购物车
  • TargetMol
    您的购物车当前为空

Anti-Phospho-PRKCA (Thr197) Polyclonal Antibody

Synonyms: Protein kinase C zeta, Protein kinase C gamma, Protein kinase C epsilon, Protein kinase C delta, Protein kinase C beta, Protein kinase C alpha, Protein kinase C, PRKCZ, PRKCG, PRKCE, PRKCD, PRKCB2, PRKCB1, PRKCB, PRKCA (p-Thr197), PRKCA (p-T197), PRKCA, p-PRKCA (Thr197), p-PRKCA (T197), PKCG, PKCE, PKCD, PKCB, PKC-alpha, PKC-A, PKCA, PKC2, PKC zeta, PKC gamma, PKC epsilon, PKC delta, PKC beta, PKC alpha, Phospho-PRKCA (T197), KPCA_HUMAN
货号 TMAC-03308 一键复制产品信息
Rating icon 还可以

Anti-Phospho-PRKCA (Thr197) Polyclonal Antibody 是一种 Rabbit 抗体,靶向 Phospho-PRKCA (Thr197)。Anti-Phospho-PRKCA (Thr197) Polyclonal Antibody 可用于 IF,IHC,WB。

Anti-Phospho-PRKCA (Thr197) Polyclonal Antibody

一键复制产品信息
Rating icon 还可以
货号 TMAC-03308

别名 Protein kinase C zeta, Protein kinase C gamma, Protein kinase C epsilon, Protein kinase C delta, Protein kinase C beta, Protein kinase C alpha, Protein kinase C, PRKCZ, PRKCG, PRKCE, PRKCD, PRKCB2, PRKCB1, PRKCB, PRKCA (p-Thr197), PRKCA (p-T197), PRKCA, p-PRKCA (Thr197), p-PRKCA (T197), PKCG, PKCE, PKCD, PKCB, PKC-alpha, PKC-A, PKCA, PKC2, PKC zeta, PKC gamma, PKC epsilon, PKC delta, PKC beta, PKC alpha, Phospho-PRKCA (T197), KPCA_HUMAN

Anti-Phospho-PRKCA (Thr197) Polyclonal Antibody 是一种 Rabbit 抗体,靶向 Phospho-PRKCA (Thr197)。Anti-Phospho-PRKCA (Thr197) Polyclonal Antibody 可用于 IF,IHC,WB。

Anti-Phospho-PRKCA (Thr197) Polyclonal Antibody
规格价格库存数量
50 μL
¥ 1,485
5日内发货
100 μL
¥ 2,245
5日内发货
库存状态实时更新,以官网显示为准,现货产品可直接加购物车下单
大包装 & 定制
加入购物车

