购物车
  • TargetMol
    您的购物车当前为空

Anti-Phospho-MAPK3/1 (Thr202/Tyr204) Polyclonal Antibody

Synonyms: p-MAPK3 (Thr202) + MAPK1 (Tyr204), p-MAPK3 (T202) + MAPK1 (Y204), Phospho-MAPK3 (T202) + MAPK1 (Y204), MAPK3 (p-Thr202) + MAPK1 (p-Tyr204), MAPK3 (p-T202) + MAPK1 (p-Y204)
货号 TMAC-01368 一键复制产品信息
Rating icon 还可以

Anti-Phospho-MAPK3/1 (Thr202/Tyr204) Polyclonal Antibody 是一种 Rabbit 抗体,靶向 Phospho-MAPK3/1 (Thr202/Tyr204)。Anti-Phospho-MAPK3/1 (Thr202/Tyr204) Polyclonal Antibody 可用于 IF,IHC,WB。

Anti-Phospho-MAPK3/1 (Thr202/Tyr204) Polyclonal Antibody

一键复制产品信息
Rating icon 还可以
货号 TMAC-01368

别名 p-MAPK3 (Thr202) + MAPK1 (Tyr204), p-MAPK3 (T202) + MAPK1 (Y204), Phospho-MAPK3 (T202) + MAPK1 (Y204), MAPK3 (p-Thr202) + MAPK1 (p-Tyr204), MAPK3 (p-T202) + MAPK1 (p-Y204)

Anti-Phospho-MAPK3/1 (Thr202/Tyr204) Polyclonal Antibody 是一种 Rabbit 抗体,靶向 Phospho-MAPK3/1 (Thr202/Tyr204)。Anti-Phospho-MAPK3/1 (Thr202/Tyr204) Polyclonal Antibody 可用于 IF,IHC,WB。

Anti-Phospho-MAPK3/1 (Thr202/Tyr204) Polyclonal Antibody
规格价格库存数量
50 μL
¥ 1,485
5日内发货
100 μL
¥ 2,235
5日内发货
库存状态实时更新,以官网显示为准,现货产品可直接加购物车下单
大包装 & 定制
加入购物车

