购物车
  • 全部删除
  • TargetMol
    您的购物车当前为空

Anti-Phospho-NFkB p100 (Ser866) Polyclonal Antibody

一键复制产品信息
Rating icon 还可以
产品编号 TMAC-02825
别名 p-NFkB p100 (Ser866), p-NFkB p100 (S866), NFkB p100 (p-Ser866), NFkB p100 (p-S866)

Anti-Phospho-NFkB p100 (Ser866) Polyclonal Antibody 是一种 Rabbit 抗体,靶向 Phospho-NFkB p100 (Ser866)。Anti-Phospho-NFkB p100 (Ser866) Polyclonal Antibody 可用于 IF,IHC,WB。

Anti-Phospho-NFkB p100 (Ser866) Polyclonal Antibody

Anti-Phospho-NFkB p100 (Ser866) Polyclonal Antibody

一键复制产品信息
Rating icon 还可以
产品编号 TMAC-02825 别名 p-NFkB p100 (Ser866), p-NFkB p100 (S866), NFkB p100 (p-Ser866), NFkB p100 (p-S866)

Anti-Phospho-NFkB p100 (Ser866) Polyclonal Antibody 是一种 Rabbit 抗体,靶向 Phospho-NFkB p100 (Ser866)。Anti-Phospho-NFkB p100 (Ser866) Polyclonal Antibody 可用于 IF,IHC,WB。

规格价格库存数量
50 μL
¥ 1,485
5日内发货
100 μL
¥ 2,230
5日内发货
大包装 & 定制
加入购物车
TargetMol 的所有产品仅用作科学研究或药证申报,不能被用于人体,我们不向个人提供产品和服务。请您遵守承诺用途,不得违反法律法规规定用于任何其他用途。
实验操作小课堂
常见问题解答
查看更多
联系我们获取更多批次信息
资源下载

产品介绍

生物活性
产品描述
Anti-Phospho-NFkB p100 (Ser866) Polyclonal Antibody is a Rabbit antibody targeting Phospho-NFkB p100 (Ser866). Anti-Phospho-NFkB p100 (Ser866) Polyclonal Antibody can be used in IF,IHC,WB.
别名p-NFkB p100 (Ser866), p-NFkB p100 (S866), NFkB p100 (p-Ser866), NFkB p100 (p-S866)
Ig Type
IgG
交叉反应
Human,Mouse,Rat
验证活性
1. Immunofluorescence staining of methanol-fixed HeLa cells using NF-κB p100 (phospho-ser866) antibody (TMAC-02825, Red).
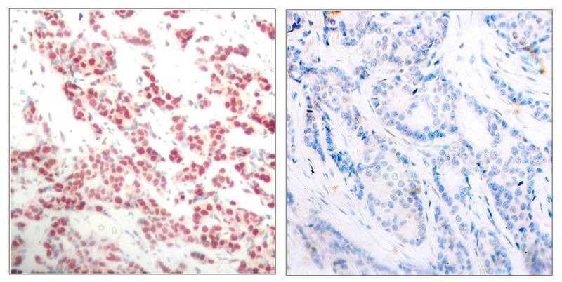
2. Immunohistochemical analysis of paraffin- embedded human breast carcinoma tissue using NF-κB p100 (phospho- ser866) antibody (TMAC-02825).
3. Western blot analysis of extracts from ovary cancer cells using NF-κB p100 (phospho-Ser866) antibody (TMAC-02825).
verifiedActivityverifiedActivityverifiedActivity
应用IFIHCWB
抗体种类
Polyclonal
宿主来源Rabbit
构建方式Polyclonal Antibody
纯化方式Antibodies were produced by immunizing rabbits with synthetic phosphopeptide and KLH conjugates. Antibodies were purified by affinity-chromatography using epitope-specific phosphopeptide. Non-phospho specific antibodies were removed by chromatogramphy using non-phosphopeptide.
性状Liquid
缓冲液Supplied at 1.0mg/mL in phosphate buffered saline (without Mg2+ and Ca2+), pH 7.4, 150mM NaCl, 0.02% sodium azide and 50% glycerol.
研究背景NF-kappa-B is a pleiotropic transcription factor present in almost all cell types and is the endpoint of a series of signal transduction events that are initiated by a vast array of stimuli related to many biological processes such as inflammation, immunity, differentiation, cell growth, tumorigenesis and apoptosis. NF-kappa-B is a homo- or heterodimeric complex formed by the Rel-like domain-containing proteins RELA/p65, RELB, NFKB1/p105, NFKB1/p50, REL and NFKB2/p52. The dimers bind at kappa-B sites in the DNA of their target genes and the individual dimers have distinct preferences for different kappa-B sites that they can bind with distinguishable affinity and specificity. Different dimer combinations act as transcriptional activators or repressors, respectively. NF-kappa-B is controlled by various mechanisms of post-translational modification and subcellular compartmentalization as well as by interactions with other cofactors or corepressors. NF-kappa-B complexes are held in the cytoplasm in an inactive state complexed with members of the NF-kappa-B inhibitor (I-kappa-B) family. In a conventional activation pathway, I-kappa-B is phosphorylated by I-kappa-B kinases (IKKs) in response to different activators, subsequently degraded thus liberating the active NF-kappa-B complex which translocates to the nucleus. In a non-canonical activation pathway, the MAP3K14-activated CHUK/IKKA homodimer phosphorylates NFKB2/p100 associated with RelB, inducing its proteolytic processing to NFKB2/p52 and the formation of NF-kappa-B RelB-p52 complexes. The NF-kappa-B heterodimeric RelB-p52 complex is a transcriptional activator. The NF-kappa-B p52-p52 homodimer is a transcriptional repressor. NFKB2 appears to have dual functions such as cytoplasmic retention of attached NF-kappa-B proteins by p100 and generation of p52 by a cotranslational processing. The proteasome-mediated process ensures the production of both p52 and p100 and preserves their independent function. p52 binds to the kappa-B consensus sequence 5'-GGRNNYYCC-3', located in the enhancer region of genes involved in immune response and acute phase reactions. p52 and p100 are respectively the minor and major form; the processing of p100 being relatively poor. Isoform p49 is a subunit of the NF-kappa-B protein complex, which stimulates the HIV enhancer in synergy with p65. Dobrzanski P., Ryseck R.P., Bravo R.EMBO J. 13:4608-4616(1994) Beg A.A., Baldwin A.S. Jr.Oncogene 9:1487-1492(1994)
偶联与修饰
偶联
Unconjugated
其他可选修饰符
Phospho
抗原信息
免疫原
Peptide sequence around phosphorylation site of serine 866(E-D-S(p)-A-Y) derived from Human NFκB-p100
抗原种属
human
Uniprot ID
存储&运输
储存方式Store at -20°C or -80°C for 12 months. Avoid repeated freeze-thaw cycles.
运输方式Shipping with blue ice.

计算器

  • 稀释 计算器

关键词

评论列表

4个月前
5.0
Rating icon 很棒

评论内容

Related Tags: buy Anti-Phospho-NFkB p100 (Ser866) Polyclonal Antibody | purchase Anti-Phospho-NFkB p100 (Ser866) Polyclonal Antibody | Anti-Phospho-NFkB p100 (Ser866) Polyclonal Antibody cost | order Anti-Phospho-NFkB p100 (Ser866) Polyclonal Antibody