购物车
  • TargetMol
    您的购物车当前为空

Anti-Phospho-JUN (Ser63) Antibody (4N22)

Synonyms: p-JUN (Ser63), p-JUN (S63), JUN (p-Ser63), JUN (p-S63)
货号 TMAC-03199 一键复制产品信息
Rating icon 还可以

Anti-Phospho-JUN (Ser63) Antibody (4N22) 是一种 Rabbit 抗体,靶向 Phospho-JUN (Ser63)。Anti-Phospho-JUN (Ser63) Antibody (4N22) 可用于 WB,ICC,IHC。

Anti-Phospho-JUN (Ser63) Antibody (4N22)

一键复制产品信息
Rating icon 还可以
货号 TMAC-03199

别名 p-JUN (Ser63), p-JUN (S63), JUN (p-Ser63), JUN (p-S63)

Anti-Phospho-JUN (Ser63) Antibody (4N22) 是一种 Rabbit 抗体,靶向 Phospho-JUN (Ser63)。Anti-Phospho-JUN (Ser63) Antibody (4N22) 可用于 WB,ICC,IHC。

Anti-Phospho-JUN (Ser63) Antibody (4N22)
规格价格库存数量
50 μL
¥ 1,480
5日内发货
100 μL
¥ 2,485
5日内发货
库存状态实时更新,以官网显示为准,现货产品可直接加购物车下单
大包装 & 定制
加入购物车

TargetMol的所有产品仅用作科学研究或药证申报,不能被用于人体,我们不向个人提供产品和服务。请您遵守承诺用途,不得违反法律法规规定用于任何其他用途。

实验操作小课堂
常见问题解答
查看更多

资源下载:产品操作手册

产品介绍


生物活性
产品描述
Anti-Phospho-JUN (Ser63) Antibody (4N22) is a Rabbit antibody targeting Phospho-JUN (Ser63). Anti-Phospho-JUN (Ser63) Antibody (4N22) can be used in ICC,IHC,WB.
别名
p-JUN (Ser63), p-JUN (S63), JUN (p-Ser63), JUN (p-S63)
Ig Type
IgG
克隆号
4N22
反应种属
Human,Mouse,Rat
验证活性
1. Western blot analysis of Phospho-c-Jun (S63) on different lysates using anti-Phospho-c-Jun (S63) antibody at 1/1,000 dilution. Positive control: Lane 1: NIH/3T3, Lane 2: 293T.
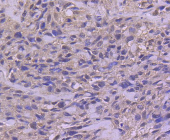
2. Immunohistochemical analysis of paraffin-embedded human breast carcinoma tissue using anti-Phospho-c-Jun (S63) antibody. Counter stained with hematoxylin.
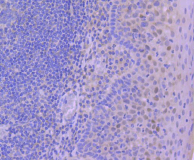
3. Immunohistochemical analysis of paraffin-embedded human tonsil tissue using anti-Phospho-c-Jun (S63) antibody. Counter stained with hematoxylin.
4. ICC staining Phospho-c-Jun (S63) in PC-3M cells (green). The nuclear counter stain is DAPI (blue). Cells were fixed in paraformaldehyde, permeabilised with 0.25% Triton X100/PBS.
5. ICC staining Phospho-c-Jun (S63) in MCF-7 cells (green). The nuclear counter stain is DAPI (blue). Cells were fixed in paraformaldehyde, permeabilised with 0.25% Triton X100/PBS.
6. ICC staining Phospho-c-Jun (S63) in A549 cells (green). The nuclear counter stain is DAPI (blue). Cells were fixed in paraformaldehyde, permeabilised with 0.25% Triton X100/PBS.
verifiedActivityverifiedActivityverifiedActivityverifiedActivityverifiedActivityverifiedActivity
应用ICCIHCWB
推荐剂量
WB: 1:1000-2000; IHC: 1:50-100; ICC: 1:50-200
抗体种类
Monoclonal
宿主来源Rabbit
构建方式Recombinant Antibody
纯化方式ProA affinity purified
性状Liquid
缓冲液1*TBS (pH7.4), 1%BSA, 40%Glycerol. Preservative: 0.05% Sodium Azide.
研究背景Genes belonging to the Jun and Fos oncogene families encode nuclear proteins that are associated with a number of transcriptional complexes. The c-Jun protein is a major component of the transcription factor AP-1, originally shown to mediate phorbol ester tumor promoter (TPA)-induced expression of responsive genes through the TPA-response element (TRE). The Jun proteins form homo- and heterodimers which bind the TRE, while Fos proteins are active only as heterodimers with any of the Jun proteins. Fos/Jun heterodimers have a much higher affinity for the TRE than Jun homodimers. Ha-Ras augments c-Jun activity and stimulates phosphorylation of its activation domain. An inhibitor of Fos/Jun function, termed IP-1, associates with Fos and Jun and is inactivated upon phosphorylation induced by the cAMP-dependent protein kinase A (PKA).
偶联与修饰
偶联
Unconjugated
其他可选修饰符
Phospho
抗原信息
免疫原
A synthesized phosphopeptide: human c-Jun around the phosphorylation site of Ser63
抗原种属
human
Uniprot ID
化学信息
分子量Theoretical: 40 kDa.
储存&溶解度
储存方式Store at -20°C or -80°C for 12 months. Avoid repeated freeze-thaw cycles.
运输方式Shipping with blue ice.

计算器

  • 稀释 计算器
  • 配液 计算器
Related Tags: buy Anti-Phospho-JUN (Ser63) Antibody (4N22) | purchase Anti-Phospho-JUN (Ser63) Antibody (4N22) | Anti-Phospho-JUN (Ser63) Antibody (4N22) cost | order Anti-Phospho-JUN (Ser63) Antibody (4N22) | Anti-Phospho-JUN (Ser63) Antibody (4N22) molecular weight