购物车
  • 全部删除
  • TargetMol
    您的购物车当前为空

Anti-Phospho-MLKL (S345) Antibody (6R72)

一键复制产品信息
Rating icon 还可以
产品编号 TMAC-02610
别名 p-MLKL (S345), MLKL (p-S345)

Anti-Phospho-MLKL (S345) Antibody (6R72) 是一种 Rabbit 抗体,靶向 Phospho-MLKL (S345)。Anti-Phospho-MLKL (S345) Antibody (6R72) 可用于 IHC。

Anti-Phospho-MLKL (S345) Antibody (6R72)

Anti-Phospho-MLKL (S345) Antibody (6R72)

一键复制产品信息
Rating icon 还可以
产品编号 TMAC-02610 别名 p-MLKL (S345), MLKL (p-S345)

Anti-Phospho-MLKL (S345) Antibody (6R72) 是一种 Rabbit 抗体,靶向 Phospho-MLKL (S345)。Anti-Phospho-MLKL (S345) Antibody (6R72) 可用于 IHC。

规格价格库存数量
50 μL
¥ 1,490
5日内发货
100 μL
¥ 2,485
5日内发货
大包装 & 定制
加入购物车
TargetMol 的所有产品仅用作科学研究或药证申报,不能被用于人体,我们不向个人提供产品和服务。请您遵守承诺用途,不得违反法律法规规定用于任何其他用途。
实验操作小课堂
常见问题解答
查看更多
联系我们获取更多批次信息
资源下载

产品介绍

生物活性
产品描述
Anti-Phospho-MLKL (S345) Antibody (6R72) is a Rabbit antibody targeting Phospho-MLKL (S345). Anti-Phospho-MLKL (S345) Antibody (6R72) can be used in IHC.
别名p-MLKL (S345), MLKL (p-S345)
Ig Type
IgG
克隆号
6R72
交叉反应
Mouse
验证活性
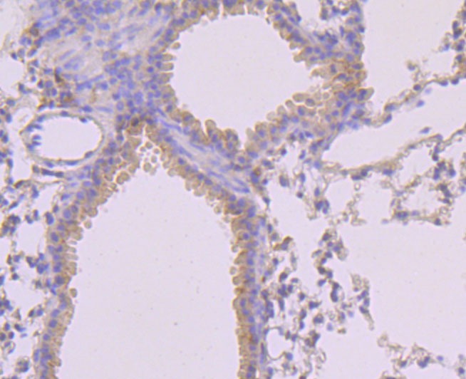
1. Immunohistochemical analysis of paraffin-embedded mouse lung tissue using anti-MLKL (phospho S345) antibody. Counter stained with hematoxylin.
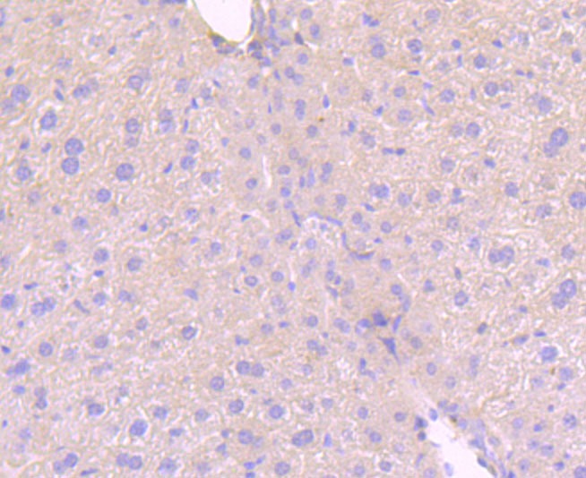
2. Immunohistochemical analysis of paraffin-embedded mouse liver tissue using anti-MLKL (phospho S345) antibody. Counter stained with hematoxylin.
3. Immunohistochemical analysis of paraffin-embedded mouse colon tissue using anti-MLKL (phospho S345) antibody. Counter stained with hematoxylin.
verifiedActivityverifiedActivityverifiedActivity
应用IHC
推荐剂量
IHC: 1:50-100
抗体种类
Monoclonal
宿主来源Rabbit
构建方式Recombinant Antibody
纯化方式ProA affinity purified
性状Liquid
缓冲液1*TBS (pH7.4), 1%BSA, 40%Glycerol. Preservative: 0.05% Sodium Azide.
研究背景Pseudokinase that plays a key role in TNF-induced necroptosis, a programmed cell death process. Activated following phosphorylation by RIPK3, leading to homotrimerization, localization to the plasma membrane and execution of programmed necrosis characterized by calcium influx and plasma membrane damage. Does not have protein kinase activity.
偶联与修饰
偶联
Unconjugated
其他可选修饰符
Phospho
抗原信息
免疫原
A synthesized phosphopeptide: human MLKL around the phosphorylation site of Ser345
抗原种属
human
Uniprot ID
化学信息
分子量Theoretical: 54 kDa.
存储&运输
储存方式Store at -20°C or -80°C for 12 months. Avoid repeated freeze-thaw cycles.
运输方式Shipping with blue ice.

计算器

  • 稀释 计算器

关键词

评论列表

4个月前
5.0
Rating icon 很棒

评论内容

Related Tags: buy Anti-Phospho-MLKL (S345) Antibody (6R72) | purchase Anti-Phospho-MLKL (S345) Antibody (6R72) | Anti-Phospho-MLKL (S345) Antibody (6R72) cost | order Anti-Phospho-MLKL (S345) Antibody (6R72) | Anti-Phospho-MLKL (S345) Antibody (6R72) molecular weight