TargetMol的所有产品仅用作科学研究或药证申报,不能被用于人体,我们不向个人提供产品和服务。请您遵守承诺用途,不得违反法律法规规定用于任何其他用途。

实验操作小课堂
常见问题解答
查看更多

资源下载:产品操作手册

产品介绍


生物活性
产品描述
Anti-Phospho-MAPK3/1 (Thr202/Tyr204) Polyclonal Antibody is a Rabbit antibody targeting Phospho-MAPK3/1 (Thr202/Tyr204). Anti-Phospho-MAPK3/1 (Thr202/Tyr204) Polyclonal Antibody can be used in IF,IHC,WB.
别名
p-MAPK3 (Thr202) + MAPK1 (Tyr204), p-MAPK3 (T202) + MAPK1 (Y204), Phospho-MAPK3 (T202) + MAPK1 (Y204), MAPK3 (p-Thr202) + MAPK1 (p-Tyr204), MAPK3 (p-T202) + MAPK1 (p-Y204)
Ig Type
IgG
反应种属
Human,Mouse,Rat
验证活性
1. Western blot analysis of extracts from 3T3 cells treated with IFNa using ERK1/2 (Phospho-Thr202/Tyr204) Antibody TMAC-01368.The lane on the left is treated with the antigen-specific peptide.
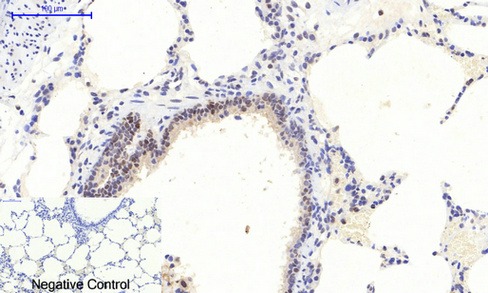
2. Immunohistochemical analysis of paraffin-embedded Rat-lung tissue. 1,ERK 1/2 (phospho Thr202/Y204) Polyclonal Antibody was diluted at 1:200 (4°C, overnight). 2, Sodium citrate pH 6.0 was used for antibody retrieval (>98°C, 20min). 3,Secondary antibody was diluted at 1:200 (room tempeRature, 30min). Negative control was used by secondary antibody only.
3. Immunofluorescence analysis of mouse-spleen tissue. 1,ERK 1/2 (phospho Thr202/Y204) Polyclonal Antibody (red) was diluted at 1:200 (4°C, overnight). 2, Cy3 labled Secondary antibody was diluted at 1:300 (room temperature, 50min).3, Picture B: DAPI (blue) 10min. Picture A: Target. Picture B: DAPI. Picture C: merge of A+B.
verifiedActivityverifiedActivityverifiedActivity
应用IFIHCWB
抗体种类
Polyclonal
宿主来源Rabbit
构建方式Polyclonal Antibody
纯化方式Antibodies were produced by immunizing rabbits with synthetic phosphopeptide and KLH conjugates. Antibodies were purified by affinity-chromatography using epitope-specific phosphopeptide. Non-phospho specific antibodies were removed by chromatogramphy using non-phosphopeptide.
性状Liquid
缓冲液Supplied at 1.0mg/mL in phosphate buffered saline (without Mg2+ and Ca2+), pH 7.4, 150mM NaCl, 0.02% sodium azide and 50% glycerol.
研究背景Serine/threonine kinase which acts as an essential component of the MAP kinase signal transduction pathway. MAPK1/ERK2 and MAPK3/ERK1 are the 2 MAPKs which play an important role in the MAPK/ERK cascade. They participate also in a signaling cascade initiated by activated KIT and KITLG/SCF. Depending on the cellular context, the MAPK/ERK cascade mediates diverse biological functions such as cell growth, adhesion, survival and differentiation through the regulation of transcription, translation, cytoskeletal rearrangements. The MAPK/ERK cascade plays also a role in initiation and regulation of meiosis, mitosis, and postmitotic functions in differentiated cells by phosphorylating a number of transcription factors. About 160 substrates have already been discovered for ERKs. Many of these substrates are localized in the nucleus, and seem to participate in the regulation of transcription upon stimulation. However, other substrates are found in the cytosol as well as in other cellular organelles, and those are responsible for processes such as translation, mitosis and apoptosis. Moreover, the MAPK/ERK cascade is also involved in the regulation of the endosomal dynamics, including lysosome processing and endosome cycling through the perinuclear recycling compartment (PNRC); as well as in the fragmentation of the Golgi apparatus during mitosis. The substrates include transcription factors (such as ATF2, BCL6, ELK1, ERF, FOS, HSF4 or SPZ1), cytoskeletal elements (such as CANX, CTTN, GJA1, MAP2, MAPT, PXN, SORBS3 or STMN1), regulators of apoptosis (such as BAD, BTG2, CASP9, DAPK1, IER3, MCL1 or PPARG), regulators of translation (such as EIF4EBP1) and a variety of other signaling-related molecules (like ARHGEF2, FRS2 or GRB10). Protein kinases (such as RAF1, RPS6KA1/RSK1, RPS6KA3/RSK2, RPS6KA2/RSK3, RPS6KA6/RSK4, SYK, MKNK1/MNK1, MKNK2/MNK2, RPS6KA5/MSK1, RPS6KA4/MSK2, MAPKAPK3 or MAPKAPK5) and phosphatases (such as DUSP1, DUSP4, DUSP6 or DUSP16) are other substrates which enable the propagation the MAPK/ERK signal to additional cytosolic and nuclear targets, thereby extending the specificity of the cascade.
偶联与修饰
偶联
Unconjugated
其他可选修饰符
Phospho
抗原信息
免疫原
Peptide sequence around phosphorylation site of Threonine 202/Tyrosine 204(F-L-T(p)-E-Y(p)-V-A)Sderived from Human ERK1/2
抗原种属
human
Uniprot ID
化学信息
分子量Actual: 42, 44 kDa.
储存&溶解度
储存方式Store at -20°C or -80°C for 12 months. Avoid repeated freeze-thaw cycles.
运输方式Shipping with blue ice.

计算器

  • 稀释 计算器
  • 配液 计算器
Related Tags: buy Anti-Phospho-MAPK3/1 (Thr202/Tyr204) Polyclonal Antibody | purchase Anti-Phospho-MAPK3/1 (Thr202/Tyr204) Polyclonal Antibody | Anti-Phospho-MAPK3/1 (Thr202/Tyr204) Polyclonal Antibody cost | order Anti-Phospho-MAPK3/1 (Thr202/Tyr204) Polyclonal Antibody | Anti-Phospho-MAPK3/1 (Thr202/Tyr204) Polyclonal Antibody molecular weight