购物车
  • TargetMol
    您的购物车当前为空

Anti-Phospho-p90RSK (Thr348) Polyclonal Antibody

Synonyms: RSK1, RSK, p-p90RSK (Thr348), p-p90RSK (T348), Phospho-p90RSK (T348), p90RSK (pThr348), p90RSK (pT348), p90Rsk, p90 Rsk, MAPKAPK1A, MAPKAPK1, HU-1
货号 TMAC-03043 一键复制产品信息
Rating icon 还可以

Anti-Phospho-p90RSK (Thr348) Polyclonal Antibody 是一种 Rabbit 抗体,靶向 Phospho-p90RSK (Thr348)。Anti-Phospho-p90RSK (Thr348) Polyclonal Antibody 可用于 IF,IHC,WB。

Anti-Phospho-p90RSK (Thr348) Polyclonal Antibody

一键复制产品信息
Rating icon 还可以
货号 TMAC-03043

别名 RSK1, RSK, p-p90RSK (Thr348), p-p90RSK (T348), Phospho-p90RSK (T348), p90RSK (pThr348), p90RSK (pT348), p90Rsk, p90 Rsk, MAPKAPK1A, MAPKAPK1, HU-1

Anti-Phospho-p90RSK (Thr348) Polyclonal Antibody 是一种 Rabbit 抗体,靶向 Phospho-p90RSK (Thr348)。Anti-Phospho-p90RSK (Thr348) Polyclonal Antibody 可用于 IF,IHC,WB。

Anti-Phospho-p90RSK (Thr348) Polyclonal Antibody
规格价格库存数量
50 μL
¥ 1,490
5日内发货
100 μL
¥ 2,230
5日内发货
库存状态实时更新,以官网显示为准,现货产品可直接加购物车下单
大包装 & 定制
加入购物车

TargetMol的所有产品仅用作科学研究或药证申报,不能被用于人体,我们不向个人提供产品和服务。请您遵守承诺用途,不得违反法律法规规定用于任何其他用途。

实验操作小课堂
常见问题解答
查看更多

资源下载:产品操作手册

产品介绍


生物活性
产品描述
Anti-Phospho-p90RSK (Thr348) Polyclonal Antibody is a Rabbit antibody targeting Phospho-p90RSK (Thr348). Anti-Phospho-p90RSK (Thr348) Polyclonal Antibody can be used in IF,IHC,WB.
别名
RSK1, RSK, p-p90RSK (Thr348), p-p90RSK (T348), Phospho-p90RSK (T348), p90RSK (pThr348), p90RSK (pT348), p90Rsk, p90 Rsk, MAPKAPK1A, MAPKAPK1, HU-1
Ig Type
IgG
反应种属
Human,Mouse,Rat
验证活性
1. Western blot analysis of extracts from Hela cells untreated or treated with UV using p90RSK (Phospho-Thr348) Antibody TMAC-03043.
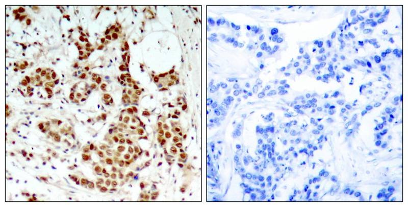
2. Immunohistochemical analysis of paraffin-embedded human breast carcinoma tissue using p90RSK (Phospho-Thr348) Antibody TMAC-03043 (left) or the same antibody preincubated with blocking peptide (right).
3. Immunofluorescence staining of methanol-fixed Hela cells using p90RSK (Phospho-Thr348) Antibody TMAC-03043.
verifiedActivityverifiedActivityverifiedActivity
应用IFIHCWB
抗体种类
Polyclonal
宿主来源Rabbit
构建方式Polyclonal Antibody
纯化方式Antibodies were produced by immunizing rabbits with synthetic phosphopeptide and KLH conjugates. Antibodies were purified by affinity-chromatography using epitope-specific phosphopeptide. Non-phospho specific antibodies were removed by chromatogramphy using non-phosphopeptide.
性状Liquid
缓冲液Supplied at 1.0mg/mL in phosphate buffered saline (without Mg2+ and Ca2+), pH 7.4, 150mM NaCl, 0.02% sodium azide and 50% glycerol.
研究背景Serine/threonine kinase that may play a role in mediating the growth-factor and stress induced activation of the transcription factor CREB.
偶联与修饰
偶联
Unconjugated
其他可选修饰符
Phospho
抗原信息
免疫原
Peptide sequence around phosphorylation site of threonine 348 (S-R-T(p)-P-R) derived from Mouse p90RSK
抗原种属
mouse
Uniprot ID
储存&溶解度
储存方式Store at 2°C-8°C for 1 month. Store at -20°C or -80°C for 12 months. Avoid repeated freeze-thaw cycles.
运输方式Shipping with blue ice.

计算器

  • 稀释 计算器
  • 配液 计算器
Related Tags: buy Anti-Phospho-p90RSK (Thr348) Polyclonal Antibody | purchase Anti-Phospho-p90RSK (Thr348) Polyclonal Antibody | Anti-Phospho-p90RSK (Thr348) Polyclonal Antibody cost | order Anti-Phospho-p90RSK (Thr348) Polyclonal Antibody