购物车
  • 全部删除
  • TargetMol
    您的购物车当前为空

Anti-Phospho-NFKB1 (Ser907) Polyclonal Antibody

一键复制产品信息
Rating icon 还可以
产品编号 TMAC-02828
别名 p-NFKB1 (Ser907), p-NFKB1 (S907), NFKB1 (p-Ser907), NFKB1 (p-S907)

Anti-Phospho-NFKB1 (Ser907) Polyclonal Antibody 是一种 Rabbit 抗体,靶向 Phospho-NFKB1 (Ser907)。Anti-Phospho-NFKB1 (Ser907) Polyclonal Antibody 可用于 IHC,WB。

Anti-Phospho-NFKB1 (Ser907) Polyclonal Antibody

Anti-Phospho-NFKB1 (Ser907) Polyclonal Antibody

一键复制产品信息
Rating icon 还可以
产品编号 TMAC-02828 别名 p-NFKB1 (Ser907), p-NFKB1 (S907), NFKB1 (p-Ser907), NFKB1 (p-S907)

Anti-Phospho-NFKB1 (Ser907) Polyclonal Antibody 是一种 Rabbit 抗体,靶向 Phospho-NFKB1 (Ser907)。Anti-Phospho-NFKB1 (Ser907) Polyclonal Antibody 可用于 IHC,WB。

规格价格库存数量
50 μL
¥ 1,495
5日内发货
100 μL
¥ 2,240
5日内发货
大包装 & 定制
加入购物车
TargetMol 的所有产品仅用作科学研究或药证申报,不能被用于人体,我们不向个人提供产品和服务。请您遵守承诺用途,不得违反法律法规规定用于任何其他用途。
实验操作小课堂
常见问题解答
查看更多
联系我们获取更多批次信息
资源下载

