购物车
  • TargetMol
    您的购物车当前为空

Anti-Phospho-PRKCZ (Thr410) Polyclonal Antibody

Synonyms: zetaPKC, R74924, r14-3-3, Protein kinase C zeta, PRKCZ (p-Thr410), PRKCZ (p-T410), PRKCZ, p-PRKCZ (Thr410), p-PRKCZ (T410), PKM-zeta, PKCZETA, Pkcz, PKC2, PKC ZETA, PKC 2, Phospho-PRKCZ (T410), OTTHUMP00000044160, OTTHUMP00000001368, nPKC-zeta, nPKC zeta, KPCZ_HUMAN, EC 2.7.11.13, C80388, aPKCzeta, AI098070, 14-3-3-zetaisoform
货号 TMAC-03339 一键复制产品信息
Rating icon 还可以

Anti-Phospho-PRKCZ (Thr410) Polyclonal Antibody 是一种 Rabbit 抗体,靶向 Phospho-PRKCZ (Thr410)。Anti-Phospho-PRKCZ (Thr410) Polyclonal Antibody 可用于 IHC。

Anti-Phospho-PRKCZ (Thr410) Polyclonal Antibody

一键复制产品信息
Rating icon 还可以
货号 TMAC-03339

别名 zetaPKC, R74924, r14-3-3, Protein kinase C zeta, PRKCZ (p-Thr410), PRKCZ (p-T410), PRKCZ, p-PRKCZ (Thr410), p-PRKCZ (T410), PKM-zeta, PKCZETA, Pkcz, PKC2, PKC ZETA, PKC 2, Phospho-PRKCZ (T410), OTTHUMP00000044160, OTTHUMP00000001368, nPKC-zeta, nPKC zeta, KPCZ_HUMAN, EC 2.7.11.13, C80388, aPKCzeta, AI098070, 14-3-3-zetaisoform

Anti-Phospho-PRKCZ (Thr410) Polyclonal Antibody 是一种 Rabbit 抗体,靶向 Phospho-PRKCZ (Thr410)。Anti-Phospho-PRKCZ (Thr410) Polyclonal Antibody 可用于 IHC。

Anti-Phospho-PRKCZ (Thr410) Polyclonal Antibody
规格价格库存数量
50 μL
¥ 1,480
5日内发货
100 μL
¥ 2,240
5日内发货
库存状态实时更新,以官网显示为准,现货产品可直接加购物车下单
大包装 & 定制
加入购物车

