counter stain is DAPI (blue). Cells were fixed in paraformaldehyde, permeabilised with 0.25% Triton X100/PBS.
3. ICC staining MSK1(phospho S376) in LO2 cells (green). The nuclear counter stain is DAPI (blue). Cells were fixed in paraformaldehyde, permeabilised with 0.25% Triton X100/PBS.
4. ICC staining MSK1(phospho S376) in PC-3M cells (green). The nuclear counter stain is DAPI (blue). Cells were fixed in paraformaldehyde, permeabilised with 0.25% Triton X100/PBS.
5. ICC staining MSK1(phospho S376) in 293 cells (green). The nuclear counter stain is DAPI (blue). Cells were fixed in paraformaldehyde, permeabilised with 0.25% Triton X100/PBS.
verifiedActivityverifiedActivityverifiedActivityverifiedActivityverifiedActivity
应用ICCIHCIPWB
推荐剂量
WB: 1:1000; IHC: 1:50-200; ICC: 1:50-200
抗体种类
Monoclonal
宿主来源Rabbit
构建方式Hybridoma Monoclonal Antibody
纯化方式ProA affinity purified
性状Liquid
缓冲液1*TBS (pH7.4), 1%BSA, 40%Glycerol. Preservative: 0.05% Sodium Azide.
研究背景The family of ribosomal S6 kinases (Rsks), designated Rsk-1, Rsk-2 and Rsk-3, have been implicated as important signaling intermediates in response to a broad range of ligand-activated receptor tyrosine kinases. A unique feature common to the three members of the Rsk family is that each possesses two non-identical complete kinase catalytic domains. A related S6 kinase, p70 S6 kinase, functions to phosphorylate the S6 protein on ribosomal 40S subunits. p70 S6 kinase b shares high sequence homology with p70 S6 kinase, except in the carboxy terminus where it contains a proline-rich domain that may be involved in SH3 domain containing protein interactions. MSK1 (also designated RLPK) is related to Rsk and p70 S6 kinase family members and is thought to be structurally similar to Rsk family members, but it may be regulated by distinct mechanisms.
偶联与修饰
偶联
Unconjugated
其他可选修饰符
Phospho
抗原信息
免疫原
A synthesized phosphopeptide: human MSK1 around the phosphorylation site of Ser376
抗原种属
human
Uniprot ID
化学信息
分子量Theoretical: 90/80 kDa.
储存&溶解度
储存方式Store at -20°C or -80°C for 12 months. Avoid repeated freeze-thaw cycles.
运输方式Shipping with blue ice.

计算器

  • 稀释 计算器
  • 配液 计算器
Related Tags: buy Anti-Phospho-RPS6KA5 (Ser376) Antibody (8P256) | purchase Anti-Phospho-RPS6KA5 (Ser376) Antibody (8P256) | Anti-Phospho-RPS6KA5 (Ser376) Antibody (8P256) cost | order Anti-Phospho-RPS6KA5 (Ser376) Antibody (8P256) | Anti-Phospho-RPS6KA5 (Ser376) Antibody (8P256) molecular weight