购物车
  • 全部删除
  • TargetMol
    您的购物车当前为空

Anti-Phospho-JUN (Thr91) Antibody (2Q8)

一键复制产品信息
Rating icon 还可以
产品编号 TMAC-03200
别名 p-JUN (Thr91), p-JUN (T91), JUN (p-Thr91), JUN (p-T91)

Anti-Phospho-JUN (Thr91) Antibody (2Q8) 是一种 Rabbit 抗体,靶向 Phospho-JUN (Thr91)。Anti-Phospho-JUN (Thr91) Antibody (2Q8) 可用于 WB,ICC/IF,IHC,IP。

Anti-Phospho-JUN (Thr91) Antibody (2Q8)

Anti-Phospho-JUN (Thr91) Antibody (2Q8)

一键复制产品信息
Rating icon 还可以
产品编号 TMAC-03200 别名 p-JUN (Thr91), p-JUN (T91), JUN (p-Thr91), JUN (p-T91)

Anti-Phospho-JUN (Thr91) Antibody (2Q8) 是一种 Rabbit 抗体,靶向 Phospho-JUN (Thr91)。Anti-Phospho-JUN (Thr91) Antibody (2Q8) 可用于 WB,ICC/IF,IHC,IP。

规格价格库存数量
50 μL
¥ 1,485
5日内发货
100 μL
¥ 2,490
5日内发货
大包装 & 定制
加入购物车
TargetMol 的所有产品仅用作科学研究或药证申报,不能被用于人体,我们不向个人提供产品和服务。请您遵守承诺用途,不得违反法律法规规定用于任何其他用途。
实验操作小课堂
常见问题解答
查看更多
联系我们获取更多批次信息
资源下载

产品介绍

生物活性
产品描述
Anti-Phospho-JUN (Thr91) Antibody (2Q8) is a Rabbit antibody targeting Phospho-JUN (Thr91). Anti-Phospho-JUN (Thr91) Antibody (2Q8) can be used in ICC/IF,IHC,IP,WB.
别名p-JUN (Thr91), p-JUN (T91), JUN (p-Thr91), JUN (p-T91)
Ig Type
IgG
克隆号
2Q8
交叉反应
Human,Mouse,Rat
验证活性
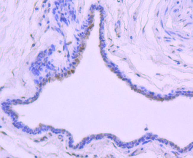
1. Immunohistochemical analysis of paraffin-embedded human breast carcinoma tissue using anti-Phospho-c-Jun (T91) antibody. Counter stained with hematoxylin.
2. ICC staining Phospho-c-Jun (T91) in HepG2 cells (green). The nuclear counter stain is DAPI (blue). Cells were fixed in paraformaldehyde, permeabilised with 0.25% Triton X100/PBS.
3. ICC staining Phospho-c-Jun (T91) in MCF-7 cells (green). The nuclear counter stain is DAPI (blue). Cells were fixed in paraformaldehyde, permeabilised with 0.25% Triton X100/PBS.
verifiedActivityverifiedActivityverifiedActivity
应用ICC/IFIHCIPWB
推荐剂量
WB: 1:500-1000; IHC: 1:50-200; ICC/IF: 1:50-200; FCM: 1:50-100
抗体种类
Monoclonal
宿主来源Rabbit
构建方式Recombinant Antibody
纯化方式ProA affinity purified
性状Liquid
缓冲液1*TBS (pH7.4), 1%BSA, 40%Glycerol. Preservative: 0.05% Sodium Azide.
研究背景Genes belonging to the Jun and Fos oncogene families encode nuclear proteins that are associated with a number of transcriptional complexes. The c-Jun protein is a major component of the transcription factor AP-1, originally shown to mediate phorbol ester tumor promoter (TPA)-induced expression of responsive genes through the TPA-response element (TRE). The Jun proteins form homo- and heterodimers which bind the TRE, while Fos proteins are active only as heterodimers with any of the Jun proteins. Fos/Jun heterodimers have a much higher affinity for the TRE than Jun homodimers. Ha-Ras augments c-Jun activity and stimulates phosphorylation of its activation domain. An inhibitor of Fos/Jun function, termed IP-1, associates with Fos and Jun and is inactivated upon phosphorylation induced by the cAMP-dependent protein kinase A (PKA).
偶联与修饰
偶联
Unconjugated
其他可选修饰符
Phospho
抗原信息
免疫原
A synthesized phosphopeptide: human c-Jun around the phosphorylation site of Thr91
抗原种属
human
Uniprot ID
化学信息
分子量Theoretical: 36 kDa.
存储&运输
储存方式Store at -20°C or -80°C for 12 months. Avoid repeated freeze-thaw cycles.
运输方式Shipping with blue ice.

计算器

  • 稀释 计算器

关键词

评论列表

4个月前
5.0
Rating icon 很棒

评论内容

Related Tags: buy Anti-Phospho-JUN (Thr91) Antibody (2Q8) | purchase Anti-Phospho-JUN (Thr91) Antibody (2Q8) | Anti-Phospho-JUN (Thr91) Antibody (2Q8) cost | order Anti-Phospho-JUN (Thr91) Antibody (2Q8) | Anti-Phospho-JUN (Thr91) Antibody (2Q8) molecular weight