TargetMol的所有产品仅用作科学研究或药证申报,不能被用于人体,我们不向个人提供产品和服务。请您遵守承诺用途,不得违反法律法规规定用于任何其他用途。

实验操作小课堂
常见问题解答
查看更多

资源下载:产品操作手册

产品介绍


生物活性
产品描述
Anti-Phospho-PRKCZ (Thr410) Polyclonal Antibody is a Rabbit antibody targeting Phospho-PRKCZ (Thr410). Anti-Phospho-PRKCZ (Thr410) Polyclonal Antibody can be used in IHC.
别名
zetaPKC, R74924, r14-3-3, Protein kinase C zeta, PRKCZ (p-Thr410), PRKCZ (p-T410), PRKCZ, p-PRKCZ (Thr410), p-PRKCZ (T410), PKM-zeta, PKCZETA, Pkcz, PKC2, PKC ZETA, PKC 2, Phospho-PRKCZ (T410), OTTHUMP00000044160, OTTHUMP00000001368, nPKC-zeta, nPKC zeta, KPCZ_HUMAN, EC 2.7.11.13, C80388, aPKCzeta, AI098070, 14-3-3-zetaisoform
Ig Type
IgG
反应种属
Human,Mouse,Rat
验证活性
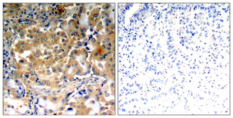
1. Immunohistochemical analysis of paraffin-embedded human lung carcinoma tissue using PKCζ (Phospho-Thr410) antibody (TMAC-03339).
verifiedActivity
应用IHC
抗体种类
Polyclonal
宿主来源Rabbit
构建方式Polyclonal Antibody
纯化方式Antibodies were produced by immunizing rabbits with synthetic phosphopeptide and KLH conjugates. Antibodies were purified by affinity-chromatography using epitope-specific phosphopeptide. Non-phospho specific antibodies were removed by chromatogramphy using non-phosphopeptide.
性状Liquid
缓冲液Supplied at 1.0mg/mL in phosphate buffered saline (without Mg2+ and Ca2+), pH 7.4, 150mM NaCl, 0.02% sodium azide and 50% glycerol.
研究背景Calcium- and diacylglycerol-independent serine/threonine-protein kinase that functions in phosphatidylinositol 3-kinase (PI3K) pathway and mitogen-activated protein (MAP) kinase cascade, and is involved in NF-kappa-B activation, mitogenic signaling, cell proliferation, cell polarity, inflammatory response and maintenance of long-term potentiation (LTP). Upon lipopolysaccharide (LPS) treatment in macrophages, or following mitogenic stimuli, functions downstream of PI3K to activate MAP2K1/MEK1-MAPK1/ERK2 signaling cascade independently of RAF1 activation. Required for insulin-dependent activation of AKT3, but may function as an adapter rather than a direct activator. Upon insulin treatment may act as a downstream effector of PI3K and contribute to the activation of translocation of the glucose transporter SLC2A4/GLUT4 and subsequent glucose transport in adipocytes. In EGF-induced cells, binds and activates MAP2K5/MEK5-MAPK7/ERK5 independently of its kinase activity and can activate JUN promoter through MEF2C. Through binding with SQSTM1/p62, functions in interleukin-1 signaling and activation of NF-kappa-B with the specific adapters RIPK1 and TRAF6. Participates in TNF-dependent transactivation of NF-kappa-B by phosphorylating and activating IKBKB kinase, which in turn leads to the degradation of NF-kappa-B inhibitors. In migrating astrocytes, forms a cytoplasmic complex with PARD6A and is recruited by CDC42 to function in the establishment of cell polarity along with the microtubule motor and dynein. In association with FEZ1, stimulates neuronal differentiation in PC12 cells. In inflammatory response, is required for the T-helper 2 (Th2) differentiation process, including interleukins production, efficient activation of JAK1 and the subsequent phosphorylation and nuclear translocation of STAT6. May be involved in development of allergic airway inflammation (asthma), a process dependent on Th2 immune response. In NF-kappa-B-mediated inflammatory response, can relieve the SETD6-dependent repression of NF-kappa-B target genes by phosphorylating the RELA subunit at 'Ser-311'. Is necessary and sufficient for LTP maintenance in hippocampal CA1 pyramidal cells.
偶联与修饰
偶联
Unconjugated
其他可选修饰符
Phospho
抗原信息
免疫原
Peptide sequence around phosphorylation site of threonine 410(T-S-T(p)-F-C) derived from Human PKCζ
抗原种属
human
Uniprot ID
化学信息
分子量Actual: 78 kDa.
储存&溶解度
储存方式Store at -20°C or -80°C for 12 months. Avoid repeated freeze-thaw cycles.
运输方式Shipping with blue ice.

计算器

  • 稀释 计算器
  • 配液 计算器
Related Tags: buy Anti-Phospho-PRKCZ (Thr410) Polyclonal Antibody | purchase Anti-Phospho-PRKCZ (Thr410) Polyclonal Antibody | Anti-Phospho-PRKCZ (Thr410) Polyclonal Antibody cost | order Anti-Phospho-PRKCZ (Thr410) Polyclonal Antibody | Anti-Phospho-PRKCZ (Thr410) Polyclonal Antibody molecular weight