购物车
  • TargetMol
    您的购物车当前为空

Anti-Phospho-MAPK14 (Tyr182) Polyclonal Antibody

Synonyms: p-MAPK14 (Y182), p-MAPK14 (Tyr182), MAPK14 (p-Y182), MAPK14 (p-Tyr182)
货号 TMAC-02959 一键复制产品信息
Rating icon 还可以

Anti-Phospho-MAPK14 (Tyr182) Polyclonal Antibody 是一种 Rabbit 抗体,靶向 Phospho-MAPK14 (Tyr182)。Anti-Phospho-MAPK14 (Tyr182) Polyclonal Antibody 可用于 IHC,WB。

Anti-Phospho-MAPK14 (Tyr182) Polyclonal Antibody

一键复制产品信息
Rating icon 还可以
货号 TMAC-02959

别名 p-MAPK14 (Y182), p-MAPK14 (Tyr182), MAPK14 (p-Y182), MAPK14 (p-Tyr182)

Anti-Phospho-MAPK14 (Tyr182) Polyclonal Antibody 是一种 Rabbit 抗体,靶向 Phospho-MAPK14 (Tyr182)。Anti-Phospho-MAPK14 (Tyr182) Polyclonal Antibody 可用于 IHC,WB。

Anti-Phospho-MAPK14 (Tyr182) Polyclonal Antibody
规格价格库存数量
50 μL
¥ 1,485
5日内发货
100 μL
¥ 2,245
5日内发货
库存状态实时更新,以官网显示为准,现货产品可直接加购物车下单
大包装 & 定制
加入购物车

TargetMol的所有产品仅用作科学研究或药证申报,不能被用于人体,我们不向个人提供产品和服务。请您遵守承诺用途,不得违反法律法规规定用于任何其他用途。

实验操作小课堂
常见问题解答
查看更多

资源下载:产品操作手册

产品介绍


生物活性
产品描述
Anti-Phospho-MAPK14 (Tyr182) Polyclonal Antibody is a Rabbit antibody targeting Phospho-MAPK14 (Tyr182). Anti-Phospho-MAPK14 (Tyr182) Polyclonal Antibody can be used in IHC,WB.
别名
p-MAPK14 (Y182), p-MAPK14 (Tyr182), MAPK14 (p-Y182), MAPK14 (p-Tyr182)
Ig Type
IgG
反应种属
Human,Mouse,Rat
验证活性
1. Western blot analysis of extracts from Hela cells untreated or treated with UV for the indicated times, using P38 MAPK (Phospho-Tyr182) Antibody TMAC-02959.
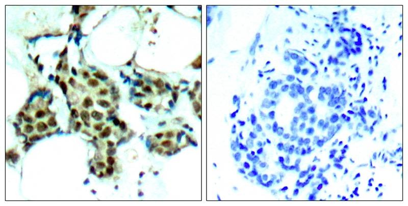
2. Immunohistochemical analysis of paraffin-embedded human breast carcinoma tissue using P38 MAPK (Phospho-Tyr182) Antibody TMAC-02959 (left) or the same antibody preincubated with blocking peptide (right).
3. Western blot analysis of extracts from Hela cells, treated with TNFa or calf intestinal phosphatase (CIP), using P38 MAPK (Phospho-Tyr182) Antibody TMAC-02959.
verifiedActivityverifiedActivityverifiedActivity
应用IHCWB
抗体种类
Polyclonal
宿主来源Rabbit
构建方式Polyclonal Antibody
纯化方式Antibodies were produced by immunizing rabbits with synthetic phosphopeptide and KLH conjugates. Antibodies were purified by affinity-chromatography using epitope-specific phosphopeptide. Non-phospho specific antibodies were removed by chromatogramphy using non-phosphopeptide.
性状Liquid
缓冲液Supplied at 1.0mg/mL in phosphate buffered saline (without Mg2+ and Ca2+), pH 7.4, 150mM NaCl, 0.02% sodium azide and 50% glycerol.
研究背景Responds to activation by environmental stress, pro-inflammatory cytokines and lipopolysaccharide (LPS) by phosphorylating a number of transcription factors, such as ELK1 and ATF2 and several downstream kinases, such as MAPKAPK2 and MAPKAPK5. Plays a critical role in the production of some cytokines, for example IL-6. May play a role in stabilization of EPO mRNA during hypoxic stress. Isoform Mxi2 activation is stimulated by mitogens and oxidative stress and only poorly phosphorylates ELK1 and ATF2. Isoform Exip may play a role in the early onset of apoptosis.
偶联与修饰
偶联
Unconjugated
其他可选修饰符
Phospho
抗原信息
免疫原
Peptide sequence around phosphorylation site of tyrosine 182 (T-G-Y(p)-V-A) derived from Human P38 MAPK
抗原种属
human
Uniprot ID
储存&溶解度
储存方式Store at 2°C-8°C for 1 month. Store at -20°C or -80°C for 12 months. Avoid repeated freeze-thaw cycles.
运输方式Shipping with blue ice.

计算器

  • 稀释 计算器
  • 配液 计算器
Related Tags: buy Anti-Phospho-MAPK14 (Tyr182) Polyclonal Antibody | purchase Anti-Phospho-MAPK14 (Tyr182) Polyclonal Antibody | Anti-Phospho-MAPK14 (Tyr182) Polyclonal Antibody cost | order Anti-Phospho-MAPK14 (Tyr182) Polyclonal Antibody