产品介绍

生物活性
产品描述
Anti-Phospho-NFKB1 (Ser907) Polyclonal Antibody is a Rabbit antibody targeting Phospho-NFKB1 (Ser907). Anti-Phospho-NFKB1 (Ser907) Polyclonal Antibody can be used in IHC,WB.
别名p-NFKB1 (Ser907), p-NFKB1 (S907), NFKB1 (p-Ser907), NFKB1 (p-S907)
Ig Type
IgG
交叉反应
Human,Mouse,Rat
验证活性
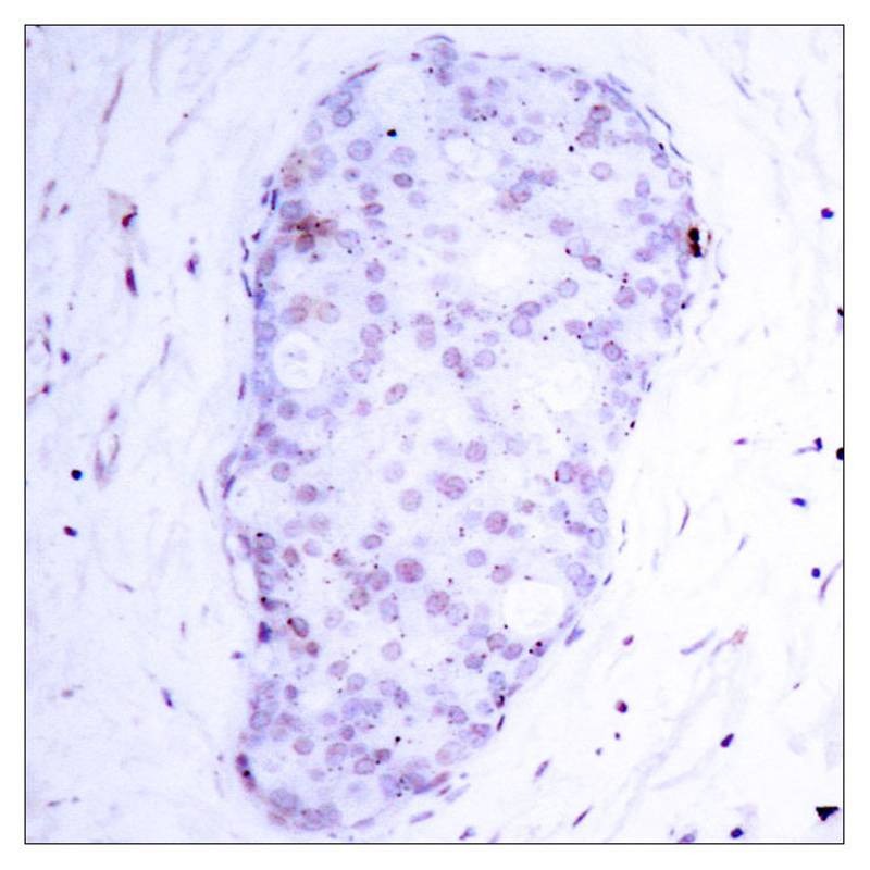
1. Immunohistochemical analysis of paraffin-embedded human breast carcinoma tissue using NF-κB p105(phospho-Ser907) antibody (TMAC-02828).
2. Western blot analysis of extract from HeLa cells untreated or treated with TNF-α using NF-κB p105(phospho-Ser907) antibody (TMAC-02828).
verifiedActivityverifiedActivity
应用IHCWB
抗体种类
Polyclonal
宿主来源Rabbit
构建方式Polyclonal Antibody
纯化方式Antibodies were produced by immunizing rabbits with synthetic phosphopeptide and KLH conjugates. Antibodies were purified by affinity-chromatography using epitope-specific phosphopeptide. Non-phospho specific antibodies were removed by chromatogramphy using non-phosphopeptide.
性状Liquid
缓冲液Supplied at 1.0mg/mL in phosphate buffered saline (without Mg2+ and Ca2+), pH 7.4, 150mM NaCl, 0.02% sodium azide and 50% glycerol.
研究背景NF-kappa-B is a pleiotropic transcription factor present in almost all cell types and is the endpoint of a series of signal transduction events that are initiated by a vast array of stimuli related to many biological processes such as inflammation, immunity, differentiation, cell growth, tumorigenesis and apoptosis. NF-kappa-B is a homo- or heterodimeric complex formed by the Rel-like domain-containing proteins RELA/p65, RELB, NFKB1/p105, NFKB1/p50, REL and NFKB2/p52 and the heterodimeric p65-p50 complex appears to be most abundant one. The dimers bind at kappa-B sites in the DNA of their target genes and the individual dimers have distinct preferences for different kappa-B sites that they can bind with distinguishable affinity and specificity. Different dimer combinations act as transcriptional activators or repressors, respectively. NF-kappa-B is controlled by various mechanisms of post-translational modification and subcellular compartmentalization as well as by interactions with other cofactors or corepressors. NF-kappa-B complexes are held in the cytoplasm in an inactive state complexed with members of the NF-kappa-B inhibitor (I-kappa-B) family. In a conventional activation pathway, I-kappa-B is phosphorylated by I-kappa-B kinases (IKKs) in response to different activators, subsequently degraded thus liberating the active NF-kappa-B complex which translocates to the nucleus. NF-kappa-B heterodimeric p65-p50 and RelB-p50 complexes are transcriptional activators. The NF-kappa-B p50-p50 homodimer is a transcriptional repressor, but can act as a transcriptional activator when associated with BCL3. NFKB1 appears to have dual functions such as cytoplasmic retention of attached NF-kappa-B proteins by p105 and generation of p50 by a cotranslational processing. The proteasome-mediated process ensures the production of both p50 and p105 and preserves their independent function, although processing of NFKB1/p105 also appears to occur post-translationally. p50 binds to the kappa-B consensus sequence 5'-GGRNNYYCC-3', located in the enhancer region of genes involved in immune response and acute phase reactions. In a complex with MAP3K8, NFKB1/p105 represses MAP3K8-induced MAPK signaling; active MAP3K8 is released by proteasome-dependent degradation of NFKB1/p105. Beg A.A., Baldwin A.S. Jr.Oncogene 9:1487-1492(1994) Guizani-Tabbane L., Ben-Aissa K., Belghith M., Sassi A., Dellagi K.Infect. Immun. 72:2582-2589(2004) Beinke S., Robinson M.J., Hugunin M., Ley S.C.Mol. Cell. Biol. 24:9658-9667(2004)
偶联与修饰
偶联
Unconjugated
其他可选修饰符
Phospho
抗原信息
免疫原
Peptide sequence around phosphorylation site of serine 907(P-L-S(p)-P-A) derived from Human NFκB-p105
抗原种属
human
Uniprot ID
存储&运输
储存方式Store at -20°C or -80°C for 12 months. Avoid repeated freeze-thaw cycles.
运输方式Shipping with blue ice.

计算器

  • 稀释 计算器

关键词

评论列表

4个月前
5.0
Rating icon 很棒

评论内容

Related Tags: buy Anti-Phospho-NFKB1 (Ser907) Polyclonal Antibody | purchase Anti-Phospho-NFKB1 (Ser907) Polyclonal Antibody | Anti-Phospho-NFKB1 (Ser907) Polyclonal Antibody cost | order Anti-Phospho-NFKB1 (Ser907) Polyclonal Antibody