购物车
  • TargetMol
    您的购物车当前为空

Anti-Phospho-MAPT (Thr231) Antibody (5E870)

Synonyms: p-MAPT (Thr231), p-MAPT (T231), MAPT (p-Thr231), MAPT (p-T231)
货号 TMAC-03280 一键复制产品信息
Rating icon 还可以

Anti-Phospho-MAPT (Thr231) Antibody (5E870) 是一种 Rabbit 抗体,靶向 Phospho-MAPT (Thr231)。Anti-Phospho-MAPT (Thr231) Antibody (5E870) 可用于 WB,IHC,IP。

Anti-Phospho-MAPT (Thr231) Antibody (5E870)

一键复制产品信息
Rating icon 还可以
货号 TMAC-03280

别名 p-MAPT (Thr231), p-MAPT (T231), MAPT (p-Thr231), MAPT (p-T231)

Anti-Phospho-MAPT (Thr231) Antibody (5E870) 是一种 Rabbit 抗体,靶向 Phospho-MAPT (Thr231)。Anti-Phospho-MAPT (Thr231) Antibody (5E870) 可用于 WB,IHC,IP。

Anti-Phospho-MAPT (Thr231) Antibody (5E870)
规格价格库存数量
50 μL
¥ 1,495
5日内发货
100 μL
¥ 2,495
5日内发货
库存状态实时更新,以官网显示为准,现货产品可直接加购物车下单
大包装 & 定制
加入购物车

TargetMol的所有产品仅用作科学研究或药证申报,不能被用于人体,我们不向个人提供产品和服务。请您遵守承诺用途,不得违反法律法规规定用于任何其他用途。

实验操作小课堂
常见问题解答
查看更多

资源下载:产品操作手册

产品介绍


生物活性
产品描述
Anti-Phospho-MAPT (Thr231) Antibody (5E870) is a Rabbit antibody targeting Phospho-MAPT (Thr231). Anti-Phospho-MAPT (Thr231) Antibody (5E870) can be used in IHC,IP,WB.
别名
p-MAPT (Thr231), p-MAPT (T231), MAPT (p-Thr231), MAPT (p-T231)
Ig Type
IgG
克隆号
5E870
反应种属
Human,Mouse,Rat
验证活性
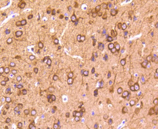
1. Immunohistochemical analysis of paraffin-embedded mouse brain tissue using anti-phospho-Tau (T231) antibody. Counter stained with hematoxylin.
verifiedActivity
应用IHCIPWB
推荐剂量
WB: 1:1000; IHC: 1:50-200
抗体种类
Monoclonal
宿主来源Rabbit
构建方式Hybridoma Monoclonal Antibody
纯化方式ProA affinity purified
性状Liquid
缓冲液1*TBS (pH7.4), 1%BSA, 40%Glycerol. Preservative: 0.05% Sodium Azide.
研究背景Tau, also known as MAPT (microtubule-associated protein tau), MAPTL, MTBT1 or TAU, is a 758 amino acid protein that localizes to the cytoplasm, as well as to the cytoskeleton and the cell membrane, and contains four Tau/MAP repeats. Expressed in neuronal tissue and existing as multiple alternatively spliced isoforms, Tau functions to promote microtubule assembly and stability and is thought to be involved in the maintenance of neuronal polarity. Tau may also link microtubules with neural plasma membrane components and, addition to its role in microtubule stability, is also necessary for cytoskeletal plasticity. Tau is highly subject to a variety of post-translational modifications, including phosphorylation on serine and threonine residues, polyubiquitination (and subsequent proteasomal degradation) and glycation of specific Tau isoforms. Defects in the gene encoding Tau are associated with Alzheimers disease, pallido-ponto-nigral degeneration (PPND), corticobasal degeneration (CBD) and progressive supranuclear palsy (PSP).
偶联与修饰
偶联
Unconjugated
其他可选修饰符
Phospho
抗原信息
免疫原
A synthesized phosphopeptide: human Tau around the phosphorylation site of Thr231
抗原种属
human
Uniprot ID
化学信息
分子量Theoretical: 46 kDa.
储存&溶解度
储存方式Store at -20°C or -80°C for 12 months. Avoid repeated freeze-thaw cycles.
运输方式Shipping with blue ice.

计算器

  • 稀释 计算器
  • 配液 计算器
Related Tags: buy Anti-Phospho-MAPT (Thr231) Antibody (5E870) | purchase Anti-Phospho-MAPT (Thr231) Antibody (5E870) | Anti-Phospho-MAPT (Thr231) Antibody (5E870) cost | order Anti-Phospho-MAPT (Thr231) Antibody (5E870) | Anti-Phospho-MAPT (Thr231) Antibody (5E870) molecular weight