购物车
  • TargetMol
    您的购物车当前为空

Anti-Phospho-LIMK1 (Thr508) Polyclonal Antibody

Synonyms: p-LIMK1 (Thr508), p-LIMK1 (T508), LIMK1 (p-Thr508), LIMK1 (p-T508)
货号 TMAC-02399 一键复制产品信息
Rating icon 还可以

Anti-Phospho-LIMK1 (Thr508) Polyclonal Antibody 是一种 Rabbit 抗体,靶向 Phospho-LIMK1 (Thr508)。Anti-Phospho-LIMK1 (Thr508) Polyclonal Antibody 可用于 IF,IHC,WB。

Anti-Phospho-LIMK1 (Thr508) Polyclonal Antibody

一键复制产品信息
Rating icon 还可以
货号 TMAC-02399

别名 p-LIMK1 (Thr508), p-LIMK1 (T508), LIMK1 (p-Thr508), LIMK1 (p-T508)

Anti-Phospho-LIMK1 (Thr508) Polyclonal Antibody 是一种 Rabbit 抗体,靶向 Phospho-LIMK1 (Thr508)。Anti-Phospho-LIMK1 (Thr508) Polyclonal Antibody 可用于 IF,IHC,WB。

Anti-Phospho-LIMK1 (Thr508) Polyclonal Antibody
规格价格库存数量
50 μL
¥ 1,480
5日内发货
100 μL
¥ 2,240
5日内发货
库存状态实时更新,以官网显示为准,现货产品可直接加购物车下单
大包装 & 定制
加入购物车

TargetMol的所有产品仅用作科学研究或药证申报,不能被用于人体,我们不向个人提供产品和服务。请您遵守承诺用途,不得违反法律法规规定用于任何其他用途。

实验操作小课堂
常见问题解答
查看更多

资源下载:产品操作手册

产品介绍


生物活性
产品描述
Anti-Phospho-LIMK1 (Thr508) Polyclonal Antibody is a Rabbit antibody targeting Phospho-LIMK1 (Thr508). Anti-Phospho-LIMK1 (Thr508) Polyclonal Antibody can be used in IF,IHC,WB.
别名
p-LIMK1 (Thr508), p-LIMK1 (T508), LIMK1 (p-Thr508), LIMK1 (p-T508)
Ig Type
IgG
反应种属
Human,Mouse,Rat
验证活性
1. Western blot analysis of extracts from UV-treated C2C12, PMA-treated Hela and anisomycin-treated 293 cells using LIMK1 (Phospho-Thr508) Antibody TMAC-02399.
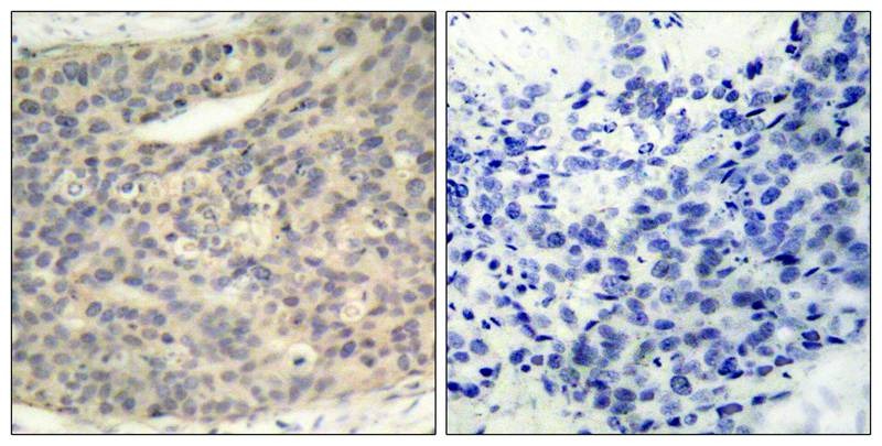
2. Immunohistochemical analysis of paraffin-embedded human breast carcinoma tissue using LIMK1 (Phospho-Thr508) Antibody TMAC-02399 (left) or the same antibody preincubated with blocking peptide (right).
3. Immunofluorescence staining of methanol-fixed Hela cells using LIMK1 (Phospho-Thr508) Antibody TMAC-02399.
4. Lane 1: Helatreated with PMA; Lane 2: Mouse brain tissue; Lane 3: Rat brain tissue; Lane 4: N-peptide blocked Helatreated with PMA; Lane 5: N-peptide blocked Mouse brain tissue; Lane 6: N-peptide blocked Rat brain tissue;Lane 7 : P-peptide blocked Helatreated with PMA; Lane 8: P-peptide blocked Mouse brain tissue; Lane 9: P-peptide blocked Rat brain tissue; Lysates/proteins at 40 μg per lane. Predicted band size: 72 kDa, Observed band size: 72 kDa.
verifiedActivityverifiedActivityverifiedActivityverifiedActivity
应用IFIHCWB
抗体种类
Polyclonal
宿主来源Rabbit
构建方式Polyclonal Antibody
纯化方式Antibodies were produced by immunizing rabbits with synthetic phosphopeptide and KLH conjugates. Antibodies were purified by affinity-chromatography using epitope-specific phosphopeptide. Non-phospho specific antibodies were removed by chromatogramphy using non-phosphopeptide.
性状Liquid
缓冲液Supplied at 1.0mg/mL in phosphate buffered saline (without Mg2+ and Ca2+), pH 7.4, 150mM NaCl, 0.02% sodium azide and 50% glycerol.
研究背景Protein kinase which regulates actin filament dynamics. Phosphorylates and inactivates the actin binding/depolymerizing factor cofilin, thereby stabilizing the actin cytoskeleton. Isoform 3 has a dominant negative effect on actin cytoskeletal changes. May be involved in brain development.
偶联与修饰
偶联
Unconjugated
其他可选修饰符
Phospho
抗原信息
免疫原
Peptide sequence around phosphorylation site of threonine 508 (R-Y-T(p)-V-V) derived from Human LIMK1
抗原种属
human
Uniprot ID
储存&溶解度
储存方式Store at 2°C-8°C for 1 month. Store at -20°C or -80°C for 12 months. Avoid repeated freeze-thaw cycles.
运输方式Shipping with blue ice.

计算器

  • 稀释 计算器
  • 配液 计算器
Related Tags: buy Anti-Phospho-LIMK1 (Thr508) Polyclonal Antibody | purchase Anti-Phospho-LIMK1 (Thr508) Polyclonal Antibody | Anti-Phospho-LIMK1 (Thr508) Polyclonal Antibody cost | order Anti-Phospho-LIMK1 (Thr508) Polyclonal Antibody