购物车
  • TargetMol
    您的购物车当前为空

Anti-Phospho-JAK1 (Tyr1022) Polyclonal Antibody

Synonyms: p-JAK1 (Y1022), p-JAK1 (Tyr1022), JAK1 (p-Y1022), JAK1 (p-Tyr1022)
货号 TMAC-02261 一键复制产品信息
Rating icon 还可以

Anti-Phospho-JAK1 (Tyr1022) Polyclonal Antibody 是一种 Rabbit 抗体,靶向 Phospho-JAK1 (Tyr1022)。Anti-Phospho-JAK1 (Tyr1022) Polyclonal Antibody 可用于 IF,IHC,WB。

Anti-Phospho-JAK1 (Tyr1022) Polyclonal Antibody

一键复制产品信息
Rating icon 还可以
货号 TMAC-02261

别名 p-JAK1 (Y1022), p-JAK1 (Tyr1022), JAK1 (p-Y1022), JAK1 (p-Tyr1022)

Anti-Phospho-JAK1 (Tyr1022) Polyclonal Antibody 是一种 Rabbit 抗体,靶向 Phospho-JAK1 (Tyr1022)。Anti-Phospho-JAK1 (Tyr1022) Polyclonal Antibody 可用于 IF,IHC,WB。

Anti-Phospho-JAK1 (Tyr1022) Polyclonal Antibody
规格价格库存数量
50 μL
¥ 1,485
5日内发货
100 μL
¥ 2,230
5日内发货
库存状态实时更新,以官网显示为准,现货产品可直接加购物车下单
大包装 & 定制
加入购物车

TargetMol的所有产品仅用作科学研究或药证申报,不能被用于人体,我们不向个人提供产品和服务。请您遵守承诺用途,不得违反法律法规规定用于任何其他用途。

实验操作小课堂
常见问题解答
查看更多

资源下载:产品操作手册

产品介绍


生物活性
产品描述
Anti-Phospho-JAK1 (Tyr1022) Polyclonal Antibody is a Rabbit antibody targeting Phospho-JAK1 (Tyr1022). Anti-Phospho-JAK1 (Tyr1022) Polyclonal Antibody can be used in IF,IHC,WB.
别名
p-JAK1 (Y1022), p-JAK1 (Tyr1022), JAK1 (p-Y1022), JAK1 (p-Tyr1022)
Ig Type
IgG
反应种属
Human,Mouse,Rat
验证活性
1. Western Blot analysis of various cells using Phospho-JAK1 (Y1034) Polyclonal Antibody diluted at 1:500.
2. Western blot analysis of lysates from A549 cells, using JAK1 (Phospho-Tyr1034) Antibody. The lane on the right is blocked with the phospho peptide.
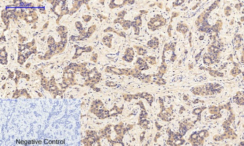
3. Immunohistochemical analysis of paraffin-embedded Human-liver-cancer tissue. 1,JAK1 (phospho Tyr1034) Polyclonal Antibody was diluted at 1:200 (4°C, overnight). 2,Sodium citrate pH 6.0 was used for antibody retrieval(>98°C, 20min). 3,Secondary antibody was diluted at 1:200 (room temperature, 30min). Negative control was used by secondary antibody only.
4. Immunofluorescence analysis of mouse-liver tissue. 1,JAK1 (phospho Tyr1034) Polyclonal Antibody (red) was diluted at 1:200 (4°C, overnight). 2,Cy3 labled Secondary antibody was diluted at 1:300 (room temperature, 50min). 3, Picture B: DAPI (blue) 10min. Picture A: Target. Picture B: DAPI. Picture C: merge of A+B.
verifiedActivityverifiedActivityverifiedActivityverifiedActivity
应用IFIHCWB
推荐剂量
WB: 1:200-1000; IHC: 1:100-300; IF: 1:50-200
抗体种类
Polyclonal
宿主来源Rabbit
构建方式Polyclonal Antibody
纯化方式Antibodies were produced by immunizing rabbits with synthetic phosphopeptide and KLH conjugates. Antibodies were purified by affinity-chromatography using epitope-specific phosphopeptide. Non-phospho specific antibodies were removed by chromatogramphy using non-phosphopeptide.
性状Liquid
缓冲液Liquid in PBS containing 50% glycerol, 0.5% BSA and 0.02% sodium azide.
研究背景Tyrosine kinase of the non-receptor type, involved in the IFN-a/beta/gamma signal pathway. Kinase partner for the interleukin (IL)-2 receptor.
偶联与修饰
偶联
Unconjugated
其他可选修饰符
Phospho
抗原信息
免疫原
Peptide sequence around phosphorylation site of tyrosine 1034 (K-E-Y(p)-Y-T) derived from Human JAK1
抗原种属
human
Uniprot ID
储存&溶解度
储存方式Store at 2°C-8°C for 1 month. Store at -20°C or -80°C for 12 months. Avoid repeated freeze-thaw cycles.
运输方式Shipping with blue ice.

计算器

  • 稀释 计算器
  • 配液 计算器
Related Tags: buy Anti-Phospho-JAK1 (Tyr1022) Polyclonal Antibody | purchase Anti-Phospho-JAK1 (Tyr1022) Polyclonal Antibody | Anti-Phospho-JAK1 (Tyr1022) Polyclonal Antibody cost | order Anti-Phospho-JAK1 (Tyr1022) Polyclonal Antibody