TargetMol的所有产品仅用作科学研究或药证申报,不能被用于人体,我们不向个人提供产品和服务。请您遵守承诺用途,不得违反法律法规规定用于任何其他用途。

实验操作小课堂
常见问题解答
查看更多

资源下载:产品操作手册

产品介绍


生物活性
产品描述
Anti-Phospho-PRKCA (Thr197) Polyclonal Antibody is a Rabbit antibody targeting Phospho-PRKCA (Thr197). Anti-Phospho-PRKCA (Thr197) Polyclonal Antibody can be used in IF,IHC,WB.
别名
Protein kinase C zeta, Protein kinase C gamma, Protein kinase C epsilon, Protein kinase C delta, Protein kinase C beta, Protein kinase C alpha, Protein kinase C, PRKCZ, PRKCG, PRKCE, PRKCD, PRKCB2, PRKCB1, PRKCB, PRKCA (p-Thr197), PRKCA (p-T197), PRKCA, p-PRKCA (Thr197), p-PRKCA (T197), PKCG, PKCE, PKCD, PKCB, PKC-alpha, PKC-A, PKCA, PKC2, PKC zeta, PKC gamma, PKC epsilon, PKC delta, PKC beta, PKC alpha, Phospho-PRKCA (T197), KPCA_HUMAN
Ig Type
IgG
反应种属
Human,Mouse
验证活性
1. Western blot analysis of extracts from mouse brain cells using PKA α/β CAT (Phospho-Thr197) Antibody TMAC-03308.The lane on the right is treated with the antigen-specific peptide.
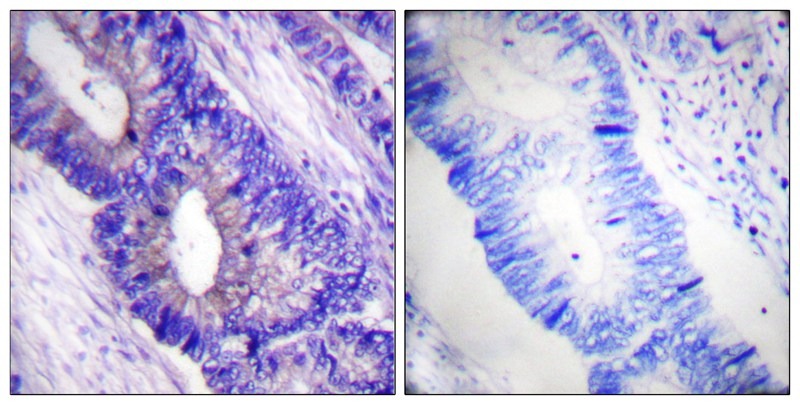
2. Immunohistochemical analysis of paraffin-embedded human colon carcinoma tissue using PKA α/β CAT (Phospho-Thr197) antibody TMAC-03308 (left) or the same antibody preincubated with blocking peptide (right).
3. Immunofluorescence staining of methanol-fixed A549 cells using PKA α/β CAT (Phospho-Thr197) Antibody TMAC-03308.
verifiedActivityverifiedActivityverifiedActivity
应用IFIHCWB
推荐剂量
WB: 1:500-1000; IHC: 1:50-100; IF: 1:100-200
抗体种类
Polyclonal
宿主来源Rabbit
构建方式Polyclonal Antibody
纯化方式Antibodies were produced by immunizing rabbits with synthetic phosphopeptide and KLH conjugates. Antibodies were purified by affinity-chromatography using epitope-specific phosphopeptide. Non-phospho specific antibodies were removed by chromatogramphy using non-phosphopeptide.
性状Liquid
缓冲液Rabbit IgG in phosphate buffered saline (without Mg2+ and Ca2+), pH 7.4, 150mM NaCl, 0.02% sodium azide and 50% glycerol.
研究背景Phosphorylates a large number of substrates in the cytoplasm and the nucleus. Regulates the abundance of compartmentalized pools of its regulatory subunits through phosphorylation of PJA2 which binds and ubiquitinates these subunits, leading to their subsequent proteolysis. Phosphorylates CDC25B, ABL1, NFKB1, CLDN3, PSMC5/RPT6, PJA2, RYR2, RORA and VASP. RORA is activated by phosphorylation. Required for glucose-mediated adipogenic differentiation increase and osteogenic differentiation inhibition from osteoblasts.
偶联与修饰
偶联
Unconjugated
其他可选修饰符
Phospho
抗原信息
免疫原
Peptide sequence around phosphorylation site of threonine 197(T-W-T(p)-L-C) derived from Human PKA α/β CAT
抗原种属
human
化学信息
分子量Actual: 40 kDa.
储存&溶解度
储存方式Store at -20°C or -80°C for 12 months. Avoid repeated freeze-thaw cycles.
运输方式Shipping with blue ice.

计算器

  • 稀释 计算器
  • 配液 计算器
Related Tags: buy Anti-Phospho-PRKCA (Thr197) Polyclonal Antibody | purchase Anti-Phospho-PRKCA (Thr197) Polyclonal Antibody | Anti-Phospho-PRKCA (Thr197) Polyclonal Antibody cost | order Anti-Phospho-PRKCA (Thr197) Polyclonal Antibody | Anti-Phospho-PRKCA (Thr197) Polyclonal Antibody molecular weight